• Tel: 858.663.9055
  • SeparatorEmail: info@nsjbio.com
  • Tel: 858.663.9055
  • Email: info@nsjbio.com
Home >> Antibodies >> CDC2 Antibody / CDK1

CDC2 Antibody / CDK1 [clone A17.1.1] (V3748)

  Catalog No Formulation Size Price (USD)  
Image V3748-100UG 0.2 mg/ml in 1X PBS with 0.1 mg/ml BSA (US sourced) and 0.05% sodium azide 100 ug 559
Image
V3748-20UG 0.2 mg/ml in 1X PBS with 0.1 mg/ml BSA (US sourced) and 0.05% sodium azide 20 ug 259
Image
V3748SAF-100UG 1 mg/ml in 1X PBS; BSA free, sodium azide free 100 ug 559
Image
V3748IHC-7ML Prediluted in 1X PBS with 0.1 mg/ml BSA (US sourced) and 0.05% sodium azide; *For IHC use only* 7 ml 559
Bulk quote request
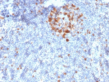
IHC staining of FFPE human tonsil with CDC2 antibody (clone A17.1.1). HIER: boil tissue sections in pH6, 10mM citrate buffer, for 10-20 min followed by cooling at RT for 20 min.
SDS-PAGE analysis of purified, BSA-free CDC2 antibody (clone A17.1.1) as confirmation of integrity and purity.
Species Reactivity Human, Mouse, Rat
Format Purified
Host Mouse
Clonality Monoclonal (mouse origin)
Isotype Mouse IgG2a, kappa
Clone Name A17.1.1
Purity Protein G purified antibody
UniProt P06493
Gene ID 983
Localization Nuclear and Cytoplasmic
Applications Inhibits Activation Of P34cdc2 Kinase By Cyclins :
Immunofluorescence : 1-2ug/ml
Immunoprecipitation :
Kinase Assay :
Western Blot :
Immunohistochemistry (FFPE) : 2-4ug/ml for 30 min at RT
Limitations This CDC2 antibody is available for research use only.
Review this product on BioCompare and get a $20 Amazon gift card

Related Products

  • Applications : WB, IHC-P
    Reactivity : Human
    Citation  Citations(2)
  • Applications : IHC-P, WB
    Reactivity : Human
  • Applications : WB, IHC-P
    Reactivity : Human
  • Applications : WB
    Reactivity : Human
  • Applications : WB
    Reactivity : Human
    Rab Mono Image
  • Applications : IHC-P, WB
    Reactivity : Human
    Rab Mono Image
  • Applications : WB
    Reactivity : Human, Mouse, Rat
    Rab Mono Image
  • Applications : WB
    Reactivity : Human
    Rab Mono Image
  • Applications : WB, IHC-P, FACS
    Reactivity : Human, Mouse, Rat
  • Applications : WB
    Reactivity : Human
  • Applications : WB, ELISA
    Reactivity : Human, Mouse
    Pred. Reactivity : Rat
  • Applications : WB, IHC, ELISA
    Reactivity : Human
    Pred. Reactivity : Mouse, Rat, Bovine, Chicken, Xenopus, Drosophila
  • Applications : WB, FACS, ELISA
    Reactivity : Human
    Pred. Reactivity : Bovine, Chicken
  • Applications : WB, ELISA
    Reactivity : Human
    Pred. Reactivity : Mouse, Rat, Xenopus
  • Applications : WB, IHC-P, FACS, IF/ICC
    Reactivity : Human, Mouse, Rat

Description

Recognizes a 34kDa protein (cdk1), identified as Cdk1/Cdc2/p34cdc2 (a catalytic subunit of Maturation Promoting Factor). Its epitope maps near the C-terminus of the protein and its core is thought to be LGTPNNEV (aa220-227 in murine cdc2). It shows no cross reaction with cdk2 p32. It supports the kinase activity. p34cdc2 plays a crucial role during cell division and is most active during mitosis. It is a serine/threonine kinase, which is activated by cyclin, by dephosphorylation of tyrosine residues. p34cdc2 is inactivated by a tyrosine kinase. This mAb reportedly inhibits the activation of p34cdc2 kinase by cyclins.

Application Notes

Optimal dilution of the CDC2 antibody should be determined by the researcher.

1. The prediluted format is supplied in a dropper bottle and is optimized for use in IHC. After epitope retrieval step (if required), drip mAb solution onto the tissue section and incubate at RT for 30 min.

Immunogen

A partial protein (the C-terminal two-thirds of Xenopus CDC2) was used as the immunogen for this CDC2 antibody.

Storage

Store the CDC2 antibody at 2-8oC (with azide) or aliquot and store at -20oC or colder (without azide).

Cross
Bulk Quote Request Form
Name*:
Organization*:
Email*:
Phone Number*:
Catalog No.*:
Comments and Specifics(amount, formulation, etc.)*:
Validation code: Captchapackage Image


Can't read the image? click here to refresh.
    *required field

Your bulk quote request has been submitted successfully!

Please contact us if you have any questions.