• Tel: 858.663.9055
  • SeparatorEmail: info@nsjbio.com
  • Tel: 858.663.9055
  • Email: info@nsjbio.com
Home >> Antibodies >> CD99 Antibody

CD99 Antibody [clone 12E7] (V2708S)

  Catalog No Formulation Size Price (USD)  
Image V2708S-0.5ML Bioreactor concentrate with 0.05% sodium azide 0.5 ml 559
Image
V2708S-0.1ML Bioreactor concentrate with 0.05% sodium azide 0.1 ml 259
Bulk quote request
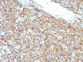
IHC: Formalin-fixed, paraffin-embedded human Ewing's sarcoma stained with CD99 antibody (12E7). Required HIER: boil tissue sections in 10mM Citrate buffer, pH 6.0, for 10-20 min followed by cooling at RT for 20 min.
Availability 1-3 business days
Species Reactivity Human
Format Bioreactor concentrate
Host Mouse
Clonality Monoclonal (mouse origin)
Isotype Mouse IgG1, kappa
Clone Name 12E7
Purity Unpurified high titer supernatant
UniProt P14209
Localization Cell surface
Applications Flow Cytometry : 5-10ul/10^6 cells
Immunofluorescence : 1:50-1:100
Immunohistochemistry (FFPE) : 1:50-1:100 for 30 min at RT
Limitations This CD99 antibody is available for research use only.
Review this product on BioCompare and get a $20 Amazon gift card

Related Products

Description

Recognizes a sialoglycoprotein of 27-32kDa, identified as CD99, or MIC2 gene product, or E2 antigen. MIC2 gene is located in the pseudo-autosomal region of the human X and Y chromosome. MIC2 gene encodes two distinct proteins, which are produced by alternative splicing of the CD99 gene transcript and are identified as bands of 30 and 32kDa (p30/32). Although its function is not fully understood, CD99 is implicated in various cellular processes including homotypic aggregation of T cells, upregulation of T cell receptor and MHS molecules, apoptosis of immature thymocytes and leukocyte diapedesis. CD99 is expressed on the cell membrane of some lymphocytes, cortical thymocytes, and granulosa cells of the ovary. Most pancreatic islet cells, Sertoli cells of the testis, and some endothelial cells express this antigen. Mature granulocytes express very little or no CD99. MIC2 is strongly expressed on Ewing s sarcoma cells and primitive peripheral neuroectodermal tumors.

Application Notes

Optimal dilution of the CD99 antibody should be determined by the researcher.

1. The prediluted format is supplied in a dropper bottle and is optimized for use in IHC. After epitope retrieval step (if required), drip mAb solution onto the tissue section and incubate at RT for 30 min.

Immunogen

Human acute lymphocytic leukemia T-cells were used as the immunogen for the CD99 antibody.

Storage

Store the CD99 antibody at 2-8oC (with azide) or aliquot and store at -20oC or colder (without azide).

Cross
Bulk Quote Request Form
Name*:
Organization*:
Email*:
Phone Number*:
Catalog No.*:
Comments and Specifics(amount, formulation, etc.)*:
Validation code: Captchapackage Image


Can't read the image? click here to refresh.
    *required field

Your bulk quote request has been submitted successfully!

Please contact us if you have any questions.