• Tel: 858.663.9055
  • SeparatorEmail: info@nsjbio.com
  • Tel: 858.663.9055
  • Email: info@nsjbio.com
Home >> Antibodies >> CD90 Antibody

CD90 Antibody (RQ5600)

  Catalog No Formulation Size Price (USD)  
Image RQ5600 0.5mg/ml if reconstituted with 0.2ml sterile DI water 100 ug 449
Bulk quote request
Western blot testing of 1) rat brain, 2) rat thymus and 3) mouse brain lysate with CD90 antibody. Expected molecular weight 18~35 kDa depending on glycosylation level.
Western blot testing of 1) rat brain, 2) rat thymus, 3) mouse brain and 4) mouse thymus tissue lysate with CD90 antibody. Expected molecular weight 18~35 kDa depending on glycosylation level.
Immunofluorescent staining of FFPE rat brain tissue with CD90 antibody (green) and DAPI nuclear stain (blue). HIER: steam section in pH8 EDTA buffer for 20 min.
Immunohistochemical staining of FFPE mouse spleen tissue with CD90 antibody, HRP-secondary and DAB substrate. HIER: boil tissue sections in pH8 EDTA for 20 min and allow to cool before testing.
Immunohistochemical staining of FFPE mouse brain tissue with CD90 antibody, HRP-secondary and DAB substrate. HIER: boil tissue sections in pH8 EDTA for 20 min and allow to cool before testing.
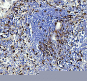
Immunohistochemical staining of FFPE rat brain tissue with CD90 antibody, HRP-secondary and DAB substrate. HIER: boil tissue sections in pH8 EDTA for 20 min and allow to cool before testing.
Availability 1-3 business days
Species Reactivity Human, Mouse, Rat
Format Antigen affinity purified
Host Rabbit
Clonality Polyclonal (rabbit origin)
Isotype Rabbit IgG
Purity Affinity purified
Buffer Lyophilized from 1X PBS with 2% Trehalose
UniProt P04216
Applications Western Blot : 0.5-1ug/ml
Immunohistochemistry (FFPE) : 2-5ug/ml
Immunofluorescence : 5ug/ml
Direct ELISA : 0.1-0.5ug/ml
Limitations This CD90 antibody is available for research use only.
Review this product on BioCompare and get a $20 Amazon gift card

Related Products

Description

CD90 antibody detects CD90, also known as Thy-1, a glycosylphosphatidylinositol (GPI)-anchored cell surface glycoprotein involved in cell adhesion, migration, and signal transduction. The UniProt recommended name is Thy-1 membrane glycoprotein (CD90). CD90 is broadly expressed across multiple cell types, including fibroblasts, neurons, endothelial cells, mesenchymal stem cells, and subsets of T lymphocytes. It serves as a multifunctional modulator of cell communication in both the immune and nervous systems.

Functionally, CD90 antibody identifies a 161-amino-acid glycoprotein that is heavily N-glycosylated and anchored to the outer leaflet of the plasma membrane via a GPI linkage. CD90 interacts with integrins, syndecans, and other adhesion molecules to regulate cell–cell and cell–matrix interactions. In the immune system, CD90 functions as a co-stimulatory molecule on T cells, influencing activation and cytokine production. In the nervous system, it contributes to neurite outgrowth, synaptic plasticity, and axonal regeneration by mediating neuron–glia and neuron–matrix signaling. Its broad cellular expression and dynamic regulation make CD90 a key marker in developmental biology and regenerative medicine.

The CD90 gene (THY1) is located on chromosome 11q23.3 in humans and on chromosome 9 in mice. Although originally characterized as a thymocyte differentiation antigen, CD90 has since been identified as a pan-stem cell marker, particularly for mesenchymal stem cells (MSCs) and hematopoietic progenitors. In fibroblasts and stromal cells, CD90 influences proliferation, differentiation, and matrix remodeling. Its expression is modulated by growth factors, cytokines, and mechanical cues, reflecting its roles in tissue repair and fibrosis.

Pathologically, altered CD90 expression is associated with fibrosis, tumorigenesis, and neurodegenerative disease. In cancer, CD90 can function either as a tumor suppressor or promoter depending on tissue context, with elevated levels linked to cancer-associated fibroblasts and tumor cell invasiveness. In fibrotic disease, upregulation of CD90 contributes to myofibroblast differentiation and extracellular matrix accumulation. In the nervous system, loss of CD90 expression correlates with neuronal damage and impaired regenerative capacity. Because of these diverse roles, CD90 is widely studied as both a biomarker and functional regulator of tissue remodeling, stemness, and immune activation.

CD90 antibody is validated for use in relevant research applications to detect Thy-1 expression and study cell adhesion, differentiation, and immune regulation. NSJ Bioreagents provides CD90 antibody reagents optimized for stem cell biology, immunology, oncology, and neuroscience research.

Application Notes

Optimal dilution of the CD90 antibody should be determined by the researcher.

Immunogen

A human recombinant protein (amino acids Q20-H111) was used as the immunogen for the CD90 antibody.

Storage

After reconstitution, the CD90 antibody can be stored for up to one month at 4oC. For long-term, aliquot and store at -20oC. Avoid repeated freezing and thawing.

Cross
Bulk Quote Request Form
Name*:
Organization*:
Email*:
Phone Number*:
Catalog No.*:
Comments and Specifics(amount, formulation, etc.)*:
Validation code: Captchapackage Image


Can't read the image? click here to refresh.
    *required field

Your bulk quote request has been submitted successfully!

Please contact us if you have any questions.