• Tel: 858.663.9055
  • SeparatorEmail: info@nsjbio.com
  • Tel: 858.663.9055
  • Email: info@nsjbio.com
Home >> Antibodies >> Cd81 Antibody / Tetraspanin 28

Cd81 Antibody / Tetraspanin 28 (RQ4083)

  Catalog No Formulation Size Price (USD)  
Image RQ4083 0.5mg/ml if reconstituted with 0.2ml sterile DI water 100 ug 449
Bulk quote request
IHC staining of FFPE mouse spleen with Cd81 antibody. HIER: boil tissue sections in pH8 EDTA buffer for 20 min and allow to cool before testing.
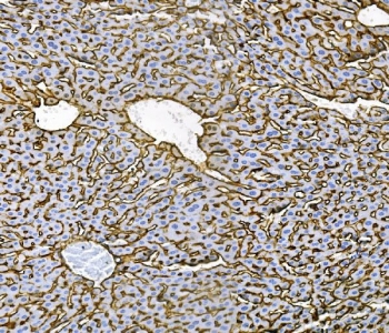
IHC staining of FFPE mouse liver with Cd81 antibody. HIER: boil tissue sections in pH8 EDTA buffer for 20 min and allow to cool before testing. Green=isotype control, Blue= Cd81 antibody.
Immunofluorescent staining of FFPE mouse RM-1 cells with Cd81 antibody (green) and DAPI nuclear stain (blue). HIER: steam section in pH6 citrate buffer for 20 min.
Immunofluorescent staining of FFPE mouse liver tissue with Cd81 antibody (red) and DAPI nuclear stain (blue). HIER: steam section in pH8 EDTA buffer for 20 min.
Immunofluorescent staining of FFPE rat liver tissue with Cd81 antibody (red) and DAPI nuclear stain (blue). HIER: steam section in pH8 EDTA buffer for 20 min.
Western blot testing of mouse 1) thymus, 2) SP2/0 and 3) NIH 3T3 lysate with Cd81 antibody. Predicted molecular weight: 22-26 kDa.
IHC staining of FFPE rat liver with Cd81 antibody. HIER: boil tissue sections in pH8 EDTA buffer for 20 min and allow to cool before testing. Green=isotype control, Blue= Cd81 antibody.
Western blot testing of 1) rat brain, 2) mouse ovary, 3) mouse brain and 4) mouse NIH 3T3 cell lysate with Cd81 antibody. Predicted molecular weight: 22-26 kDa.
Availability 1-3 business days
Species Reactivity Mouse, Rat
Format Antigen affinity purified
Host Rabbit
Clonality Polyclonal (rabbit origin)
Isotype Rabbit IgG
Purity Antigen affinity purified
Buffer Lyophilized from 1X PBS with 2% Trehalose
UniProt P35762
Applications Western Blot : 0.5-1ug/ml
Immunohistochemistry (FFPE) : 2-5ug/ml
Immunofluorescence (FFPE) : 5ug/ml
Direct ELISA : 0.1-0.5ug/ml
Limitations This Cd81 antibody is available for research use only.
Review this product on BioCompare and get a $20 Amazon gift card

Related Products

Description

Cd81 antibody targets Cd81, also known as Tetraspanin 28, a cell surface membrane protein that is widely expressed on immune and non-immune cell types. Cd81 is a member of the tetraspanin family, characterized by four transmembrane domains and two extracellular loops that organize membrane microdomains involved in cell adhesion, signaling, and trafficking. In mouse and rat, Cd81 localizes primarily to the plasma membrane, with additional presence in endosomal and recycling compartments, reflecting its dynamic role in membrane organization and protein interactions.

Functionally, Cd81 acts as a molecular scaffold that associates with integrins, signaling receptors, and other tetraspanins to regulate immune cell activation, migration, and cell-cell communication. In lymphoid tissues, Cd81 is abundantly expressed on B cells, T cells, dendritic cells, and macrophages, where it contributes to immune synapse formation and signaling modulation. Cd81 also participates in vesicle trafficking and membrane protein turnover, linking surface receptor organization with intracellular transport pathways. A Cd81 antibody supports studies examining immune cell biology and membrane-associated signaling processes in mouse and rat systems.

Cd81 plays an important role beyond the immune system. It is expressed in epithelial and stromal cells, where it influences cell adhesion, tissue organization, and response to environmental cues. Cd81 is also a well-established marker associated with extracellular vesicles and membrane microdomains, reflecting its enrichment in specialized lipid-protein assemblies. Alterations in Cd81 expression or localization can affect cellular communication and signaling efficiency, making it a useful target for studies of membrane dynamics and intercellular interactions.

From a biological and disease-relevance perspective, Cd81 has been studied extensively in inflammation, immune regulation, infection, and cancer-related processes. In mouse models, Cd81 contributes to immune response modulation and tissue microenvironment interactions. Its conserved structure and broad expression pattern make Cd81 a valuable marker for studying cell surface organization and immune-associated signaling pathways in rodent systems.

At the molecular level, Cd81 is encoded by the Cd81 gene and produces a protein of approximately 26 kDa, although it commonly migrates at a higher apparent molecular weight on SDS-PAGE due to glycosylation. The protein’s extracellular domains mediate protein-protein interactions, while transmembrane regions anchor Cd81 within the lipid bilayer. Regulation of Cd81 expression and localization is context dependent and influenced by cell type and activation state. A Cd81 antibody supports research applications focused on cell surface biology, immune regulation, and membrane protein organization, with NSJ Bioreagents providing reagents intended for research use.

Application Notes

Optimal dilution of the Cd81 antibody should be determined by the researcher.

Immunogen

A recombinant mouse partial protein corresponding to amino acids K116-K201 was used as the immunogen for the Cd81 antibody.

Storage

After reconstitution, the Cd81 antibody can be stored for up to one month at 4oC. For long-term, aliquot and store at -20oC. Avoid repeated freezing and thawing.

Cross
Bulk Quote Request Form
Name*:
Organization*:
Email*:
Phone Number*:
Catalog No.*:
Comments and Specifics(amount, formulation, etc.)*:
Validation code: Captchapackage Image


Can't read the image? click here to refresh.
    *required field

Your bulk quote request has been submitted successfully!

Please contact us if you have any questions.