• Tel: 858.663.9055
  • SeparatorEmail: info@nsjbio.com
  • Tel: 858.663.9055
  • Email: info@nsjbio.com
Home >> Antibodies >> CD81 Antibody

CD81 Antibody (RQ4082)

  Catalog No Formulation Size Price (USD)  
Image RQ4082 0.5mg/ml if reconstituted with 0.2ml sterile DI water 100 ug 449
Bulk quote request
FACS testing of human PBMCs with CD81 antibody at 1ug/10^6 cells. Blue=CD81 antibody, Green=isotype control, Red=cells alone.
FACS testing of human Jurkat cells with CD81 antibody at 1ug/10^6 cells. Blue=CD81 antibody, Green=isotype control, Red=cells alone.
FACS testing of human K562 cells with CD81 antibody at 1ug/10^6 cells. Blue=CD81 antibody, Green=isotype control, Red=cells alone.
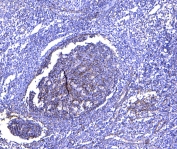
IHC testing of FFPE human tonsil tissue with CD81 antibody at 1ug/ml. Required HIER: steam section in pH6 citrate buffer for 20 min and allow to cool prior to testing.
Western blot testing of mouse RAW264.7 cell lysate with CD81 antibody. Expected molecular weight: 22-26 kDa.
Availability 1-3 business days
Species Reactivity Human
Format Antigen affinity purified
Host Rabbit
Clonality Polyclonal (rabbit origin)
Isotype Rabbit IgG
Purity Antigen affinity purified
Buffer Lyophilized from 1X PBS with 2% Trehalose and 0.025% sodium azide
UniProt P60033
Localization Cytoplasmic, membranous
Applications Immunohistochemistry (FFPE) : 1-2ug/ml
Flow Cytometry : 1-3ug/10^6 cells
Western Blot : 0.5-1ug/ml
Direct ELISA : 0.1-0.5ug/ml
Limitations This CD81 antibody is available for research use only.
Review this product on BioCompare and get a $20 Amazon gift card

Related Products

  • Applications : ELISA, IHC-P, FACS
    Reactivity : Human
    Recrabbitmono
  • Applications : Functional Studies, FACS, IF, WB, IHC-P
    Reactivity : Human
    Recmousemono
  • Applications : Functional studies, FACS, IF, WB, IHC-P
    Reactivity : Human
    Citation  Citations(24)
  • Applications : WB
    Reactivity : Human, Rat
  • Applications : WB, IHC-P, IF, ELISA
    Reactivity : Mouse, Rat

Description

CD81, also known as TAPA1, is a protein which in humans is encoded by the CD81 gene. The protein encoded by this gene is a member of the transmembrane 4 superfamily, also known as the tetraspanin family. Most of these members are cell-surface proteins that are characterized by the presence of four hydrophobic domains. The proteins mediate signal transduction events that play a role in the regulation of cell development, activation, growth and motility. This encoded protein is a cell surface glycoprotein that is known to complex with integrins. This protein appears to promote muscle cell fusion and support myotube maintenance. Also it may be involved in signal transduction. This gene is localized in the tumor-suppressor gene region and thus it is a candidate gene for malignancies. Two transcript variants encoding different isoforms have been found for this gene.

Application Notes

Optimal dilution of the CD81 antibody should be determined by the researcher.

Immunogen

A recombinant human partial protein corresponding to amino acids F113-K201 was used as the immunogen for the CD81 antibody.

Storage

After reconstitution, the CD81 antibody can be stored for up to one month at 4oC. For long-term, aliquot and store at -20oC. Avoid repeated freezing and thawing.

Cross
Bulk Quote Request Form
Name*:
Organization*:
Email*:
Phone Number*:
Catalog No.*:
Comments and Specifics(amount, formulation, etc.)*:
Validation code: Captchapackage Image


Can't read the image? click here to refresh.
    *required field

Your bulk quote request has been submitted successfully!

Please contact us if you have any questions.