• Tel: 858.663.9055
  • SeparatorEmail: info@nsjbio.com
  • Tel: 858.663.9055
  • Email: info@nsjbio.com
Home >> Antibodies >> CD73 Antibody

CD73 Antibody [clone CDLA73-1] (V7559)

  Catalog No Formulation Size Price (USD)  
Image V7559-100UG 0.2 mg/ml in 1X PBS with 0.1 mg/ml BSA (US sourced) and 0.05% sodium azide 100 ug 559
Image
V7559-20UG 0.2 mg/ml in 1X PBS with 0.1 mg/ml BSA (US sourced) and 0.05% sodium azide 20 ug 259
Image
V7559SAF-100UG 1 mg/ml in 1X PBS; BSA free, sodium azide free 100 ug 559
Image
V7559IHC-7ML Prediluted in 1X PBS with 0.1 mg/ml BSA (US sourced) and 0.05% sodium azide; *For IHC use only* 7 ml 559
Bulk quote request
Flow cytometry testing of human U-87 MG cells with CD73 antibody (clone CDLA73-1); Red=isotype control, Blue= CD73 antibody.
Immunofluorescence staining of human U-87 MG cells with CD73 antibody (green, clone CDLA73-1) and Reddot nuclear stain (red).
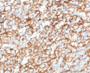
IHC staining of FFPE human tonsil tissue with CD73 antibody (clone CDLA73-1). HIER: boil tissue sections in pH9 10mM Tris with 1mM EDTA for 10-20 min and allow to cool before testing.
Western blot testing of human 1) A431 and 2) PC-3 cell lysate with CD73 antibody (clone CDLA73-1). Predicted molecular weight: 60-70 kDa.
Availability 1-3 business days
Species Reactivity Human
Format Purified
Host Mouse
Clonality Monoclonal (mouse origin)
Isotype Mouse IgG1, kappa
Clone Name CDLA73-1
Purity Protein G affinity chromatography
UniProt P21589
Localization Cell surface, cytoplasmic
Applications ELISA : order BSA-free format for coating
Flow Cytometry : 1-2ug/million cells
Immunofluorescence : 1-2ug/ml
Western Blot : 1-2ug/ml
Immunohistochemistry (FFPE) : 1-2ug/ml for 30 minutes at RT
Prediluted IHC Only Format : incubate for 30 min at RT (1)
Limitations This CD73 antibody is available for research use only.
Review this product on BioCompare and get a $20 Amazon gift card

Related Products

Description

The protein encoded by the NT5E gene is a plasma membrane protein that catalyzes the conversion of extracellular nucleotides to membrane-permeable nucleosides. The encoded protein is used as a determinant of lymphocyte differentiation. Defects in this gene can lead to the calcification of joints and arteries. Two transcript variants encoding different isoforms have been found for this gene. [RefSeq]

Application Notes

Optimal dilution of the CD73 antibody should be determined by the researcher.
1. The prediluted format is supplied in a dropper bottle and is optimized for use in IHC. After epitope retrieval step (if required), drip mAb solution onto the tissue section and incubate at RT for 30 min.

Immunogen

A recombinant full length human NT5E protein was used as the immunogen for the CD73 antibody.

Storage

Store the CD73 antibody at 2-8oC (with azide) or aliquot and store at -20oC or colder (without azide).

Cross
Bulk Quote Request Form
Name*:
Organization*:
Email*:
Phone Number*:
Catalog No.*:
Comments and Specifics(amount, formulation, etc.)*:
Validation code: Captchapackage Image


Can't read the image? click here to refresh.
    *required field

Your bulk quote request has been submitted successfully!

Please contact us if you have any questions.