• Tel: 858.663.9055
  • SeparatorEmail: info@nsjbio.com
  • Tel: 858.663.9055
  • Email: info@nsjbio.com
Home >> Antibodies >> Cd72 Antibody

Cd72 Antibody (RQ6087)

  Catalog No Formulation Size Price (USD)  
Image RQ6087 0.5mg/ml if reconstituted with 0.2ml sterile DI water 100 ug 449
Bulk quote request
Immunofluorescent staining of FFPE mouse HEPA1-6 cells with Cd72 antibody (green) and DAPI nuclear stain (blue). HIER: steam section in pH6 citrate buffer for 20 min.
IHC staining of FFPE mouse spleen with Cd72 antibody. HIER: boil tissue sections in pH8 EDTA for 20 min and allow to cool before testing.
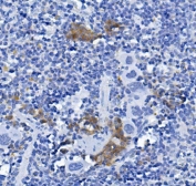
IHC staining of FFPE rat spleen with Cd72 antibody. HIER: boil tissue sections in pH8 EDTA for 20 min and allow to cool before testing.
Flow cytometry testing of mouse spleen cells with Cd72 antibody at 1ug/million cells (blocked with goat sera); Red=cells alone, Green=isotype control, Blue= Cd72 antibody.
Flow cytometry testing of mouse ANA-1 cells with Cd72 antibody at 1ug/million cells (blocked with goat sera); Red=cells alone, Green=isotype control, Blue= Cd72 antibody.
Western blot testing of 1) rat liver and 2) mouse liver lysate with Cd72 antibody. Expected molecular weight: 39-45 kDa (monomer), ~86 kDa (dimer).
Availability 1-3 business days
Species Reactivity Mouse, Rat
Format Antigen affinity purified
Host Rabbit
Clonality Polyclonal (rabbit origin)
Isotype Rabbit IgG
Purity Affinity purified
Buffer Lyophilized from 1X PBS with 2% Trehalose and 0.025% sodium azide
UniProt P21855
Applications Western Blot : 1-2ug/ml
Immunohistochemistry (FFPE) : 2-5ug/ml
Flow Cytometry : 1-3ug/million cells
Direct ELISA : 0.1-0.5ug/ml
Limitations This Cd72 antibody is available for research use only.
Review this product on BioCompare and get a $20 Amazon gift card

Related Products

  • Applications : FACS, IHC-P
    Reactivity : Human
  • Applications : WB, Direct ELISA
    Reactivity : Human

Description

CD72 (Cluster of Differentiation 72), also known in murine biology as Lyb-2, is a protein active in the immune systemof animals. This gene is mapped to 9p13.3. It consists of two identical halves, each of about 39-43 kD, and is a C-type lectin. Its primarily locus of expression is B-cells, where it appears to mediate aspects of B-cell - T-cell interaction. It is a ligand for CD5.

Application Notes

Optimal dilution of the Cd72 antibody should be determined by the researcher.

Immunogen

A mouse recombinant partial protein (amino acids A8-R346) was used as the immunogen for the Cd72 antibody.

Storage

After reconstitution, the Cd72 antibody can be stored for up to one month at 4oC. For long-term, aliquot and store at -20oC. Avoid repeated freezing and thawing.

Cross
Bulk Quote Request Form
Name*:
Organization*:
Email*:
Phone Number*:
Catalog No.*:
Comments and Specifics(amount, formulation, etc.)*:
Validation code: Captchapackage Image


Can't read the image? click here to refresh.
    *required field

Your bulk quote request has been submitted successfully!

Please contact us if you have any questions.