• Tel: 858.663.9055
  • SeparatorEmail: info@nsjbio.com
  • Tel: 858.663.9055
  • Email: info@nsjbio.com
Home >> Antibodies >> CD70 Antibody

CD70 Antibody (F44122)

  Catalog No Formulation Size Price (USD)  
Image F44122-0.4ML In 1X PBS, pH 7.4, with 0.09% sodium azide 0.4 ml 429
Image
F44122-0.08ML In 1X PBS, pH 7.4, with 0.09% sodium azide 0.08 ml 199
Bulk quote request
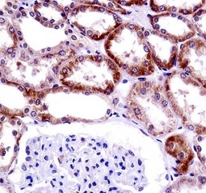
CD70 antibody immunohistochemistry analysis in formalin fixed and paraffin embedded human kidney tissue.
CD70 antibody western blot analysis in NCI-H460 lysate
Availability 1-3 business days
Species Reactivity Human
Format Antigen affinity purified
Clonality Polyclonal (rabbit origin)
Isotype Rabbit Ig
Purity Antigen affinity
UniProt P32970
Applications Western Blot : 1:1000
IHC (Paraffin) : 1:10-1:50
Limitations This CD70 antibody is available for research use only.
Review this product on BioCompare and get a $20 Amazon gift card

Related Products

  • Applications : FACS, IF, IHC
    Reactivity : Human
    Citation  Citations(11)
  • Applications : ELISA, Functional studies, FACS, IF
    Reactivity : Human
  • Applications : WB, IHC-P, Direct ELISA
    Reactivity : Mouse, Rat

Description

The protein encoded by this gene is a cytokine that belongs to the tumor necrosis factor (TNF) ligand family. This cytokine is a ligand for TNFRSF27/CD27. It is a surface antigen on activated, but not on resting, T and B lymphocytes. It induces proliferation of costimulated T cells, enhances the generation of cytolytic T cells, and contributes to T cell activation. This cytokine is also reported to play a role in regulating B-cell activation, cytotoxic function of natural killer cells, and immunoglobulin sythesis.

Application Notes

Titration of the CD70 antibody may be required due to differences in protocols and secondary/substrate sensitivity.

Immunogen

A portion of amino acids 72-101 from the human protein was used as the immunogen for this CD70 antibody.

Storage

Aliquot the CD70 antibody and store frozen at -20oC or colder. Avoid repeated freeze-thaw cycles.

Cross
Bulk Quote Request Form
Name*:
Organization*:
Email*:
Phone Number*:
Catalog No.*:
Comments and Specifics(amount, formulation, etc.)*:
Validation code: Captchapackage Image


Can't read the image? click here to refresh.
    *required field

Your bulk quote request has been submitted successfully!

Please contact us if you have any questions.