• Tel: 858.663.9055
  • SeparatorEmail: info@nsjbio.com
  • Tel: 858.663.9055
  • Email: info@nsjbio.com
Home >> Antibodies >> CD7 Antibody / NK Cell Marker Antibody

CD7 Antibody / NK Cell Marker Antibody [clone rCD7/6972] (V4555)

  Catalog No Formulation Size Price (USD)  
Image V4555-100UG 0.2 mg/ml in 1X PBS with 0.1 mg/ml BSA (US sourced), 0.05% sodium azide 100 ug 559
Image
V4555-20UG 0.2 mg/ml in 1X PBS with 0.1 mg/ml BSA (US sourced), 0.05% sodium azide 20 ug 259
Image
V4555SAF-100UG 1 mg/ml in 1X PBS; BSA free, sodium azide free 100 ug 559
Microvalidated Recmousemono
Bulk quote request
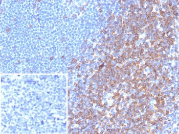
CD7 Antibody Tonsil IHC. Immunohistochemistry analysis of CD7 / T-cell antigen CD7 in human tonsil tissue shows strong HRP-DAB brown membranous staining of lymphoid cells within interfollicular regions, consistent with CD7-positive T lymphocytes and NK cell-associated populations, with minimal background in surrounding tissue. The inset demonstrates absence of staining when PBS is used in place of primary antibody, confirming specificity. CD7 antibody clone rCD7/6972 was applied following heat-induced epitope retrieval in pH 9 Tris-EDTA buffer, supporting its use as an NK cell marker in FFPE tissue sections.
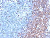
CD7 Antibody Lymph Node IHC. Immunohistochemistry analysis of CD7 / T-cell antigen CD7 in human lymph node tissue shows strong HRP-DAB brown membranous staining of lymphocytes concentrated in T cell-rich paracortical regions, consistent with CD7 expression on NK cell-associated and T cell populations, with minimal background in surrounding areas. CD7 antibody clone rCD7/6972 was applied following heat-induced epitope retrieval in pH 9 Tris-EDTA buffer, supporting its use as an NK cell marker in FFPE tissue sections.
SDS-PAGE analysis of purified, BSA-free CD7 antibody (clone rCD7/6972) as confirmation of integrity and purity.
Availability 1-3 business days
Species Reactivity Human
Format Purified
Host Mouse
Clonality Recombinant Mouse Monoclonal
Isotype Mouse IgG1, kappa
Clone Name rCD7/6972
Purity Protein A/G affinity
UniProt P09564
Localization Cell Surface
Applications Immunohistochemistry (FFPE) : 1-2ug/ml for 30 min at RT
Limitations This CD7 Antibody / NK Cell Marker Antibody is available for research use only.
Review this product on BioCompare and get a $20 Amazon gift card

Related Products

Description

Cluster of Differentiation 7 (CD7) is a transmembrane glycoprotein (CD7) expressed on T lymphocytes and natural killer (NK) cells, where it contributes to immune signaling and cytotoxic function. CD7 Antibody / NK Cell Marker Antibody is uniquely positioned for studying NK cell biology and cytotoxic lymphocyte populations, enabling detection of CD7 in immune cells that play key roles in innate and adaptive immune responses.

CD7 antibody, also referred to as T-cell antigen CD7 antibody, is expressed on a significant subset of NK cells, making it a useful marker for identifying and characterizing these cytotoxic immune populations. NK cells are essential components of the innate immune system, responsible for recognizing and eliminating infected or transformed cells through direct cytotoxic activity and cytokine secretion. CD7 expression supports their identification in experimental and analytical systems.

This CD7 Antibody is uniquely positioned for NK cell-focused research, where detection of CD7 contributes to the study of cytotoxic lymphocyte function and immune defense mechanisms. It enables researchers to analyze NK cell populations alongside T cells, providing insight into the coordinated roles of innate and adaptive immunity in host defense.

In studies of immune surveillance, CD7-positive NK cells participate in the recognition of abnormal cells, including virus-infected and tumor cells. These cells exert cytotoxic effects through mechanisms such as perforin and granzyme release, and their activity is tightly regulated by signaling pathways in which CD7 may play a modulatory role.

Additionally, CD7 expression can be used in combination with other NK cell markers to define functional subsets and to investigate heterogeneity within NK cell populations. This allows researchers to examine differences in activation state, cytotoxic potential, and cytokine production across NK cell subsets.

The role of CD7 in both NK cells and T cells highlights its importance in bridging innate and adaptive immune responses. This makes it a valuable marker for studying interactions between different immune cell types and for understanding coordinated immune defense strategies.

Overall, CD7 Antibody as an NK Cell Marker Antibody provides a powerful tool for investigating cytotoxic lymphocyte biology, enabling detailed analysis of NK cell function, immune surveillance mechanisms, and the interplay between innate and adaptive immunity.

This antibody is part of a broader CD7 antibody collection designed to support T cell biology, immune profiling, and hematologic cancer research.

Application Notes

Optimal dilution of the CD7 Antibody / NK Cell Marker Antibody should be determined by the researcher.

Immunogen

A recombinant partial protein sequence (within amino acids 140-240) from the human protein was used as the immunogen for the CD7 antibody.

Storage

Aliquot the CD7 antibody and store frozen at -20oC or colder. Avoid repeated freeze-thaw cycles.

Alternate Names

CD7 NK cell marker antibody, CD7 natural killer cell antibody, T-cell antigen CD7 antibody, CD7 cytotoxic lymphocyte antibody, CD7 immune marker antibody

Cross
Bulk Quote Request Form
Name*:
Organization*:
Email*:
Phone Number*:
Catalog No.*:
Comments and Specifics(amount, formulation, etc.)*:
Validation code: Captchapackage Image


Can't read the image? click here to refresh.
    *required field

Your bulk quote request has been submitted successfully!

Please contact us if you have any questions.