• Tel: 858.663.9055
  • SeparatorEmail: info@nsjbio.com
  • Tel: 858.663.9055
  • Email: info@nsjbio.com
Home >> Antibodies >> CD68 Antibody

CD68 Antibody (R31126)

  Catalog No Formulation Size Price (USD)  
Image R31126 0.5mg/ml if reconstituted with 0.2ml sterile DI water 100 ug 449
Bulk quote request
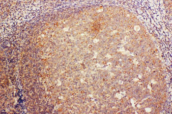
IHC staining of FFPE human tonsil tissue with CD68 antibody, HRP-labeled secondary and DAB substrate. HIER: boil tissue sections in pH8 EDTA for 20 min and allow to cool before testing.
Western blot testing of CD68 antbody; Lane 1: Recombinant human protein 10ng; 2: 5ng; 3: 2.5ng.
Availability 1-3 business days
Species Reactivity Human
Format Antigen affinity purified
Host Rabbit
Clonality Polyclonal (rabbit origin)
Isotype Rabbit IgG
Purity Antigen affinity
Buffer Lyophilized from 1X PBS with 2.5% BSA and 0.025% sodium azide/thimerosal
UniProt P34810
Localization Cell membrane, cytoplasm
Applications Western Blot : 0.5-1ug/ml
Immunohistochemistry (FFPE) : 0.5-1ug/ml
Limitations This CD68 antibody is available for research use only.
Review this product on BioCompare and get a $20 Amazon gift card

Related Products

Description

CD68 is a transmembrane glycoprotein that belongs to the lysosome-associated membrane glycoprotein family and is primarily expressed in monocytes, macrophages, and related cell types. It plays an important role in phagocytic activity, antigen processing, and immune surveillance. CD68 is also found in dendritic cells, osteoclasts, and some non-hematopoietic cells under specific conditions, making it a widely recognized marker for cells of the monocyte-macrophage lineage.

The protein is predominantly localized to lysosomes and endosomes, but it can also be detected at the cell surface, especially in activated or differentiated immune cells. This makes CD68 a valuable biomarker for evaluating inflammation, tissue remodeling, and tumor-associated macrophage infiltration in cancer research.

Multiple isoforms of CD68 have been identified through alternative splicing, which may influence cellular localization and function. These isoforms highlight the importance of selecting a CD68 antibody that can recognize the full spectrum of CD68 expression in both normal and pathological tissues.

A high-quality CD68 antibody is essential for detecting and quantifying CD68-positive cells in research related to immunology, oncology, and infectious diseases. The CD68 antibody is widely used in techniques such as immunohistochemistry, western blot, immunofluorescence, and flow cytometry, allowing researchers to evaluate expression patterns across tissues and experimental models.

NSJ Bioreagents provides validated CD68 antibody products with high specificity and performance, supporting reliable detection of CD68 isoforms and enabling robust results in a wide range of applications.

Application Notes

The stated application concentrations are suggested starting amounts. Titration of the CD68 antibody may be required due to differences in protocols and secondary/substrate sensitivity.

Immunogen

An amino acid sequence from the C-terminus of human Cluster of differentiation 68 (FCIIRRRPSAYQAL) was used as the immunogen for this CD68 antibody.

Storage

After reconstitution, the CD68 antibody can be stored for up to one month at 4oC. For long-term, aliquot and store at -20oC. Avoid repeated freezing and thawing.

Cross
Bulk Quote Request Form
Name*:
Organization*:
Email*:
Phone Number*:
Catalog No.*:
Comments and Specifics(amount, formulation, etc.)*:
Validation code: Captchapackage Image


Can't read the image? click here to refresh.
    *required field

Your bulk quote request has been submitted successfully!

Please contact us if you have any questions.