• Tel: 858.663.9055
  • SeparatorEmail: info@nsjbio.com
  • Tel: 858.663.9055
  • Email: info@nsjbio.com
Home >> Antibodies >> CD68 Antibody

CD68 Antibody [clone C68/684] (V2074)

  Catalog No Formulation Size Price (USD)  
Image V2074-100UG 0.2 mg/ml in 1X PBS with 0.1 mg/ml BSA (US sourced) and 0.05% sodium azide 100 ug 559
Image
V2074-20UG 0.2 mg/ml in 1X PBS with 0.1 mg/ml BSA (US sourced) and 0.05% sodium azide 20 ug 259
Image
V2074SAF-100UG 1 mg/ml in 1X PBS; BSA free, sodium azide free 100 ug 559
Image
V2074IHC-7ML Prediluted in 1X PBS with 0.1 mg/ml BSA (US sourced) and 0.05% sodium azide; *For IHC use only* 7 ml 559
Bulk quote request
IHC testing of human tonsil (10X) stained with CD68 antibody (C68/684).
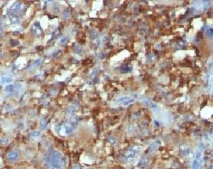
Formalin-fixed, paraffin-embedded human Histiocytoma stained with CD68 antibody.
Immunofluorescent staining of fixed human U-87 MG cells with CD68 antibody (clone C68/684, green) and Reddot nuclear stain (red).
Flow cytometry testing of fixed human U-87 MG cells with CD63 antibody (clone C68/684); Red=isotype control, Blue= CD63 antibody.
Western blot testing of human spleen lysate with CD68 antibody (clone C68/684). Expected molecular weight: 37-110 kDa depending on glycosylation level.
SDS-PAGE analysis of purified, BSA-free CD68 antibody (clone C68/684) as confirmation of integrity and purity.
Species Reactivity Human, Mouse, Rat, Cat
Format Purified
Host Mouse
Clonality Monoclonal (mouse origin)
Isotype Mouse IgG1, kappa
Clone Name C68/684
Purity Protein G affinity chromatography
Gene ID 968
Localization Cytoplasmic, membrane
Applications Western Blot : 1-2ug/ml
Immunofluorescence : 1-2ug/ml
Flow Cytometry : 1-2ug/million cells
Immunohistochemistry (FFPE) : 0.5-1ug/ml for 30 min at RT
Limitations This CD68 antibody is available for research use only.
Review this product on BioCompare and get a $20 Amazon gift card

Related Products

Description

CD68 antibody clone C68/684 is a monoclonal antibody that recognizes CD68, a lysosomal glycoprotein highly expressed in macrophages and monocytes. CD68 is a key marker of the mononuclear phagocyte system and is widely used to identify macrophage infiltration in tissues. NSJ Bioreagents provides this antibody for immunology, pathology, and cancer research.

The antibody produces strong cytoplasmic staining in tissue macrophages, Kupffer cells, and microglia. In immunology, CD68 detection supports studies of phagocytosis, innate immune defense, and inflammatory responses.

In pathology, CD68 antibody clone C68/684 is commonly used to evaluate macrophage infiltration in diseased tissues, including inflammatory disorders and tumors. It is a valuable tool in assessing the role of macrophages in tumor microenvironments, where they can promote progression or contribute to immune defense.

In neuroscience, CD68 detection highlights microglial activation, providing insight into neuroinflammation and neurodegenerative disease. Validated in multiple assay systems, the antibody delivers consistent cytoplasmic staining with minimal background. Alternate names include macrophage marker antibody, scavenger receptor antibody, and lysosomal glycoprotein antibody.

Application Notes

The concentration stated for each application is a general starting point. Variations in protocols, secondaries and substrates may require the antibody to be titered up or down for optimal performance.

1. Staining of formalin-fixed tissues is enhanced by boiling tissue sections in 10mM Citrate Buffer, pH 6 or pH 9 10mM Tris with 1mM EDTA for 10-20 min followed by cooling at RT for 20 minutes.
2. The prediluted format is supplied in a dropper bottle and is optimized for use in IHC. After epitope retrieval step (if required), drip mAb solution onto the tissue section and incubate at RT for 30 min.

Immunogen

The subcellular fraction of human alveolar macrophages was used as the immunogen for this CD68 antibody.

Storage

Store the CD68 antibody at 2-8oC (with azide) or aliquot and store at -20oC or colder (without azide).

Cross
Bulk Quote Request Form
Name*:
Organization*:
Email*:
Phone Number*:
Catalog No.*:
Comments and Specifics(amount, formulation, etc.)*:
Validation code: Captchapackage Image


Can't read the image? click here to refresh.
    *required field

Your bulk quote request has been submitted successfully!

Please contact us if you have any questions.