- Tel: 858.663.9055
- 
									 Email: info@nsjbio.com Email: info@nsjbio.com
- Tel: 858.663.9055
- Email: info@nsjbio.com
 Email: info@nsjbio.com
Email: info@nsjbio.com
								Related Products
| 
 | 
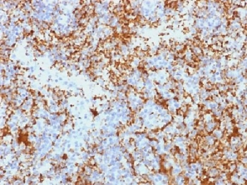
Reacts with human CD61, also called Integrin beta 3 (GPIIIa, vitronectin receptor beta chain). It associates with the αV-chain (CD51) to form vitronectin receptor, or with the αIIb-chain (CD41) to form the GpIIb/GpIIIa complex (CD41/CD61). The CD41/CD61 complex appears early in megakaryocyte maturation. The activated CD41/CD61 complex is a receptor for von Willebrand factor, soluble fibrinogen, fibronectin, vitronectin and thrombospondin. It plays a central role in platelet activation and aggregation. The CD51/CD61 is implicated in tumor metastasis and adenoviral infection. The antibody detects platelets in smears of blood and bone marrow, as well as megakaryocytes in frozen sections and cell smears. The antibody is useful for classification of megakaryoblastic leukemia.
Titration of the CD61 antibody may be required due to differences in protocols and secondary/substrate sensitivity.
Phytohemagglutinin (PHA)-stimulated peripheral blood cells were used as the immunogen for the CD61 antibody.
Store the CD61 antibody at 2-8oC (with azide) or aliquot and store at -20oC or colder (without azide).
 
Your bulk quote request has been submitted successfully!
Please contact us if you have any questions.