• Tel: 858.663.9055
  • SeparatorEmail: info@nsjbio.com
  • Tel: 858.663.9055
  • Email: info@nsjbio.com
Home >> Antibodies >> CD56 Antibody - Protein Microarray Validated / NCAM1 Antibody

CD56 Antibody - Protein Microarray Validated / NCAM1 Antibody [clone NCAM/7521] (V4189)

  Catalog No Formulation Size Price (USD)  
Image V4189-100UG 0.2 mg/ml in 1X PBS with 0.1 mg/ml BSA (US sourced), 0.05% sodium azide 100 ug 559
Image
V4189-20UG 0.2 mg/ml in 1X PBS with 0.1 mg/ml BSA (US sourced), 0.05% sodium azide 20 ug 259
Image
V4189SAF-100UG 1 mg/ml in 1X PBS; BSA free, sodium azide free 100 ug 559
Microvalidated
Bulk quote request
CD56 Antibody - Protein Microarray Validated (clone NCAM/7521). Protein microarray analysis using a HuProt(TM) array containing more than 19,000 full-length human proteins demonstrates strong and selective binding of this antibody to Neural cell adhesion molecule 1 (NCAM1), also known as CD56. Signal intensity is quantified using Z-scores, which represent the strength of antibody binding relative to the mean signal across the array. The S-score represents the difference in Z-scores between the top-ranked protein and the next highest signal and is used to assess target specificity. An S-score of 2.5 or greater indicates strong specificity for the intended target. In this analysis, NCAM1 is identified as the highest-ranked protein, indicating that clone NCAM/7521 preferentially recognizes CD56 compared with other proteins present on the array.
SDS-PAGE analysis of purified, BSA-free CD56 antibody (clone NCAM/7521) as confirmation of integrity and purity.
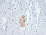
IHC staining of FFPE human colon tissue with microarray validated CD56 antibody (clone NCAM/7521). HIER: boil tissue sections in pH 9 10mM Tris with 1mM EDTA for 20 min and allow to cool before testing.
Availability 1-3 business days
Species Reactivity Human
Format Purified
Host Mouse
Clonality Monoclonal (mouse origin)
Isotype Mouse IgG1, kappa
Clone Name NCAM/7521
Purity Protein A/G affinity
UniProt P13591 , P13592
Localization Cell surface
Applications Immunohistochemistry (FFPE) : 1-2ug/ml for 30 minutes at RT
Limitations This CD56 antibody is available for research use only.
Review this product on BioCompare and get a $20 Amazon gift card

Related Products

Description

Neural cell adhesion molecule 1 (NCAM1), commonly known as CD56, is a membrane-associated glycoprotein encoded by the NCAM1 gene and belongs to the immunoglobulin superfamily of cell adhesion molecules. CD56 Antibody - Protein Microarray Validated (clone NCAM/7521) recognizes Neural cell adhesion molecule / NCAM1 and enables detection of this widely studied adhesion protein in biological samples. NCAM1 functions primarily at the cell surface where it mediates cell-cell adhesion and participates in signaling pathways that regulate cellular organization and communication.

CD56 antibody, also referred to as NCAM1 antibody or Neural cell adhesion molecule antibody in the literature, detects a protein expressed in multiple neural and immune cell populations. NCAM1 plays an important role in neuronal development, axonal guidance, and synaptic plasticity, contributing to the formation and remodeling of neural networks. Because of its role in neuronal connectivity, NCAM1 expression is commonly studied in neuroscience research examining neural development and synaptic regulation.

Outside the nervous system, CD56 expression is most prominently associated with natural killer cells and certain subsets of activated T lymphocytes. As a result, CD56 antibody detection is widely used to identify NK cell populations and study immune cell phenotypes. NCAM1 expression has also been reported in neuroendocrine cells and tumors that exhibit neuroendocrine differentiation, reflecting its broader role in cellular adhesion and signaling.

Protein microarray validation provides an additional level of specificity assessment by evaluating antibody binding across large panels of proteins in a high-throughput format. CD56 Antibody - Protein Microarray Validated (clone NCAM/7521) has been screened using protein microarray technology to evaluate reactivity against numerous potential protein targets. This type of validation approach helps characterize antibody binding behavior and supports research applications requiring well-characterized reagents.

CD56 Antibody - Protein Microarray Validated (clone NCAM/7521) provides a mouse monoclonal reagent for detecting Neural cell adhesion molecule / NCAM1 expression in research studies. Detection of CD56 supports investigations of neural adhesion molecules, immune cell markers, and cellular signaling pathways associated with NCAM1-mediated cell interactions.

Application Notes

Optimal dilution of the Protein Microarray Validated CD56 Antibody should be determined by the researcher.

Immunogen

A recombinant partial protein (within amino acids 400-650) from the human protein was used as the immunogen for the CD56 antibody.

Storage

Aliquot the CD56 antibody and store frozen at -20oC or colder. Avoid repeated freeze-thaw cycles.

Alternate Names

NCAM1 antibody, Neural cell adhesion molecule antibody, NCAM antibody, CD56 neural cell adhesion molecule antibody, NK cell marker CD56 antibody

Cross
Bulk Quote Request Form
Name*:
Organization*:
Email*:
Phone Number*:
Catalog No.*:
Comments and Specifics(amount, formulation, etc.)*:
Validation code: Captchapackage Image


Can't read the image? click here to refresh.
    *required field

Your bulk quote request has been submitted successfully!

Please contact us if you have any questions.