• Tel: 858.663.9055
  • SeparatorEmail: info@nsjbio.com
  • Tel: 858.663.9055
  • Email: info@nsjbio.com
Home >> Antibodies >> CD51 Antibody / Integrin alpha V / ITGAV / Vitronectin Receptor

CD51 Antibody / Integrin alpha V / ITGAV / Vitronectin Receptor [clone 8B10H2] (RQ7113)

  Catalog No Formulation Size Price (USD)  
Image RQ7113 0.5mg/ml if reconstituted with 0.2ml sterile DI water 100 ug 449
Bulk quote request
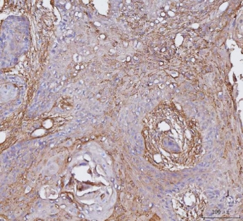
IHC staining of FFPE human esophageal squamous carcinoma tissue with CD51 antibody. HIER: boil tissue sections in pH8 EDTA for 20 min and allow to cool before testing.
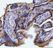
IHC staining of FFPE human placental tissue with CD51 antibody. HIER: boil tissue sections in pH8 EDTA for 20 min and allow to cool before testing.
Immunofluorescent staining of FFPE human A549 cells with CD51 antibody (red) and DAPI nuclear stain (blue). HIER: steam section in pH6 citrate buffer for 20 min.
Western blot testing of human 1) A549, 2) A431, 3) 293T and 4) MCF7 cell lysate with CD51 antibody. Expected molecular weight: 116-150 kDa.
Availability 1-3 business days
Species Reactivity Human
Format Antigen affinity purified
Host Mouse
Clonality Monoclonal (mouse origin)
Isotype Mouse IgG2b
Clone Name 8B10H2
Purity Antigen affinity purified
Buffer Lyophilized from 1X PBS with 2% Trehalose
UniProt P06756
Applications Western Blot : 0.5-1ug/ml
Immunofluorescence : 5ug/ml
Immunohistochemistry (FFPE) : 2-5ug/ml
Limitations This CD51 antibody is available for research use only.
Review this product on BioCompare and get a $20 Amazon gift card

Related Products

Description

Integrin alpha-V / CD51 is a protein that in humans is encoded by the ITGAV gene. It is a member of the beta 3 integrin subfamily(cytoadhesins). The human locus for the av gene (VNRA) was previously mapped to the long arm of chromosome 2. Sims et al.(2000) localized the VNRA gene to 2q31. The gene contains 30 exons and spans over 93 kb of genomic DNA. It functions as a receptor for a group of proteins that includes vitronectin, fibrinogen, thrombospondin, and von Willebrand factor.

Application Notes

Optimal dilution of the CD51 antibody should be determined by the researcher.

Immunogen

Recombinant human protein (amino acids H732-D970) was used as the immunogen for the CD51 antibody.

Storage

After reconstitution, the CD51 antibody can be stored for up to one month at 4oC. For long-term, aliquot and store at -20oC. Avoid repeated freezing and thawing.

Cross
Bulk Quote Request Form
Name*:
Organization*:
Email*:
Phone Number*:
Catalog No.*:
Comments and Specifics(amount, formulation, etc.)*:
Validation code: Captchapackage Image


Can't read the image? click here to refresh.
    *required field

Your bulk quote request has been submitted successfully!

Please contact us if you have any questions.