• Tel: 858.663.9055
  • SeparatorEmail: info@nsjbio.com
  • Tel: 858.663.9055
  • Email: info@nsjbio.com
Home >> Antibodies >> CD5 Antibody N-Terminus / CD5 N-Terminal Antibody

CD5 Antibody N-Terminus / CD5 N-Terminal Antibody [clone RM354] (R20376)

  Catalog No Formulation Size Price (USD)  
Image R20376-0.1ML Antibody in PBS with 50% glycerol, 1% BSA and 0.09% sodium azide 100 ul 439
Microvalidated Recrabbitmono
Bulk quote request
CD5 Antibody for IHC. Immunohistochemistry analysis of CD5 antibody staining in FFPE human tonsil tissue using an N-terminal directed antibody. Strong membranous staining is observed in interfollicular T lymphocytes with dense labeling of T cell zones surrounding germinal centers, while follicular B cell regions remain largely negative. Detection using an N-terminal epitope reflects recognition of the extracellular domain of CD5, supporting analysis of cell surface expression and lymphocyte identification within tissue.
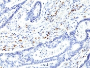
CD5 Antibody for IHC. Immunohistochemistry analysis of CD5 antibody staining in FFPE human colon tissue using an N-terminal directed antibody. Strong membranous staining is observed in infiltrating lymphocytes within the lamina propria and submucosal regions, while colonic epithelial cells remain largely negative. The staining highlights immune cell localization within gastrointestinal tissue and reflects recognition of the extracellular domain of CD5, supporting analysis of cell surface expression and lymphocyte distribution in non-lymphoid tissue.
IHC staining of FFPE human colon cancer tissue with recombinant CD5 antibody at 1:1000.
CD5 Antibody for WB. Western blot analysis of CD5 antibody in human Jurkat cell lysate using an N-terminal directed antibody. A band is detected at approximately 55-67 kDa, consistent with the predicted molecular weight of CD5, with size variation reflecting known glycosylation of this membrane glycoprotein. Detection using an N-terminal epitope supports recognition of the extracellular domain and confirms detection of full-length CD5 protein.
Availability 1-3 business days
Species Reactivity Human
Format Purified
Host Rabbit
Clonality Recombinant Rabbit Monoclonal
Isotype Rabbit IgG
Clone Name RM354
Purity Protein A purified from animal origin-free supernatant
UniProt P06127
Localization Cell Surface
Applications Immunohistochemistry (FFPE) : 1:200-1:500
Western Blot : 1:10000-1:25000
Limitations This CD5 Antibody N-Terminus / CD5 N-Terminal Antibody is available for research use only.
Review this product on BioCompare and get a $20 Amazon gift card

Related Products

Description

CD5 (CD5 molecule) is a type I transmembrane glycoprotein of the scavenger receptor cysteine-rich (SRCR) superfamily, expressed on the surface of T lymphocytes and a subset of B cells where it participates in immune signaling and cell-cell interaction. CD5 Antibody N-Terminus / CD5 N-Terminal Antibody (clone RM354) is designed to detect the extracellular N-terminal region of CD5, enabling targeted analysis of the surface-exposed domain responsible for ligand interaction and immune cell communication. CD5 antibody, also known as T cell surface glycoprotein CD5 antibody or LEU1 antibody, is widely used in studies of immune cell surface markers and lymphocyte identification, with N-terminal targeting providing optimal access to extracellular epitopes.

The N-terminal region of CD5 forms part of its extracellular domain, which consists of SRCR motifs involved in ligand binding and interaction with other immune components. This region is accessible on the cell surface, making CD5 N-terminal antibody particularly well suited for detecting CD5 in intact cells without the need for permeabilization. As a result, CD5 N-terminus antibody is highly relevant for applications focused on cell surface expression, immune cell phenotyping, and extracellular signaling analysis.

Detection of the CD5 N-terminus enables detailed analysis of surface expression patterns across lymphocyte populations, supporting studies of immune cell distribution, tissue localization, and cellular interaction within lymphoid organs. CD5 antibody targeting the N-terminal domain is especially useful for identifying T cell populations in tissue sections and cell-based assays where preservation of membrane integrity is important.

The extracellular domain of CD5 is also involved in modulating immune responses through interactions at the cell surface, including participation in signaling complexes at the immunological synapse. CD5 N-terminal antibody supports investigation of these processes by enabling detection of the ligand-interacting region of the protein, providing insight into how CD5 contributes to immune communication and signal initiation.

In addition, targeting the N-terminal region ensures detection of full-length, membrane-associated CD5 in its native conformation. This makes CD5 N-terminus antibody particularly valuable for studies focused on receptor biology, cell surface accessibility, and immune cell classification. Its specificity for the extracellular domain allows for accurate identification of CD5-positive cells in both tissue and suspension-based assays.

This recombinant rabbit monoclonal antibody clone RM354 provides consistent recognition of the CD5 N-terminal region and supports reliable detection in research applications focused on surface expression and immune cell identification. Its epitope-specific targeting enhances experimental precision in studies requiring accurate detection of extracellular CD5.

Because the N-terminal domain of CD5 is essential for cell surface expression and immune interaction, CD5 N-terminal antibody is widely used in studies of lymphocyte identification, immune cell communication, extracellular signaling, and surface marker analysis.

A full range of CD5 antibody reagents for immunohistochemistry, western blot, and flow cytometry is available on our CD5 Antibody collection page.

Application Notes

The stated application concentrations are suggested starting points. Titration of the CD5 Antibody N-Terminus / CD5 N-Terminal Antibody may be required due to differences in protocols and secondary/substrate sensitivity.

Immunogen

A peptide corresponding to the N-terminus (extracellular domain) of human T-cell surface glycoprotein CD5 was used as the immunogen for the CD5 antibody.

Storage

Store the recombinant CD5 antibody at -20oC.

Alternate Names

CD5 N-terminal antibody, CD5 N terminus antibody, CD5 extracellular domain antibody, CD5 surface epitope antibody, CD5 N terminal epitope antibody

Cross
Bulk Quote Request Form
Name*:
Organization*:
Email*:
Phone Number*:
Catalog No.*:
Comments and Specifics(amount, formulation, etc.)*:
Validation code: Captchapackage Image


Can't read the image? click here to refresh.
    *required field

Your bulk quote request has been submitted successfully!

Please contact us if you have any questions.