• Tel: 858.663.9055
  • SeparatorEmail: info@nsjbio.com
  • Tel: 858.663.9055
  • Email: info@nsjbio.com
Home >> Antibodies >> CD5 Antibody / T Cell Lineage Marker Antibody

CD5 Antibody / T Cell Lineage Marker Antibody [clone 4E2.] (RQ5620)

  Catalog No Formulation Size Price (USD)  
Image RQ5620 0.5mg/ml if reconstituted with 0.2ml sterile DI water 100 ug 449
Bulk quote request
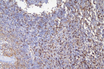
CD5 Antibody for IHC. Immunohistochemistry analysis of CD5 antibody staining in FFPE human tonsil tissue using a T cell lineage marker antibody. Strong membranous staining is observed in interfollicular T lymphocytes with dense labeling of T cell zones surrounding germinal centers, while follicular B cell regions remain largely negative. The staining pattern highlights normal tonsillar architecture and supports the use of CD5 as a defining marker of T cell lineage within lymphoid tissue. Heat-induced epitope retrieval was performed in pH 6 citrate buffer for 20 minutes followed by cooling prior to antibody incubation.
CD5 Antibody for WB. Western blot analysis of CD5 antibody in human Jurkat (lane 1) and CCRF-CEM (lane 2) cell lysates using a T cell lineage marker antibody. A band is detected at approximately 55-67 kDa, consistent with the predicted molecular weight of CD5, with size variation reflecting known glycosylation of this membrane glycoprotein. The strong signals observed in both T cell-derived lysates align with the established expression of CD5 as a defining marker of T lymphocyte lineage.
Availability 1-3 business days
Species Reactivity Human
Format Antigen affinity purified
Host Mouse
Clonality Monoclonal (mouse origin)
Isotype Mouse IgG1
Clone Name 4E2.
Purity Affinity purified
Buffer Lyophilized from 1X PBS with 2% Trehalose and 0.025% sodium azide
UniProt P06127
Localization Cytoplasmic, membranous
Applications Western Blot : 0.5-1ug/ml
Immunohistochemistry (FFPE) : 1-2ug/ml
Limitations This CD5 Antibody / T Cell Lineage Marker Antibody is available for research use only.
Review this product on BioCompare and get a $20 Amazon gift card

Related Products

Description

CD5 (CD5 molecule) is a cell surface glycoprotein belonging to the scavenger receptor cysteine-rich (SRCR) superfamily, expressed predominantly on T lymphocytes and a subset of B cells. CD5 Antibody / T Cell Lineage Marker Antibody is used to detect CD5 as a defining marker of T cell lineage, enabling identification and classification of lymphocyte populations across a wide range of experimental systems. CD5 antibody, also referred to as T cell surface glycoprotein CD5 antibody or LEU1 antibody, is widely used for immune cell identification, lineage determination, and lymphoid tissue characterization.

CD5 is consistently expressed throughout T cell development, from thymocytes to mature peripheral T lymphocytes, making it one of the most reliable markers for identifying T cell lineage. Its stable and persistent expression supports its use in lineage tracing and classification studies, where accurate identification of immune cell populations is essential. CD5 antibody enables detection of T lymphocytes in both tissue-based and cell-based assays, providing a clear and consistent marker for distinguishing T cells from other immune cell types.

In addition to its role as a lineage marker, CD5 expression provides insight into functional aspects of T cell biology, as it is involved in signaling regulation and immune response modulation. This dual role enhances its utility in studies that combine lineage identification with functional analysis. CD5 antibody is therefore commonly used in experiments that require both classification of immune cells and understanding of their biological behavior.

CD5 is also expressed on specific B cell subsets, including those associated with certain disease states, adding an additional layer of complexity to lineage analysis. Detection of CD5 in these populations supports more detailed characterization of lymphocyte diversity and helps refine classification of immune cell subsets. CD5 antibody enables researchers to identify these populations and study their biological significance.

Because lineage identification is fundamental to immunology research, CD5 antibody is widely used in studies focused on immune cell classification, tissue composition, and lymphoid architecture. Its detection provides a reliable means of identifying T cell-rich regions within tissues and distinguishing lymphocyte populations in complex biological samples.

In disease contexts, CD5 expression is used to classify lymphoid malignancies and determine the cellular origin of tumor populations. CD5 antibody supports these analyses by enabling detection of lineage-specific markers that inform disease characterization and research studies.

This antibody is suitable for detecting CD5 in research applications focused on T cell lineage identification and immune cell classification. Its ability to consistently identify CD5-positive populations supports studies of lymphocyte biology, immune system organization, and disease-related changes in immune cell composition.

Because CD5 is a defining marker of T cell lineage, CD5 antibody is widely used in studies of immune cell identification, lineage tracing, and lymphoid tissue analysis.

A full range of CD5 antibody reagents for immunohistochemistry, western blot, and flow cytometry is available on our CD5 Antibody collection page.

Application Notes

Optimal dilution of the CD5 Antibody / T Cell Lineage Marker Antibody should be determined by the researcher.

Immunogen

A human recombinant protein (amino acids R25-L495) was used as the immunogen for the CD5 antibody.

Storage

After reconstitution, the CD5 antibody can be stored for up to one month at 4oC. For long-term, aliquot and store at -20oC. Avoid repeated freezing and thawing.

Alternate Names

CD5 T cell lineage antibody, CD5 lineage marker antibody, CD5 T lymphocyte marker antibody, CD5 immune lineage antibody, CD5 T cell identification antibody

Cross
Bulk Quote Request Form
Name*:
Organization*:
Email*:
Phone Number*:
Catalog No.*:
Comments and Specifics(amount, formulation, etc.)*:
Validation code: Captchapackage Image


Can't read the image? click here to refresh.
    *required field

Your bulk quote request has been submitted successfully!

Please contact us if you have any questions.