• Tel: 858.663.9055
  • SeparatorEmail: info@nsjbio.com
  • Tel: 858.663.9055
  • Email: info@nsjbio.com
Home >> Antibodies >> CD46 Antibody

CD46 Antibody (R31975)

  Catalog No Formulation Size Price (USD)  
Image R31975 0.5mg/ml if reconstituted with 0.2ml sterile DI water 100 ug 449
Bulk quote request
Immunofluorescent staining of FFPE human T-47D cells with CD46 antibody (green) and DAPI nuclear stain (blue). HIER: steam section in pH6 citrate buffer for 20 min.
IHC testing of FFPE human prostate cancer tissue with CD46 antibody. HIER: Boil the paraffin sections in pH 6, 10mM citrate buffer for 20 minutes and allow to cool prior to staining.
IHC testing of FFPE human placental tissue with CD46 antibody. HIER: Boil the paraffin sections in pH 6, 10mM citrate buffer for 20 minutes and allow to cool prior to staining.
Western blot testing of human 1) HepG2 and 2) K562 cell lysate with CD46 antibody. Observed molecular weight: 41~70 kDa depending on glycosylation level.
Western blot testing of 1) rat liver, 2) mouse liver and 3) mouse Neuro-2a lysate with CD46 antibody. Observed molecular weight: 41~70 kDa depending on glycosylation level.
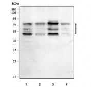
Western blot testing of human 1) HeLa, 2) K562, 3) A549 and 4) A431 cell lysate with CD46 antibody. Observed molecular weight: 41~70 kDa depending on glycosylation level.
Availability 1-3 business days
Species Reactivity Human, Mouse, Rat
Format Antigen affinity purified
Host Rabbit
Clonality Polyclonal (rabbit origin)
Isotype Rabbit IgG
Purity Antigen affinity
Buffer Lyophilized from 1X PBS with 2.5% BSA and 0.025% sodium azide
UniProt P15529
Applications Immunohistochemistry (FFPE) : 0.5-1ug/ml
Western Blot : 0.5-1ug/ml
Immunofluorescence (FFPE) : 5ug/ml
Limitations This CD46 antibody is available for research use only.
Review this product on BioCompare and get a $20 Amazon gift card

Related Products

  • Applications : Functional studies, FACS, IF
    Reactivity : Human
  • Applications : FACS, IF
    Reactivity : Human
    Citation  Citations(9)
  • Applications : IHC-P, WB
    Reactivity : Human
    Rab Mono Image
  • Applications : WB, IHC-P, FACS
    Reactivity : Human
  • Applications : FACS, IF
    Reactivity : Human
  • Applications : IHC, FACS, IF, WB, ELISA
    Reactivity : Human
  • Applications : WB, ELISA
    Reactivity : Human
  • Applications : WB
    Reactivity : Mouse

Description

CD46 complement regulatory protein also known as CD46 (cluster of differentiation 46) and Membrane Cofactor Protein is a protein which in humans is encoded by the CD46 gene. The protein encoded by this gene is a type I membrane protein and is a regulatory part of the complement system. And the encoded protein has cofactor activity for inactivation of complement components C3b and C4b by serum factor I, which protects the host cell from damage by complement. In addition, the encoded protein can act as a receptor for the Edmonston strain of measles virus, human herpesvirus-6, and type IV pili of pathogenic Neisseria. Finally, the protein encoded by this gene may be involved in the fusion of the spermatozoa with the oocyte during fertilization. Mutations at this locus have been associated with susceptibility to hemolytic uremic syndrome. Alternatively spliced transcript variants encoding different isoforms have been described.

Application Notes

Optimal dilution of the CD46 antibody should be determined by the researcher.

Immunogen

Amino acids YRYLQRRKKKGTYLTDETHREVKFTSL of human CD46 were used as the immunogen for the CD46 antibody.

Storage

After reconstitution, the CD46 antibody can be stored for up to one month at 4oC. For long-term, aliquot and store at -20oC. Avoid repeated freezing and thawing.

Cross
Bulk Quote Request Form
Name*:
Organization*:
Email*:
Phone Number*:
Catalog No.*:
Comments and Specifics(amount, formulation, etc.)*:
Validation code: Captchapackage Image


Can't read the image? click here to refresh.
    *required field

Your bulk quote request has been submitted successfully!

Please contact us if you have any questions.