• Tel: 858.663.9055
  • SeparatorEmail: info@nsjbio.com
  • Tel: 858.663.9055
  • Email: info@nsjbio.com
Home >> Antibodies >> CD45RA Antibody

CD45RA Antibody [clone PTPRC/8699R] (V4776)

  Catalog No Formulation Size Price (USD)  
Image V4776-100UG 0.2 mg/ml in 1X PBS with 0.1 mg/ml BSA (US sourced), 0.05% sodium azide 100 ug 559
Image
V4776-20UG 0.2 mg/ml in 1X PBS with 0.1 mg/ml BSA (US sourced), 0.05% sodium azide 20 ug 259
Image
V4776SAF-100UG 1 mg/ml in 1X PBS; BSA free, sodium azide free 100 ug 559
Microvalidated Recrabbitmono
Bulk quote request
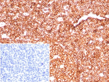
Immunohistochemistry analysis of CD45RA antibody (clone PTPRC/8699R) in human tonsil tissue. FFPE human tonsil demonstrates strong membranous staining of lymphoid cells within follicular and interfollicular regions, consistent with CD45RA surface expression. The inset negative control, using PBS in place of the primary antibody, shows no specific staining. Heat-induced epitope retrieval was performed by boiling sections in pH 9 10mM Tris with 1mM EDTA for 20 minutes followed by cooling prior to staining.
Availability 1-3 business days
Species Reactivity Human
Format Purified
Host Rabbit
Clonality Recombinant Rabbit Monoclonal
Isotype Rabbit IgG, kappa
Clone Name PTPRC/8699R
Purity Protein A/G affinity
UniProt P08575
Localization Cell surface, Cytoplasm
Applications Immunohistochemistry (FFPE) : 1-2ug/ml for 30 min at RT
Limitations This CD45RA antibody is available for research use only.
Review this product on BioCompare and get a $20 Amazon gift card

Related Products

Description

CD45RA antibody recognizes Leukocyte marker CD45RA, an isoform of Protein tyrosine phosphatase receptor type C encoded by the PTPRC gene. CD45RA represents one of several alternatively spliced extracellular variants of the CD45 molecule, also known as Leukocyte common antigen, that are generated through differential inclusion of exons within the extracellular domain. CD45RA antibody is widely used to identify naive T lymphocytes and specific subsets of B cells based on surface expression of this high molecular weight isoform. CD45RA is a type I transmembrane glycoprotein expressed on hematopoietic cells and is particularly enriched on resting naive CD4+ and CD8+ T cells, as well as on a subset of peripheral blood leukocytes.

Functionally, CD45RA participates in regulating antigen receptor mediated signaling by modulating the phosphorylation state of Src family kinases such as Lck and Fyn. Through its intracellular phosphatase domains, CD45RA contributes to threshold control of T cell receptor signaling, thereby influencing lymphocyte activation, differentiation, and immune tolerance. Expression of CD45RA typically decreases upon antigen experience, with memory T cells instead expressing alternative isoforms such as CD45RO. This dynamic expression pattern makes CD45RA antibody a valuable tool for distinguishing naive versus memory T cell populations in research settings.

CD45RA is localized to the plasma membrane, where its large glycosylated extracellular domain contributes to cell surface architecture and receptor clustering. The PTPRC gene resides on chromosome 1 and produces multiple isoforms through complex alternative splicing, resulting in proteins that differ in extracellular length and glycosylation profile. These structural differences influence receptor interactions and cellular distribution. CD45RA expression is highest in peripheral blood lymphocytes, thymocytes, and secondary lymphoid organs including spleen and tonsil.

Altered expression or mutation of PTPRC has been associated with immune dysregulation, autoimmune disease, and certain hematologic malignancies. Because CD45RA marks specific lymphocyte subsets, it is frequently examined in studies of immune reconstitution, transplant biology, and immuno-oncology. A CD45RA antibody can be used in research applications to characterize leukocyte populations and evaluate immune cell differentiation states in normal and diseased tissues.

Application Notes

Optimal dilution of the CD45RA antibody should be determined by the researcher.

Immunogen

Recombinant full-length human PTPRC protein was used as the immunogen for the CD45RA antibody.

Storage

Aliquot the CD45RA antibody and store frozen at -20oC or colder. Avoid repeated freeze-thaw cycles.

Cross
Bulk Quote Request Form
Name*:
Organization*:
Email*:
Phone Number*:
Catalog No.*:
Comments and Specifics(amount, formulation, etc.)*:
Validation code: Captchapackage Image


Can't read the image? click here to refresh.
    *required field

Your bulk quote request has been submitted successfully!

Please contact us if you have any questions.