• Tel: 858.663.9055
  • SeparatorEmail: info@nsjbio.com
  • Tel: 858.663.9055
  • Email: info@nsjbio.com
Home >> Antibodies >> CD45RA Antibody

CD45RA Antibody [clone PTPRC/8341R] (V4775)

  Catalog No Formulation Size Price (USD)  
Image V4775-100UG 0.2 mg/ml in 1X PBS with 0.1 mg/ml BSA (US sourced), 0.05% sodium azide 100 ug 559
Image
V4775-20UG 0.2 mg/ml in 1X PBS with 0.1 mg/ml BSA (US sourced), 0.05% sodium azide 20 ug 259
Image
V4775SAF-100UG 1 mg/ml in 1X PBS; BSA free, sodium azide free 100 ug 559
Microvalidated Recrabbitmono
Bulk quote request
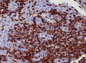
IHC staining of FFPE human lymph node tissue with CD45RA antibody (clone PTPRC/8341R). HIER: boil tissue sections in pH 9 10mM Tris with 1mM EDTA for 20 min and allow to cool before testing.
IHC staining of FFPE human tonsil tissue with CD45RA antibody (clone PTPRC/8341R). HIER: boil tissue sections in pH 9 10mM Tris with 1mM EDTA for 20 min and allow to cool before testing.
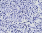
Negative control: IHC testing of FFPE human brain tissue with CD45RA antibody (clone PTPRC/8341R) at 2ug/ml. HIER: boil tissue sections in pH 9 10mM Tris with 1mM EDTA for 20 min and allow to cool before testing.
Availability 1-3 business days
Species Reactivity Human
Format Purified
Host Rabbit
Clonality Recombinant Rabbit Monoclonal
Isotype Rabbit IgG, kappa
Clone Name PTPRC/8341R
Purity Protein A/G affinity
UniProt P08575
Localization Cell surface, Cytoplasm
Applications Immunohistochemistry (FFPE) : 1-2ug/ml for 30 min at RT
Limitations This CD45RA antibody is available for research use only.
Review this product on BioCompare and get a $20 Amazon gift card

Related Products

Description

CD45RA antibody recognizes CD45RA, a high molecular weight isoform of the Leukocyte common antigen encoded by the PTPRC gene. CD45RA is generated through alternative splicing of exons within the PTPRC transcript and is predominantly expressed on naive T lymphocytes and a subset of B cells. As a transmembrane protein tyrosine phosphatase, CD45 plays a central role in regulating antigen receptor signaling by modulating phosphorylation states of Src family kinases such as LCK and FYN. CD45RA antibody is widely used to distinguish naive T cells from memory T cell populations, as CD45RA expression is typically downregulated following antigen encounter and differentiation.

Structurally, CD45 contains an extracellular domain with multiple glycosylated regions, a single transmembrane segment, and two intracellular phosphatase domains. The extracellular region varies depending on splicing patterns, giving rise to CD45RA, CD45RB, and CD45RO isoforms. CD45RA antibody specifically detects the RA isoform, which includes exon A in the extracellular domain. CD45-mediated signaling is essential for proper T cell activation thresholds and immune homeostasis. Dysregulation of CD45 isoform expression has been implicated in autoimmune conditions and hematologic malignancies.

CD45RA antibody is suitable for detecting CD45RA expression in research applications investigating lymphocyte development, immune phenotyping, and tumor-infiltrating immune cells.

Application Notes

Optimal dilution of the CD45RA antibody should be determined by the researcher.

Immunogen

Recombinant full-length human PTPRC protein was used as the immunogen for the CD45RA antibody.

Storage

Aliquot the CD45RA antibody and store frozen at -20oC or colder. Avoid repeated freeze-thaw cycles.

Cross
Bulk Quote Request Form
Name*:
Organization*:
Email*:
Phone Number*:
Catalog No.*:
Comments and Specifics(amount, formulation, etc.)*:
Validation code: Captchapackage Image


Can't read the image? click here to refresh.
    *required field

Your bulk quote request has been submitted successfully!

Please contact us if you have any questions.