• Tel: 858.663.9055
  • SeparatorEmail: info@nsjbio.com
  • Tel: 858.663.9055
  • Email: info@nsjbio.com
Home >> Antibodies >> CD44v9 Antibody for IHC Tumor Tissue / Tumor Progression Marker Antibody

CD44v9 Antibody for IHC Tumor Tissue / Tumor Progression Marker Antibody [clone CD44v9/1459] (V3285)

  Catalog No Formulation Size Price (USD)  
Image V3285-100UG 0.2 mg/ml in 1X PBS with 0.1 mg/ml BSA (US sourced) and 0.05% sodium azide 100 ug 559
Image
V3285-20UG 0.2 mg/ml in 1X PBS with 0.1 mg/ml BSA (US sourced) and 0.05% sodium azide 20 ug 259
Image
V3285SAF-100UG 1 mg/ml in 1X PBS; BSA free, sodium azide free 100 ug 559
Bulk quote request
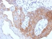
CD44v9 Antibody for IHC Tumor Tissue Cervical Carcinoma. Immunohistochemistry analysis of CD44 variant 9 / CD44 expression in FFPE human cervical carcinoma using mouse monoclonal antibody clone CD44v9/1459. Strong membranous HRP-DAB brown staining is observed in malignant epithelial cells, clearly outlining tumor nests and highlighting cell surface localization consistent with CD44v9-associated cell adhesion and tumor progression biology. The staining pattern demonstrates uniform expression across carcinoma regions, supporting its use in evaluating epithelial tumor organization and disease-related changes in tissue architecture. Heat induced epitope retrieval was performed by steaming tissue sections in pH 9 10mM Tris with 1mM EDTA buffer for 10-20 min.
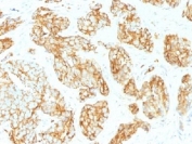
CD44v9 Antibody for IHC Tumor Tissue Prostate Carcinoma. Immunohistochemistry analysis of CD44 variant 9 / CD44 expression in FFPE human prostate carcinoma using mouse monoclonal antibody clone CD44v9/1459. Distinct membranous HRP-DAB brown staining is observed in malignant epithelial cells forming glandular structures, highlighting cell surface localization consistent with CD44v9-associated adhesion and tumor progression biology. The staining pattern demonstrates heterogeneous distribution across tumor glands, supporting its relevance for evaluating epithelial tumor organization and progression-associated changes within prostate carcinoma tissue. Heat induced epitope retrieval was performed by steaming tissue sections in pH 9 10mM Tris with 1mM EDTA buffer for 10-20 min.
CD44v9 Antibody for IHC Tumor Tissue Tongue Carcinoma. Immunohistochemistry analysis of CD44 variant 9 / CD44 expression in FFPE human tongue carcinoma using mouse monoclonal antibody clone CD44v9/1459. Prominent membranous HRP-DAB brown staining is observed in malignant squamous epithelial cells, outlining tumor islands and highlighting cell surface localization consistent with CD44v9-associated adhesion and epithelial tumor progression. The staining pattern shows strong expression within squamous carcinoma regions, supporting its use in evaluating tumor organization and progression-related changes in oral epithelial malignancies. Heat induced epitope retrieval was performed by steaming tissue sections in pH 9 10mM Tris with 1mM EDTA buffer for 10-20 min.
Availability 1-3 business days
Species Reactivity Human
Format Purified
Host Mouse
Clonality Monoclonal (mouse origin)
Isotype Mouse IgG1, kappa
Clone Name CD44v9/1459
Purity Protein G affinity chromatography
UniProt P16070
Localization Cell surface, cytoplasmic
Applications Immunohistochemistry (FFPE) : 1-2ug/ml for 30 min at RT
Limitations This CD44v9 Antibody for IHC Tumor Tissue / Tumor Progression Marker Antibody is available for research use only.
Review this product on BioCompare and get a $20 Amazon gift card

Related Products

Description

CD44 antigen (CD44) is a cell surface glycoprotein involved in cell adhesion, migration, and signaling, with widespread expression across epithelial and hematopoietic tissues. CD44v9 Antibody for IHC Tumor Tissue is designed to detect the variant 9-containing isoform of CD44 in formalin-fixed, paraffin-embedded tissues, enabling immunohistochemistry-based evaluation of epithelial tumors across multiple tissue types. CD44v9 expression is frequently observed in carcinoma cells, including cervical, prostate, and squamous epithelial tumors such as those arising in the tongue, where it reflects dynamic changes in tumor cell behavior and tissue organization during disease progression.

CD44 antibody, also referred to as CD44 antigen antibody, CD44 variant 9 antibody, CD44v9 IHC antibody, or Hermes antigen antibody, recognizes alternatively spliced isoforms that contribute to tumor biology through diverse mechanisms. CD44v9 is particularly associated with tumor progression, where its expression correlates with alterations in cell adhesion, invasion potential, and epithelial plasticity across multiple carcinoma types. Mouse monoclonal antibody clone CD44v9/1459 is designed to detect CD44v9 in tissue sections and has been referenced in peer-reviewed studies, supporting its use in evaluating tumor-associated expression patterns in epithelial malignancies.

Functionally, CD44v9 supports tumor progression by modulating interactions between tumor cells and the extracellular matrix, facilitating processes such as migration, invasion, and tissue remodeling. Its membranous localization in carcinoma cells highlights areas of active tumor growth and structural reorganization within tissues. In immunohistochemistry applications, CD44v9 staining reveals distinct cell surface patterns that allow identification of tumor cell populations and assessment of spatial heterogeneity within tumors. This CD44v9 Antibody for IHC Tumor Tissue is particularly suited for examining progression-associated changes across diverse epithelial cancers.

CD44v9 expression has been reported in a variety of epithelial malignancies, including glandular tumors such as prostate carcinoma and squamous cell carcinomas such as those of the cervix and tongue, supporting its role as a marker of epithelial tumor biology. Its presence across these tumor types enables comparative analysis of disease progression and tumor organization within different tissue contexts. Detection of CD44v9 expression in these tissues provides a useful tool for studying tumor architecture, cellular distribution, and disease-associated changes in epithelial malignancies.

Structurally, CD44 is encoded on chromosome 11p13 and consists of an extracellular domain responsible for ligand binding, a transmembrane segment, and a cytoplasmic tail involved in intracellular signaling. The variant 9 region is generated through alternative splicing, producing isoforms with distinct functional properties. CD44 family proteins exhibit regulated expression depending on tissue type and disease state, with CD44v9 commonly associated with malignant epithelial cells undergoing progression and adaptation. An antibody targeting CD44v9 is suitable for detecting variant-specific expression in tumor tissues and related research applications involving carcinoma biology and disease progression.

Application Notes

Titering of the CD44v9 Antibody for IHC Tumor Tissue / Tumor Progression Marker Antibody may be required for optimal performance.

Immunogen

An amino acid sequence from the variant 9 domain of CD44 was used as the immunogen for the CD44v9 antibody. This antibody recognizes an epitope encoded by exon v9 on the variant portion of human CD44.

Storage

Store the CD44v9 antibody at 2-8oC (with azide) or aliquot and store at -20oC or colder (without azide).

Alternate Names

CD44 variant 9 antibody, CD44v9 antibody, CD44 splice variant antibody, Hermes antigen antibody, CD44 tumor progression marker antibody

Cross
Bulk Quote Request Form
Name*:
Organization*:
Email*:
Phone Number*:
Catalog No.*:
Comments and Specifics(amount, formulation, etc.)*:
Validation code: Captchapackage Image


Can't read the image? click here to refresh.
    *required field

Your bulk quote request has been submitted successfully!

Please contact us if you have any questions.