• Tel: 858.663.9055
  • SeparatorEmail: info@nsjbio.com
  • Tel: 858.663.9055
  • Email: info@nsjbio.com
Home >> Antibodies >> CD44v6 Antibody for IHC Tumor Invasion / Metastasis Marker Antibody

CD44v6 Antibody for IHC Tumor Invasion / Metastasis Marker Antibody [clone 2F10] (V3774)

  Catalog No Formulation Size Price (USD)  
Image V3774-100UG 0.2 mg/ml in 1X PBS with 0.1 mg/ml BSA (US sourced) and 0.05% sodium azide 100 ug 559
Image
V3774-20UG 0.2 mg/ml in 1X PBS with 0.1 mg/ml BSA (US sourced) and 0.05% sodium azide 20 ug 259
Image
V3774SAF-100UG 1 mg/ml in 1X PBS; BSA free, sodium azide free 100 ug 559
Bulk quote request
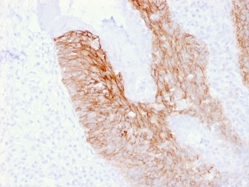
CD44v6 Antibody for IHC Cervical Carcinoma. Immunohistochemistry analysis of CD44 variant 6 / CD44 expression in FFPE human cervix carcinoma using mouse monoclonal antibody clone 2F10. Strong membranous HRP-DAB brown staining is observed in malignant epithelial cells, outlining tumor nests and highlighting cell surface localization consistent with CD44v6-associated adhesion, tumor invasion, and metastatic potential. The staining pattern emphasizes carcinoma cell organization and supports its role in invasive behavior and progression within cervical cancer tissue. Heat induced epitope retrieval was performed by boiling tissue sections in pH 9 10mM Tris with 1mM EDTA for 20 min followed by cooling at RT before testing.
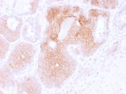
CD44v6 Antibody for IHC Prostate Carcinoma. Immunohistochemistry analysis of CD44 variant 6 / CD44 expression in FFPE human prostate carcinoma using mouse monoclonal antibody clone 2F10. Distinct membranous HRP-DAB brown staining is observed in malignant epithelial cells forming glandular tumor structures, highlighting cell surface localization consistent with CD44v6-associated adhesion, tumor invasion, and metastatic potential. The staining pattern demonstrates heterogeneous expression across tumor glands, supporting its relevance for evaluating tumor organization, invasive behavior, and progression-associated changes in prostate carcinoma tissue. Heat induced epitope retrieval was performed by boiling tissue sections in pH 9 10mM Tris with 1mM EDTA for 20 min followed by cooling at RT before testing.
SDS-PAGE analysis of purified, BSA-free CD44v6 antibody (clone 2F10) as confirmation of integrity and purity.
Availability 1-3 business days
Species Reactivity Human
Format Purified
Host Mouse
Clonality Monoclonal (mouse origin)
Isotype Mouse IgG1, kappa
Clone Name 2F10
Purity Protein G affinity chromatography
UniProt P16070
Localization Cell surface, cytoplasmic
Applications Immunohistochemistry (FFPE) : 1-2ug/ml
Limitations This CD44v6 Antibody for IHC Tumor Invasion / Metastasis Marker Antibody is available for research use only.
Review this product on BioCompare and get a $20 Amazon gift card

Related Products

Description

CD44 antigen (CD44) is a transmembrane cell surface glycoprotein of the CD44 family that functions as a receptor for hyaluronic acid and mediates cell adhesion, migration, and extracellular matrix interactions. It is localized primarily to the cell membrane of epithelial and hematopoietic cells, where it regulates cell-cell and cell-matrix communication. CD44v6 Antibody for IHC Tumor Invasion is designed to detect the variant 6-containing isoform of CD44 in formalin-fixed, paraffin-embedded tissues, enabling immunohistochemistry-based evaluation of invasive tumor behavior and metastatic potential in epithelial malignancies. CD44v6 is selectively enriched in carcinoma cells and is associated with aggressive tumor phenotypes and dynamic tumor-stroma interactions.

CD44 antibody, also referred to as CD44 antigen antibody, CD44 variant 6 antibody, CD44v6 IHC antibody, or Hermes antigen antibody, recognizes alternatively spliced isoforms that confer distinct functional properties. Among these, CD44v6 is one of the most well-established isoforms linked to tumor invasion and metastasis. Mouse monoclonal antibody clone 2F10 is designed to detect CD44v6 expression in tissue sections, supporting identification of tumor cell populations involved in invasion, migration, and disease progression. CD44v6 has been shown to participate in co-receptor signaling with growth factor pathways, including hepatocyte growth factor receptor and other receptor tyrosine kinases, promoting motility and invasive capacity in carcinoma cells.

Functionally, CD44v6 plays a central role in tumor progression by facilitating epithelial cell detachment, extracellular matrix degradation, and migration through surrounding tissue. Its expression is frequently associated with activation of signaling cascades that regulate cytoskeletal remodeling, cell polarity changes, and invasive growth patterns. In immunohistochemistry applications, CD44v6 staining is typically observed as strong membranous HRP-DAB signal in carcinoma cells, allowing visualization of tumor architecture and highlighting regions of active invasion. This CD44v6 Antibody for IHC Tumor Invasion is particularly suited for identifying invasive tumor fronts and assessing heterogeneity within malignant tissues.

CD44v6 expression has been reported across multiple carcinoma types, including squamous and glandular tumors such as cervical carcinoma and prostate carcinoma, reflecting its broad role in epithelial cancer progression. In these tissues, CD44v6 highlights malignant epithelial cells and can reveal differences in expression between tumor regions, supporting evaluation of tumor organization and progression-associated changes. Its presence in both squamous and non-squamous carcinomas provides a versatile marker for studying invasive behavior across diverse tumor contexts.

Structurally, CD44 is encoded on chromosome 11p13 and consists of an extracellular ligand-binding domain, a transmembrane segment, and a cytoplasmic tail that interacts with intracellular signaling and cytoskeletal proteins. The variant 6 region is generated through alternative splicing within the extracellular domain, producing isoforms with specialized roles in adhesion and signal transduction. CD44 isoforms are differentially regulated depending on tissue type and disease state, with CD44v6 commonly associated with malignant epithelial cells exhibiting invasive and metastatic characteristics. An antibody targeting CD44v6 is suitable for detecting variant-specific expression in carcinoma tissues and related research applications involving tumor invasion and metastatic progression.

This CD44v6 antibody is part of a broader CD44 antibody panel offered by NSJ Bioreagents.

Application Notes

Titering of the CD44v6 Antibody for IHC Tumor Invasion / Metastasis Marker Antibody may be required for optimal performance.

Immunogen

An amino acid sequence from the variant 6 domain of CD44 was used as the immunogen for the CD44v6 antibody.

Storage

Store the CD44v6 antibody at 2-8oC (with azide) or aliquot and store at -20oC or colder (without azide).

Alternate Names

CD44v6 antibody, CD44 variant 6 antibody, CD44 splice variant antibody, CD44 metastasis marker antibody, Hermes antigen variant antibody

Cross
Bulk Quote Request Form
Name*:
Organization*:
Email*:
Phone Number*:
Catalog No.*:
Comments and Specifics(amount, formulation, etc.)*:
Validation code: Captchapackage Image


Can't read the image? click here to refresh.
    *required field

Your bulk quote request has been submitted successfully!

Please contact us if you have any questions.