• Tel: 858.663.9055
  • SeparatorEmail: info@nsjbio.com
  • Tel: 858.663.9055
  • Email: info@nsjbio.com
Home >> Antibodies >> CD43 Antibody

CD43 Antibody [clone 4I3] (RQ5526)

  Catalog No Formulation Size Price (USD)  
Image RQ5526 0.5mg/ml if reconstituted with 0.2ml sterile DI water 100 ug 449
Bulk quote request
IHC staining of FFPE human tonsil with CD43 antibody. HIER: boil tissue sections in pH6, 10mM citrate buffer, for 20 min and allow to cool before testing.
IHC staining of FFPE human tonsil with CD43 antibody. HIER: boil tissue sections in pH6, 10mM citrate buffer, for 20 min and allow to cool before testing.
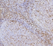
IHC staining of FFPE human lung cancer with CD43 antibody. HIER: boil tissue sections in pH6, 10mM citrate buffer, for 20 min and allow to cool before testing.
Western blot testing of human 1) K562 and 2) HL60 cell lysate with CD43 antibody. Expected molecular weight: 45-135 kDa depending on glycosylation level.
Flow cytometry testing of human PBMC with CD43 antibody at 1ug/million cells (blocked with goat sera); Red=cells alone, Green=isotype control, Blue= CD43 antibody.
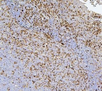
IHC staining of FFPE mouse spleen with CD43 antibody. HIER: boil tissue sections in pH6, 10mM citrate buffer, for 20 min and allow to cool before testing.
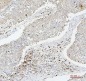
IHC staining of FFPE rat spleen with CD43 antibody. HIER: boil tissue sections in pH6, 10mM citrate buffer, for 20 min and allow to cool before testing.
Availability 1-3 business days
Species Reactivity Human, Mouse, Rat
Format Antigen affinity purified
Host Mouse
Clonality Monoclonal (mouse origin)
Isotype Mouse IgG2b
Clone Name 4I3
Purity Affinity purified
Buffer Lyophilized from 1X PBS with 2% Trehalose and 0.025% sodium azide
UniProt P16150
Applications Western Blot : 0.5-1ug/ml
Immunohistochemistry (FFPE) : 1-2ug/ml
Flow Cytometry : 1-3ug/million cells
Limitations This CD43 antibody is available for research use only.
Review this product on BioCompare and get a $20 Amazon gift card

Related Products

Description

CD43, also known as leukosialin or sialophorin, is a transmembrane cell surface protein that in humans is encoded by the SPN gene. It is mapped to 16p11.2. It is a major sialoglycoprotein on the surface of human T lymphocytes, monocytes, granulocytes, and some B lymphocytes, which is important for immune function and may be part of a physiologic ligand-receptor complex involved in T-cell activation. Expression of CD43 is deficient and/or defective in the X-chromosome-linked immunodeficiency disorder Wiscott-Aldrich syndrome, suggesting that CD43 have a role in T-cell activation. T-cell activation requires the removal of CD43 from the immunologic synapse to allow efficient engagement of the TCR with molecules on the APC.

Application Notes

Optimal dilution of the CD43 antibody should be determined by the researcher.

Immunogen

A human recombinant protein (amino acids A272-P400) was used as the immunogen for the CD43 antibody.

Storage

After reconstitution, the CD43 antibody can be stored for up to one month at 4oC. For long-term, aliquot and store at -20oC. Avoid repeated freezing and thawing.

Cross
Bulk Quote Request Form
Name*:
Organization*:
Email*:
Phone Number*:
Catalog No.*:
Comments and Specifics(amount, formulation, etc.)*:
Validation code: Captchapackage Image


Can't read the image? click here to refresh.
    *required field

Your bulk quote request has been submitted successfully!

Please contact us if you have any questions.