• Tel: 858.663.9055
  • SeparatorEmail: info@nsjbio.com
  • Tel: 858.663.9055
  • Email: info@nsjbio.com
Home >> Antibodies >> CD40 Antibody for IHC

CD40 Antibody for IHC [clone CDLA40-1] (V3895)

  Catalog No Formulation Size Price (USD)  
Image V3895-100UG 0.2 mg/ml in 1X PBS with 0.1 mg/ml BSA (US sourced) and 0.05% sodium azide 100 ug 559
Image
V3895-20UG 0.2 mg/ml in 1X PBS with 0.1 mg/ml BSA (US sourced) and 0.05% sodium azide 20 ug 259
Image
V3895SAF-100UG 1 mg/ml in 1X PBS; BSA free, sodium azide free 100 ug 559
Bulk quote request
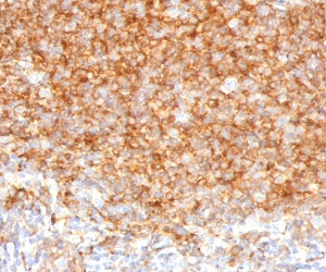
Immunohistochemistry of CD40 antibody in human tonsil tissue. FFPE human tonsil shows strong membranous and cytoplasmic HRP-DAB brown staining in lymphoid cells within germinal centers and interfollicular regions, consistent with CD40 expression in B lymphocytes and antigen-presenting cells. This CD40 Antibody for IHC, clone CDLA40-1, was used following heat-induced epitope retrieval by boiling tissue sections in 10 mM citrate buffer, pH 6, for 10-20 minutes prior to staining.
Flow cytometry testing of human U-2 OS cells with CD40 antibody (clone CDLA40-1); Red=isotype control, Blue= CD40 antibody.
Availability 1-3 business days
Species Reactivity Human
Format Purified
Host Mouse
Clonality Monoclonal (mouse origin)
Isotype Mouse IgG2b, kappa
Clone Name CDLA40-1
Purity Protein G affinity chromatography
UniProt P25942
Localization Cell surface, cytoplasmic
Applications Flow Cytometry : 1-2ug/10^6 cells
Immunohistochemistry (FFPE) : 1-2ug/ml for 30 min at RT
Limitations This CD40 antibody is available for research use only.
Review this product on BioCompare and get a $20 Amazon gift card

Related Products

  • Applications : WB, IHC-P
    Reactivity : Human
    Recrabbitmono
  • Applications : IHC-P
    Reactivity : Human
    Recrabbitmono
  • Applications : IHC, WB
    Reactivity : Human
    Recmousemono
  • Applications : ELISA, FACS, IHC-P, WB
    Reactivity : Human
    Microvalidated
  • Applications : WB, ELISA
    Reactivity : Human
    Pred. Reactivity : Mouse, Pig
  • Applications : IF, FACS, IHC-P,
    Reactivity : Human
  • Applications : IF, FACS
    Reactivity : Human
  • Applications : FACS, IF
    Reactivity : Mouse
  • Applications : ELISA, IHC-P
    Reactivity : Human
  • Applications : WB
    Reactivity : Mouse
  • Applications : WB
    Reactivity : Human
  • Applications : WB, ELISA
    Reactivity : Human
    Pred. Reactivity : Mouse, Pig
  • Applications : WB, IHC-P, FACS, ELISA (protein)
    Reactivity : Human
  • Applications : WB, IHC-P, FACS, ELISA (protein)
    Reactivity : Human, Mouse
  • Applications : WB, ELISA
    Reactivity : Mouse, Rat

Description

CD40 antibody recognizes CD40 molecule, also known as Tumor necrosis factor receptor superfamily member 5 antibody and TNFRSF5 antibody, a type I transmembrane receptor belonging to the tumor necrosis factor receptor superfamily. CD40 is a cell surface glycoprotein primarily expressed on B lymphocytes, dendritic cells, macrophages, and other antigen-presenting cells, where it plays a central role in immune activation and regulation. CD40 Antibody for IHC enables visualization of CD40 expression patterns within formalin-fixed, paraffin-embedded tissue sections.

CD40 is essential for T cell-dependent humoral immune responses. Interaction of CD40 with its ligand CD154, also referred to as CD40 ligand or CD40L, expressed on activated CD4-positive T cells, triggers receptor clustering and recruitment of TNF receptor-associated factors. This activates downstream signaling pathways including NF-kappaB, MAPK, and PI3K, leading to B cell proliferation, immunoglobulin class switching, germinal center formation, and memory B cell development. In dendritic cells and macrophages, CD40 signaling enhances antigen presentation and cytokine production, strengthening T cell priming and adaptive immunity.

In lymphoid tissues such as tonsil, lymph node, and spleen, CD40 expression is typically observed with membranous and cytoplasmic localization in follicular B cells and antigen-presenting cells within germinal centers and interfollicular regions. CD40 can also be detected in certain epithelial and endothelial cells under inflammatory conditions. These staining characteristics make CD40 antibody valuable for evaluation of reactive lymphoid architecture and B cell-derived malignancies, including diffuse large B cell lymphoma and follicular lymphoma.

The CD40 protein contains extracellular cysteine-rich domains responsible for ligand binding and a cytoplasmic tail that interacts with adaptor proteins rather than possessing intrinsic enzymatic activity. The CD40 gene is located on chromosome 20q13.12, and its expression is regulated during B cell maturation and immune activation. Dysregulated CD40 signaling has been implicated in autoimmune disease, chronic inflammation, and tumor-immune interactions within the microenvironment.

Clone CDLA40-1 is a mouse monoclonal antibody that targets CD40 and is suitable for detecting CD40 expression in tissue-based research applications. By enabling clear identification of CD40-positive immune cell populations, CD40 Antibody for IHC supports studies of lymphoid organization, immune activation, and tumor immunology in paraffin-embedded specimens.

Application Notes

The stated application concentrations are suggested starting points. Titration of the CD40 antibody may be required due to differences in protocols and secondary/substrate sensitivity.

Immunogen

A portion of amino acids 29-107 from the human protein was used as the immunogen for the CD40 antibody.

Storage

Store the CD40 antibody at 2-8oC (with azide) or aliquot and store at -20oC or colder (without azide).

Cross
Bulk Quote Request Form
Name*:
Organization*:
Email*:
Phone Number*:
Catalog No.*:
Comments and Specifics(amount, formulation, etc.)*:
Validation code: Captchapackage Image


Can't read the image? click here to refresh.
    *required field

Your bulk quote request has been submitted successfully!

Please contact us if you have any questions.