• Tel: 858.663.9055
  • SeparatorEmail: info@nsjbio.com
  • Tel: 858.663.9055
  • Email: info@nsjbio.com
Home >> Antibodies >> CD40 Antibody Mouse Monoclonal

CD40 Antibody Mouse Monoclonal [clone CD40/4940] (V4832)

  Catalog No Formulation Size Price (USD)  
Image V4832-100UG 0.2 mg/ml in 1X PBS with 0.1 mg/ml BSA (US sourced), 0.05% sodium azide 100 ug 559
Image
V4832-20UG 0.2 mg/ml in 1X PBS with 0.1 mg/ml BSA (US sourced), 0.05% sodium azide 20 ug 259
Image
V4832SAF-100UG 1 mg/ml in 1X PBS; BSA free, sodium azide free 100 ug 559
Bulk quote request
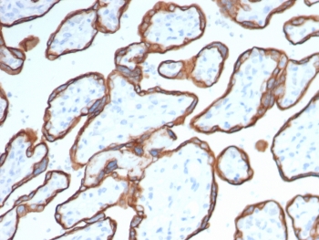
IHC analysis of CD40 Antibody in FFPE human placental tissue. The mouse monoclonal antibody (clone CD40/4940) demonstrates membranous HRP-DAB brown staining along trophoblastic cells lining chorionic villi, consistent with TNFRSF5 / CD40 expression, while stromal cores show minimal staining. Heat-induced epitope retrieval was performed in 10mM Tris with 1mM EDTA, pH 9.0, at 95oC for 20 minutes followed by cooling before testing.
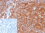
IHC staining of FFPE human tonsil tissue with CD40 antibody (clone CD40/4940). Inset: PBS used in place of primary Ab (secondary Ab negative control). HIER: boil tissue sections in pH 9 10mM Tris with 1mM EDTA for 20 min and allow to cool before testing.
SDS-PAGE analysis of purified, BSA-free CD40 antibody (clone CD40/4940) as confirmation of integrity and purity.
Availability 1-3 business days
Species Reactivity Human
Format Purified
Host Mouse
Clonality Monoclonal (mouse origin)
Isotype Mouse IgG1, kappa
Clone Name CD40/4940
Purity Protein A/G affinity
UniProt P25942
Localization Cell Surface, Secreted
Applications ELISA (Order BSA-free Format For Coating) :
Immunohistochemistry (FFPE) : 1-2ug/ml for 30 min at RT
Limitations This CD40 antibody is available for research use only.
Review this product on BioCompare and get a $20 Amazon gift card

Related Products

  • Applications : WB, IHC-P
    Reactivity : Human
    Recrabbitmono
  • Applications : IHC-P
    Reactivity : Human
    Recrabbitmono
  • Applications : IHC, WB
    Reactivity : Human
    Recmousemono
  • Applications : ELISA, FACS, IHC-P, WB
    Reactivity : Human
    Microvalidated
  • Applications : WB, ELISA
    Reactivity : Human
    Pred. Reactivity : Mouse, Pig
  • Applications : IF, FACS, IHC-P,
    Reactivity : Human
  • Applications : IF, FACS
    Reactivity : Human
  • Applications : IHC-P, FACS
    Reactivity : Human
  • Applications : FACS, IF
    Reactivity : Mouse
  • Applications : WB
    Reactivity : Mouse
  • Applications : WB
    Reactivity : Human
  • Applications : WB, ELISA
    Reactivity : Human
    Pred. Reactivity : Mouse, Pig
  • Applications : WB, IHC-P, FACS, ELISA (protein)
    Reactivity : Human
  • Applications : WB, IHC-P, FACS, ELISA (protein)
    Reactivity : Human, Mouse
  • Applications : WB, ELISA
    Reactivity : Mouse, Rat

Description

CD40 antibody, also known as Tumor necrosis factor receptor superfamily member 5 antibody, recognizes a type I membrane receptor commonly referred to as Bp50 and CDw40. In B cells and professional antigen-presenting cells, CD40 is localized to the plasma membrane where it functions as a key costimulatory receptor that integrates immune activation signals. For SEO consistency, the exact phrase CD40 Antibody Mouse Monoclonal is included here, while the biological context below describes the native CD40 molecule rather than assay-specific performance claims.

CD40 is encoded by the CD40 gene in humans on chromosome 20 and belongs to the tumor necrosis factor receptor superfamily. The extracellular region contains multiple cysteine-rich domains that support ligand binding, followed by a single-pass transmembrane helix and a cytoplasmic tail that recruits adaptor proteins. Engagement by its canonical ligand CD40L (CD154) promotes receptor clustering and triggers TRAF-dependent signaling, leading to activation of NF-kappaB, MAPK, and related transcriptional programs. These pathways drive antigen-presenting cell maturation, upregulation of costimulatory molecules, and cytokine production, while in B lymphocytes they support survival, germinal center responses, and immunoglobulin class switching. In addition to lymphoid tissues, CD40 expression is often detected on dendritic cells, macrophages, and subsets of epithelial or endothelial cells in inflammatory settings, reflecting its broader role in immune-stromal communication.

CD40 biology is tightly linked to disease mechanisms. Disruption of the CD40-CD40L axis is associated with immunodeficiency phenotypes involving impaired T cell help and defective antibody class switching, and dysregulated signaling can contribute to chronic inflammation and autoimmunity. In oncology, CD40 is frequently discussed in the context of B-cell malignancies and the tumor microenvironment, where CD40 pathway activity can influence antigen presentation, immune infiltration, and sensitivity to immunomodulatory therapies. Alternative splicing and receptor processing have been reported for several TNF receptor family members, and CD40 signaling output can vary by cell type depending on adaptor availability and activation state. Clone CD40/4940 is designed to target CD40 for research applications where detection of CD40 expression and localization is needed in relevant experimental models.

Application Notes

Optimal dilution of the CD40 antibody should be determined by the researcher.

Immunogen

A recombinant fragment of human CD40 protein (around aa 1-200) was used as the immunogen for the CD40 antibody.

Storage

Aliquot the CD40 antibody and store frozen at -20oC or colder. Avoid repeated freeze-thaw cycles.

Cross
Bulk Quote Request Form
Name*:
Organization*:
Email*:
Phone Number*:
Catalog No.*:
Comments and Specifics(amount, formulation, etc.)*:
Validation code: Captchapackage Image


Can't read the image? click here to refresh.
    *required field

Your bulk quote request has been submitted successfully!

Please contact us if you have any questions.