• Tel: 858.663.9055
  • SeparatorEmail: info@nsjbio.com
  • Tel: 858.663.9055
  • Email: info@nsjbio.com
Home >> Antibodies >> CD4 Antibody / Adaptive Immunity Marker Antibody

CD4 Antibody / Adaptive Immunity Marker Antibody [clone CD4/7144] (V9754)

  Catalog No Formulation Size Price (USD)  
Image V9754-100UG 0.2 mg/ml in 1X PBS with 0.1 mg/ml BSA (US sourced), 0.05% sodium azide 100 ug 559
Image
V9754-20UG 0.2 mg/ml in 1X PBS with 0.1 mg/ml BSA (US sourced), 0.05% sodium azide 20 ug 259
Image
V9754SAF-100UG 1 mg/ml in 1X PBS; BSA free, sodium azide free 100 ug 559
Bulk quote request
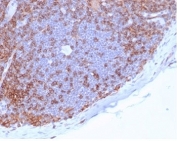
CD4 Antibody for IHC. Analysis of CD4 antibody staining in FFPE human lymph node tissue shows strong membranous labeling of CD4-positive T helper lymphocytes predominantly within paracortical regions, with relative sparing of B cell follicles, highlighting adaptive immune cell distribution within lymphoid tissue. This Adaptive Immunity Marker Antibody (clone CD4/7144) demonstrates selective detection of T helper cell populations involved in coordinating adaptive immune responses. Heat-induced epitope retrieval was performed by boiling tissue sections in pH 9 10 mM Tris with 1 mM EDTA for 20 minutes followed by cooling before testing.
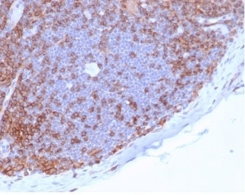
CD4 Antibody for IHC. Analysis of CD4 antibody staining in FFPE human tonsil tissue shows strong membranous labeling of CD4-positive T helper lymphocytes within interfollicular regions and surrounding lymphoid follicles, highlighting adaptive immune cell distribution within lymphoid tissue. This Adaptive Immunity Marker Antibody (clone CD4/7144) demonstrates selective detection of T helper cell populations involved in coordinating adaptive immune responses. Inset: PBS was used in place of the primary antibody as a negative control to assess secondary antibody binding. Heat-induced epitope retrieval was performed by boiling tissue sections in pH 9 10 mM Tris with 1 mM EDTA for 20 minutes followed by cooling before testing.
SDS-PAGE analysis of purified, BSA-free CD4 antibody (clone CD4/7144) as confirmation of integrity and purity.
Availability 1-3 business days
Species Reactivity Human
Format Purified
Host Mouse
Clonality Monoclonal (mouse origin)
Isotype Mouse IgG2b, kappa
Clone Name CD4/7144
Purity Protein A/G affinity
UniProt P01730
Localization Cell surface
Applications Immunohistochemistry (FFPE) : 1-2ug/ml
Limitations This CD4 Antibody / Adaptive Immunity Marker Antibody is available for research use only.
Review this product on BioCompare and get a $20 Amazon gift card

Related Products

  • Applications : IHC-P, WB
    Reactivity : Human
    Recrabbitmono
    Microvalidated
  • Applications : FACS, IF
    Reactivity : Human
    Recmousemono
  • Applications : IHC-P, WB
    Reactivity : Human
    Recmousemono
  • Applications : ELISA
    Reactivity : Human
    Microvalidated
  • Applications : ELISA
    Reactivity : Human
    Microvalidated
  • Applications : IHC-F, FACS
    Reactivity : Human
  • Applications : WB, ELISA
    Reactivity : Human
  • Applications : ELISA, FACS
    Reactivity : Human
  • Applications : Functional studies, FACS, IF
    Reactivity : Human
    Citation  Citations(13)
  • Applications : WB
    Reactivity : Human
    Pred. Reactivity : Rat
    Rab Mono Image
  • Applications : Functional Studies, FACS, IF
    Reactivity : Human
  • Applications : ELISA, Neutralization, FACS, IF
    Reactivity : Mouse
  • Applications : ELISA, FACS
    Reactivity : Human
  • Applications : IHC-P
    Reactivity : Human
  • Applications : WB, FACS, ELISA
    Reactivity : Human
  • Applications : WB, ELISA (peptide)
    Reactivity : Human
  • Applications : WB, IHC-P, FACS, Direct ELISA
    Reactivity : Mouse, Rat

Description

CD4 molecule (CD4) is a cell surface glycoprotein expressed on T helper lymphocytes, where it serves as a defining marker of adaptive immune function and plays a central role in coordinating immune responses. CD4 Antibody / Adaptive Immunity Marker Antibody is used to detect CD4-positive cells and supports analysis of adaptive immune processes mediated by T helper lymphocytes.

CD4 antibody, also known as T helper cell marker antibody or CD4 surface receptor antibody, identifies a major population of lymphocytes responsible for orchestrating immune responses. CD4-positive T cells regulate activation of B cells, cytotoxic T cells, and innate immune populations through cytokine production and cell-cell interactions. Detection of CD4 expression therefore provides a direct measure of adaptive immune system activity.

CD4 Antibody supports investigation of adaptive immune responses by enabling identification of CD4-positive lymphocytes involved in immune coordination, memory formation, and long-term immune protection. These cells play a critical role in establishing immunological memory and sustaining protective immunity following antigen exposure. Analysis of CD4-positive populations is therefore fundamental to studies of vaccine responses, infection, and immune system function.

CD4-positive T cells differentiate into multiple functional subsets that contribute to distinct aspects of adaptive immunity, including helper functions and regulatory roles. This functional diversity allows CD4-expressing cells to respond to a wide range of immunological challenges. CD4 Antibody targeting this receptor enables detailed analysis of adaptive immune cell populations and supports research into immune system development and disease.

CD4 is localized to the plasma membrane and serves as a hallmark marker of T helper lymphocytes within the adaptive immune system. A CD4 antibody can be used in research applications to support detection of CD4-expressing immune cells, enabling investigation of adaptive immunity, immune coordination, and long-term immune responses.

A full range of CD4 antibody reagents for immunohistochemistry, western blot, and flow cytometry is available on our CD4 Antibody collection page.

Application Notes

Optimal dilution of the CD4 Antibody / Adaptive Immunity Marker Antibody should be determined by the researcher.

Immunogen

A portion of amino acids 200-400 was used as the immunogen for the CD4 antibody.

Storage

Aliquot the CD4 antibody and store frozen at -20oC or colder. Avoid repeated freeze-thaw cycles.

Alternate Names

CD4 adaptive immunity antibody, CD4 lymphocyte marker antibody, CD4 immune system antibody, CD4 helper T cell antibody

Cross
Bulk Quote Request Form
Name*:
Organization*:
Email*:
Phone Number*:
Catalog No.*:
Comments and Specifics(amount, formulation, etc.)*:
Validation code: Captchapackage Image


Can't read the image? click here to refresh.
    *required field

Your bulk quote request has been submitted successfully!

Please contact us if you have any questions.