• Tel: 858.663.9055
  • SeparatorEmail: info@nsjbio.com
  • Tel: 858.663.9055
  • Email: info@nsjbio.com
Home >> Antibodies >> CD3D Antibody / CD3 delta subunit

CD3D Antibody / CD3 delta subunit [clone CD3D/13089R] (V6031)

  Catalog No Formulation Size Price (USD)  
Image V6031-100UG 0.2 mg/ml in 1X PBS with 0.05% BSA, 0.05% sodium azide 100 ug 559
Image
V6031-20UG 0.2 mg/ml in 1X PBS with 0.05% BSA, 0.05% sodium azide 20 ug 259
Image
V6031SAF-100UG 1 mg/ml in 1X PBS; BSA free, sodium azide free 100 ug 559
Microvalidated Recrabbitmono
Bulk quote request
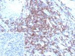
Immunohistochemistry analysis of CD3D/CD3 delta subunit antibody (clone CD3D/13089R) in human tonsil tissue. Formalin-fixed, paraffin-embedded tonsil demonstrates strong membranous HRP-DAB brown staining in interfollicular T lymphocytes, consistent with CD3 complex expression in mature T cells. Germinal center B cell areas show minimal staining, highlighting the expected T cell-restricted distribution pattern. Hematoxylin counterstain delineates nuclear morphology and tonsillar architecture. The inset shows PBS used in place of primary antibody as a negative control, confirming absence of non-specific secondary antibody binding. Heat-induced epitope retrieval was performed by heating tissue sections in 10 mM Tris with 1 mM EDTA, pH 9.0, for 45 minutes at 95oC followed by cooling at room temperature for 20 minutes prior to staining.
Western blot analysis of CD3D/CD3 delta subunit antibody (clone CD3D/13089R) in human Jurkat cell lysate. A distinct band is observed at approximately 20-25 kDa, consistent with the predicted molecular weight of the CD3 delta subunit. The detected signal corresponds to endogenous CD3 delta expressed in T lymphoblastic Jurkat cells. Molecular weight markers are indicated in kDa on the left.
Western blot analysis of CD3D/CD3 delta subunit antibody (clone CD3D/13089R) in human Jurkat and MOLT-4 cell lysates. A single band is observed at approximately 20-25 kDa in both lanes, consistent with the predicted molecular weight of the CD3 delta subunit. Comparable band intensity in Jurkat and MOLT-4 cells reflects endogenous expression of CD3 delta in T lymphoblastic cell lines. Molecular weight markers are indicated in kDa on the left.
Species Reactivity Human
Format Purified
Host Rabbit
Clonality Recombinant Rabbit Monoclonal
Isotype Rabbit IgG, kappa
Clone Name CD3D/13089R
UniProt P04234
Localization Cell membrane
Applications Immunohistochemistry (FFPE) : 1-2ug/ml
Western Blot : 2-4ug/ml
Limitations This CD3D/CD3 delta subunit antibody is available for research use only.
Review this product on BioCompare and get a $20 Amazon gift card

Related Products

Description

CD3D antibody recognizes CD3 delta subunit, a type I transmembrane protein encoded by the CD3D gene and commonly referred to as CD3 delta chain. CD3 delta is an essential component of the T cell receptor CD3 complex, which mediates antigen recognition and intracellular signaling in T lymphocytes. As part of the multi-subunit TCR-CD3 complex, CD3 delta contributes to assembly, surface expression, and signal transduction required for adaptive immune responses. CD3D antibody supports research focused on T cell biology, immune signaling, and lymphoid tissue organization.

CD3 delta associates with CD3 gamma, CD3 epsilon, and CD3 zeta chains to form the invariant signaling module of the TCR complex. Upon antigen engagement by the T cell receptor, immunoreceptor tyrosine-based activation motifs within the cytoplasmic domains of CD3 subunits become phosphorylated, initiating downstream signaling cascades that regulate T cell activation, proliferation, and cytokine production. CD3 delta is localized predominantly at the plasma membrane in mature T cells, where it stabilizes receptor expression and contributes to immune synapse formation.

In normal human tissues, CD3 delta expression is restricted to T lymphocytes within thymus, lymph node, spleen, tonsil, and peripheral blood. Within lymphoid organs, CD3 staining highlights paracortical and interfollicular T cell zones, while B cell follicles and non-lymphoid cells remain largely negative. This lineage-specific distribution makes CD3D antibody a valuable marker for identifying T cell populations in research applications. Alterations in CD3 complex expression are relevant in studies of T cell immunodeficiency and T cell malignancies, where receptor composition and signaling capacity may be affected.

Clone CD3D/13089R is a recombinant rabbit monoclonal antibody generated by defined sequence expression to support lot-to-lot consistency and reproducible performance. CD3D antibody can be used to investigate T cell receptor signaling pathways, lymphoid tissue architecture, and adaptive immune mechanisms in experimental systems. Its defined specificity and membrane-associated staining profile make it suitable for studying T cell distribution and immune system function in normal and disease-associated tissues.

Application Notes

Optimal dilution of the CD3D/CD3 delta subunit antibody should be determined by the researcher.

Immunogen

A recombinant fragment corresponding to the C-terminus of human CD3D (exact sequence is proprietary) was used as the immuongen for the CD3D/CD3 delta subunit antibody.

Storage

CD3D/CD3 delta subunit antibody with sodium azide - store at 2 to 8oC; antibody without sodium azide - store at -20 to -80oC.

Cross
Bulk Quote Request Form
Name*:
Organization*:
Email*:
Phone Number*:
Catalog No.*:
Comments and Specifics(amount, formulation, etc.)*:
Validation code: Captchapackage Image


Can't read the image? click here to refresh.
    *required field

Your bulk quote request has been submitted successfully!

Please contact us if you have any questions.