• Tel: 858.663.9055
  • SeparatorEmail: info@nsjbio.com
  • Tel: 858.663.9055
  • Email: info@nsjbio.com
Home >> Antibodies >> Cd39 Antibody / Entpd1

Cd39 Antibody / Entpd1 (RQ7811)

  Catalog No Formulation Size Price (USD)  
Image RQ7811 0.5mg/ml if reconstituted with 0.2ml sterile DI water 100 ug 449
Bulk quote request
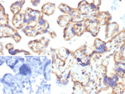
IHC staining of FFPE rat spleen tissue with Cd39 antibody. HIER: boil tissue sections in pH8 EDTA for 20 min and allow to cool before testing.
Western blot testing of 1) rat spleen, 2) mouse spleen, 3) rat C6, 4) rat brain, 5) mouse brain and 6) mouse NIH 3T3 cell lysate with Cd39 antibody. Expected molecular weight: 34-100 kDa depending on isoform and level of glycosylation.
Flow cytometry testing of mouse ANA-1 cells with Cd39 antibody at 1ug/million cells (blocked with goat sera); Red=cells alone, Green=isotype control, Blue= Cd39 antibody.
Availability 1-3 business days
Species Reactivity Mouse, Rat
Format Antigen affinity purified
Host Rabbit
Clonality Polyclonal (rabbit origin)
Isotype Rabbit IgG
Purity Antigen affinity purified
Buffer Lyophilized from 1X PBS with 2% Trehalose
UniProt P55772
Applications Western Blot : 0.5-1ug/ml
Immunohistochemistry (FFPE) : 2-5ug/ml
Flow Cytometry : 1-3ug/million cells
Direct ELISA : 0.1-0.5ug/ml
Limitations This Cd39 antibody is available for research use only.
Review this product on BioCompare and get a $20 Amazon gift card

Related Products

Description

Ectonucleoside triphosphate diphosphohydrolase-1 (gene: ENTPD1; protein: NTPDase1) also known as CD39 (Cluster of Differentiation 39), is a typical cell surface enzyme with a catalytic site on the extracellular face. Enables adenosine-diphosphatase activity and nucleoside-triphosphatase activity. Involved in ADP catabolic process. Acts upstream of or within G protein-coupled receptor signaling pathway; platelet activation; and purine ribonucleoside diphosphate catabolic process. Located in basement membrane. Is active in external side of plasma membrane. Is expressed in several structures, including alimentary system; genitourinary system; heart; nervous system; and respiratory system. Human ortholog(s) of this gene implicated in hereditary spastic paraplegia 64. Orthologous to human ENTPD1 (ectonucleoside triphosphate diphosphohydrolase 1).

Application Notes

Optimal dilution of the Cd39 antibody should be determined by the researcher.

Immunogen

E. coli-derived recombinant human protein (amino acids Q39-S475) was used as the immunogen for the Cd39 antibody.

Storage

After reconstitution, the Cd39 antibody can be stored for up to one month at 4oC. For long-term, aliquot and store at -20oC. Avoid repeated freezing and thawing.

Cross
Bulk Quote Request Form
Name*:
Organization*:
Email*:
Phone Number*:
Catalog No.*:
Comments and Specifics(amount, formulation, etc.)*:
Validation code: Captchapackage Image


Can't read the image? click here to refresh.
    *required field

Your bulk quote request has been submitted successfully!

Please contact us if you have any questions.