- Tel: 858.663.9055
- 
									 Email: info@nsjbio.com Email: info@nsjbio.com
- Tel: 858.663.9055
- Email: info@nsjbio.com
 Email: info@nsjbio.com
Email: info@nsjbio.com
								Related Products
| 
 | 
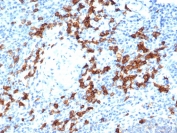
CD38 is a type II transmembrane glycoprotein that is present on early B- and T-cell lineages and activated B- and T-cells but is absent from most mature resting peripheral lymphocytes. CD38 is found on thymocytes, pre-B cells, germinal center B-cells, mitogen-activated T-cells, monocytes and Ig-secreting plasma cells. CD38 is expressed on CD34+ cells. The CD34+CD38- population of hematopoietic stems cells define the most pluripotent cells (e.g.blast colony forming cells).
Optimal dilution of the CD38 antibody should be determined by the researcher.
A portion of amino acids 200-300 of human CD38 protein was used as the immunogen for the CD38 antibody.
Aliquot the CD38 antibody and store frozen at -20oC or colder. Avoid repeated freeze-thaw cycles.
 
Your bulk quote request has been submitted successfully!
Please contact us if you have any questions.