• Tel: 858.663.9055
  • SeparatorEmail: info@nsjbio.com
  • Tel: 858.663.9055
  • Email: info@nsjbio.com
Home >> Antibodies >> CD38 Antibody for WB / CD38 Western Blot Antibody

CD38 Antibody for WB / CD38 Western Blot Antibody [clone CD38/8075R] (V5039)

  Catalog No Formulation Size Price (USD)  
Image V5039-100UG 0.2 mg/ml in 1X PBS with 0.1 mg/ml BSA (US sourced), 0.05% sodium azide 100 ug 559
Image
V5039-20UG 0.2 mg/ml in 1X PBS with 0.1 mg/ml BSA (US sourced), 0.05% sodium azide 20 ug 259
Image
V5039SAF-100UG 1 mg/ml in 1X PBS; BSA free, sodium azide free 100 ug 559
Microvalidated Recrabbitmono
Bulk quote request
CD38 Antibody for WB human Raji lysate. Western blot analysis of CD38 / plasma cell marker expression in human Raji cell lysate using CD38 Antibody for WB clone CD38/8075R. Lane 1: human Raji cell lysate. A band is detected at approximately 40-45 kDa, consistent with the predicted molecular weight of CD38, with higher apparent molecular weight reflecting glycosylation of this cell surface protein.
SDS-PAGE analysis of purified, BSA-free CD38 Antibody for WB / CD38 Western Blot Antibody (clone CD38/8075R) as confirmation of integrity and purity.
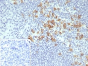
IHC staining of FFPE human tonsil tissue with CD38 antibody (clone CD38/8075R). Inset: PBS used in place of primary Ab (secondary Ab negative control). HIER: boil tissue sections in pH 9 10mM Tris with 1mM EDTA for 20 min and allow to cool before testing.
Availability 1-3 business days
Species Reactivity Human
Format Purified
Host Rabbit
Clonality Recombinant Rabbit Monoclonal
Isotype Rabbit IgG, kappa
Clone Name CD38/8075R
Purity Protein A/G affinity
UniProt P28907
Localization Cell Surface, Cytoplasm
Applications Immunohistochemistry (FFPE) : 1-2ug/ml for 30 min at RT
Western Blot : 2-4ug/ml
Limitations This CD38 Antibody for WB / CD38 Western Blot Antibody is available for research use only.
Review this product on BioCompare and get a $20 Amazon gift card

Related Products

Description

CD38 (CD38) is a glycosylated type II transmembrane protein that functions as an ectoenzyme regulating NAD metabolism and calcium signaling, and is broadly expressed on plasma cells, activated lymphocytes, and B cell-derived populations. As a member of the ADP-ribosyl cyclase family, CD38 plays a central role in immune regulation, contributing to processes such as cell activation, differentiation, and intercellular signaling. Its biochemical properties, including extensive glycosylation of the extracellular domain, influence its electrophoretic behavior and make it a well-characterized target for western blot analysis.

CD38 Antibody for WB / CD38 Western Blot Antibody (clone CD38/8075) is designed for detection of CD38 in denatured protein samples, enabling reliable identification of CD38 expression in cell lysates derived from immune cell populations. CD38 antibody, also referred to as cyclic ADP-ribose hydrolase antibody or ADPRC1 antibody, is widely used to confirm protein expression and evaluate relative abundance in studies of immune cell biology and disease-associated signaling pathways.

In western blot applications using Raji cell lysates, CD38 is detected as a band within the expected molecular weight range, typically migrating between approximately 40–45 kDa depending on glycosylation level. This migration pattern reflects post-translational modification of CD38, particularly N-linked glycosylation, which contributes to an increased apparent molecular weight relative to the core protein. The observed band is consistent with established characteristics of CD38 and supports accurate interpretation of protein expression in SDS-PAGE analysis.

Raji cells, derived from human B cell lymphoma, represent a well-established model for studying CD38 expression in B lineage cells. Detection of CD38 in this system supports investigation of B cell differentiation, activation status, and lymphoma-associated expression patterns. As CD38 is prominently expressed in plasma cells and activated B cells, its detection in Raji lysates provides relevant context for studies of B cell biology and hematologic malignancy.

The recombinant rabbit monoclonal format of clone CD38/8075 provides high specificity and consistent performance, enabling reproducible detection of CD38 with low background signal. This ensures clear band resolution and reliable interpretation across experiments, particularly when comparing expression levels between samples or conditions. The monoclonal nature of the antibody supports consistent epitope recognition, contributing to stable and repeatable results.

Western blot analysis of CD38 is widely used to confirm protein expression, assess relative abundance, and evaluate changes associated with immune activation and disease progression. Detection of glycosylated CD38 species provides additional biological insight, allowing researchers to interpret band patterns in the context of post-translational modification and protein maturation.

CD38 Western Blot Antibody clone CD38/8075 is therefore well suited for detection of CD38 in B cell-derived systems, supporting protein expression analysis in studies of immune function, lymphoma biology, and related research applications where accurate and consistent detection is essential.

This antibody is part of our CD38 antibody collection, which includes application-specific formats for immunohistochemistry, flow cytometry, western blot, and immunofluorescence research.

Application Notes

Optimal dilution of the CD38 Antibody for WB / CD38 Western Blot Antibody should be determined by the researcher.

Immunogen

A recombinant partial protein sequence (within amino acids 200-300) from the human protein was used as the immunogen for the CD38 antibody.

Storage

Aliquot the CD38 antibody and store frozen at -20oC or colder. Avoid repeated freeze-thaw cycles.

Alternate Names

CD38 western blot antibody, CD38 WB antibody, CD38 B cell marker antibody, CD38 plasma cell marker antibody, CD38 membrane protein antibody

Cross
Bulk Quote Request Form
Name*:
Organization*:
Email*:
Phone Number*:
Catalog No.*:
Comments and Specifics(amount, formulation, etc.)*:
Validation code: Captchapackage Image


Can't read the image? click here to refresh.
    *required field

Your bulk quote request has been submitted successfully!

Please contact us if you have any questions.