• Tel: 858.663.9055
  • SeparatorEmail: info@nsjbio.com
  • Tel: 858.663.9055
  • Email: info@nsjbio.com
Home >> Antibodies >> CD31 Antibody

CD31 Antibody (R31053)

  Catalog No Formulation Size Price (USD)  
Image R31053 0.5mg/ml if reconstituted with 0.2ml sterile DI water 100 ug 449
Bulk quote request
Immunofluorescent staining of FFPE human placental tissue with CD31 antibody (red) and DAPI nuclear stain (blue). HIER: steam section in pH8 EDTA buffer for 20 min.
Immunofluorescent staining of FFPE human liver cancer tissue with CD31 antibody (red) and DAPI nuclear stain (blue). HIER: steam section in pH8 EDTA buffer for 20 min.
IHC staining of FFPE human placental tissue with CD31 antibody. HIER: boil tissue sections in pH8 EDTA for 20 min and allow to cool before testing.
IHC staining of FFPE human liver cancer tissue with CD31 antibody. HIER: boil tissue sections in pH8 EDTA for 20 min and allow to cool before testing.
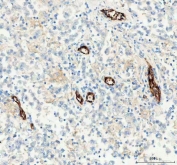
IHC staining of FFPE human glioblastoma tissue with CD31 antibody. HIER: boil tissue sections in pH8 EDTA for 20 min and allow to cool before testing.
IHC staining of FFPE human colorectal adenocarcinoma tissue with CD31 antibody. HIER: boil tissue sections in pH8 EDTA for 20 min and allow to cool before testing.
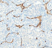
IHC staining of FFPE human testicular germ cell tumor tissue with CD31 antibody. HIER: boil tissue sections in pH8 EDTA for 20 min and allow to cool before testing.
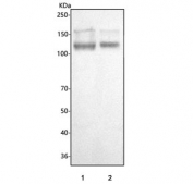
Western blot testing of human 1) HEL and 2) Jurkat cell lysate with CD31 antibody. Predicted molecular weight: 83-130 kDa depending on level of glycosylation.
Flow cytometry testing of fixed and permeabilized human HEL cells with CD31 antibody at 1ug/million cells (blocked with goat sera); Red=cells alone, Green=isotype control, Blue= CD31 antibody.
Availability 1-3 business days
Species Reactivity Human
Format Antigen affinity purified
Host Rabbit
Clonality Polyclonal (rabbit origin)
Isotype Rabbit IgG
Purity Antigen affinity
Buffer Lyophilized from 1X PBS with 2% Trehalose
UniProt P16284
Applications Western Blot : 0.5-1ug/ml
Immunohistochemistry (FFPE) : 2-5ug/ml
Flow Cytometry : 1-3ug/million cells
Immunofluorescence : 5ug/ml
Limitations This CD31 antibody is available for research use only.
Review this product on BioCompare and get a $20 Amazon gift card

Related Products

Description

PECAM-1 (Platelet endothelial cell adhesion molecule), also known as cluster of differentiation 31 (CD31) is a protein that in human is encoded by the PECAM1 gene found on chromosome 17. It is a member of the immunoglobulin(Ig) superfamily that is expressed on the surface of circulating platelets, monocytes, neutrophils, and particular T-cell subsets. Using a PCR-based analysis of somatic cell hybrids, Gumina et al.(1996) mapped CD31 to chromosome 17 in the region 17q23-qter. Several adhesion molecules expressed on platelets and endothelium also localized to 17q. Xie and Muller(1996) mapped the Pecam1 gene to mouse chromosome 6, region F3-G1, by fluorescence in situ hybridization. CD31 is found on the surface of platelets, monocytes, neutrophils, and some types of T-cells, and makes up a large portion of endothelial cell intercellular junctions, and it plays a key role in removing aged neutrophils from the body.

Application Notes

Titration of the CD31 antibody may be required due to differences in protocols and secondary/substrate sensitivity.

Immunogen

An amino acid sequence from the C-terminus of human CD31 (RKAVPDAVESRYSRTE) was used as the immunogen for this CD31 antibody.

Storage

After reconstitution, the CD31 antibody can be stored for up to one month at 4oC. For long-term, aliquot and store at -20oC. Avoid repeated freezing and thawing.

Cross
Bulk Quote Request Form
Name*:
Organization*:
Email*:
Phone Number*:
Catalog No.*:
Comments and Specifics(amount, formulation, etc.)*:
Validation code: Captchapackage Image


Can't read the image? click here to refresh.
    *required field

Your bulk quote request has been submitted successfully!

Please contact us if you have any questions.