• Tel: 858.663.9055
  • SeparatorEmail: info@nsjbio.com
  • Tel: 858.663.9055
  • Email: info@nsjbio.com
Home >> Antibodies >> CD31 Antibody / PECAM1

CD31 Antibody / PECAM1 [clone JC/70A] (V3143)

  Catalog No Formulation Size Price (USD)  
Image V3143-100UG 0.2 mg/ml in 1X PBS with 0.1 mg/ml BSA (US sourced) and 0.05% sodium azide 100 ug 559
Image
V3143-20UG 0.2 mg/ml in 1X PBS with 0.1 mg/ml BSA (US sourced) and 0.05% sodium azide 20 ug 259
Image
V3143SAF-100UG 1 mg/ml in 1X PBS; BSA free, sodium azide free 100 ug 559
Image
V3143IHC-7ML Prediluted in 1X PBS with 0.1 mg/ml BSA (US sourced) and 0.05% sodium azide; *For IHC use only* 7 ml 559
Bulk quote request
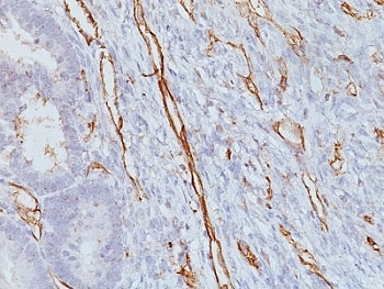
IHC analysis of formalin-fixed, paraffin-embedded human colon carcinoma stained with CD31 antibody (clone JC/70A).
IHC analysis of formalin-fixed, paraffin-embedded human angiosarcoma stained with CD31 antibody (clone JC/70A).
Flow cytometry testing of human Jurkat cells. Black: cells alone; Grey: isotype control; Green: AF488-labeled CD31 antibody (JC/70A).
Western blot testing of ThP1 cell lysate with CD31 antibody (clone JC/70A). Predicted size: 83-130KD depending on level of glycosylation.
Flow cytometry testing of PFA-fixed human Jurkat cells with CD31 antibody (blue, clone JC/70A) and isotype control (red).
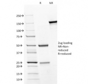
SDS-PAGE analysis of purified, BSA-free CD31 antibody (clone JC/70A) as confirmation of integrity and purity.
Availability 1-3 business days
Species Reactivity Human
Format Purified
Host Mouse
Clonality Monoclonal (mouse origin)
Isotype Mouse IgG1, kappa
Clone Name JC/70A
Purity Protein G affinity chromatography
UniProt P16284
Localization Cell surface and cytoplasm of endothelial cells
Applications Flow Cytometry : 1-2ug/10^6 cells
Immunofluorescence : 1-2ug/ml
Western Blot : 1-2ug/ml
Immunohistochemistry (FFPE) : 1-2ug/ml for 30 min at RT
Limitations This CD31 antibody is available for research use only.
Review this product on BioCompare and get a $20 Amazon gift card

Related Products

Description

CD31 antibody clone JC/70A is a monoclonal antibody that detects platelet endothelial cell adhesion molecule 1, also known as PECAM-1. CD31 is a 130 kDa glycoprotein expressed on endothelial cells, platelets, monocytes, neutrophils, and certain T cells. It plays a crucial role in leukocyte transmigration, angiogenesis, and vascular integrity. NSJ Bioreagents supplies this antibody for vascular biology, oncology, and immunology research.

The antibody produces strong membranous staining of vascular endothelium, allowing clear visualization of blood vessels in tissues. In pathology, CD31 antibody clone JC/70A is a standard marker for vascular tumors such as angiosarcomas and hemangiomas. It supports diagnostic panels used to differentiate vascular from non-vascular neoplasms.

In oncology, CD31 detection provides insights into tumor angiogenesis. Microvessel density, measured using CD31 antibodies, correlates with prognosis and therapeutic response in cancers including breast, prostate, and colorectal carcinoma. The antibody supports studies into how tumors recruit blood vessels to sustain growth and metastasis.

In immunology, CD31 participates in leukocyte trafficking and immune regulation. This antibody enables research into how leukocytes cross endothelial barriers during inflammation and immune surveillance. It has been applied to models of infection, atherosclerosis, and inflammatory disease.

In cardiovascular biology, CD31 serves as an indicator of endothelial function. Detection with this antibody supports research into vascular injury, remodeling, and repair. It has also been used in studies of cardiovascular disease where endothelial dysfunction contributes to pathology.

Validated in tissue-based and cell-based systems, the antibody consistently produces clear membranous staining with minimal background. Alternate names include PECAM-1 antibody, platelet endothelial cell adhesion molecule antibody, and vascular endothelial marker antibody.

Application Notes

The optimal dilution of the CD31 antibody for each application should be determined by the researcher.

1. Staining of formalin-fixed tissues requires boiling tissue sections in 10mM Tris with 1mM EDTA, pH 9.0, for 10-20 min followed by cooling at RT for 20 minutes.
2. The prediluted format is supplied in a dropper bottle and is optimized for use in IHC. After epitope retrieval step (if required), drip mAb solution onto the tissue section and incubate at RT for 30 min.

Immunogen

A membrane preparation of a spleen from a patient with hairy cell leukemia was used as the immunogen for this CD31 antibody.

Storage

Store the CD31 antibody at 2-8oC (with azide) or aliquot and store at -20oC or colder (without azide).

Cross
Bulk Quote Request Form
Name*:
Organization*:
Email*:
Phone Number*:
Catalog No.*:
Comments and Specifics(amount, formulation, etc.)*:
Validation code: Captchapackage Image


Can't read the image? click here to refresh.
    *required field

Your bulk quote request has been submitted successfully!

Please contact us if you have any questions.