• Tel: 858.663.9055
  • SeparatorEmail: info@nsjbio.com
  • Tel: 858.663.9055
  • Email: info@nsjbio.com
Home >> Antibodies >> CD31 Antibody

CD31 Antibody (F50436)

  Catalog No Formulation Size Price (USD)  
Image F50436-0.4ML In 1X PBS, pH 7.4, with 0.09% sodium azide 0.4 ml 439
Image
F50436-0.08ML In 1X PBS, pH 7.4, with 0.09% sodium azide 0.08 ml 205
Bulk quote request
Western blot analysis of CD31 antibody and HL-60 lysate.
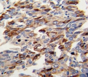
IHC analysis of FFPE human lung carcinoma with CD31 antibody
CD31 antibody flow cytometric analysis of HL-60 cells (bottom histogram) compared to a negative control cell (top histogram). FITC-conjugated goat-anti-rabbit secondary Ab was used for the analysis.
Availability 1-3 business days
Species Reactivity Human
Format Purified
Host Rabbit
Clonality Polyclonal (rabbit origin)
Isotype Rabbit Ig
Purity Purified
UniProt P16284
Applications Western Blot : 1:1000
IHC (Paraffin) : 1:10-1:50
Flow Cytometry : 1:10-1:50
Limitations This CD31 antibody is available for research use only.
Review this product on BioCompare and get a $20 Amazon gift card

Related Products

Description

CD31 is a cell adhesion molecule expressed on platelets and at endothelial cell intercellular junctions.

Application Notes

Titration of the CD31 antibody may be required due to differences in protocols and secondary/substrate sensitivity.

Immunogen

A portion of amino acids 690-718 from the human protein was used as the immunogen for this CD31 antibody.

Storage

Aliquot the CD31 antibody and store frozen at -20oC or colder. Avoid repeated freeze-thaw cycles.

Cross
Bulk Quote Request Form
Name*:
Organization*:
Email*:
Phone Number*:
Catalog No.*:
Comments and Specifics(amount, formulation, etc.)*:
Validation code: Captchapackage Image


Can't read the image? click here to refresh.
    *required field

Your bulk quote request has been submitted successfully!

Please contact us if you have any questions.