• Tel: 858.663.9055
  • SeparatorEmail: info@nsjbio.com
  • Tel: 858.663.9055
  • Email: info@nsjbio.com
Home >> Antibodies >> CD30 Antibody

CD30 Antibody [clone SPM121] (V2991S)

  Catalog No Formulation Size Price (USD)  
Image V2991S-0.5ML Bioreactor concentrate with 0.05% sodium azide 0.5 ml 559
Image
V2991S-0.1ML Bioreactor concentrate with 0.05% sodium azide 0.1 ml 259
Image
V2991IHC-7ML Prediluted in 1X PBS, 0.05% sodium azide; *For IHC use only* 7 ml 559
Bulk quote request
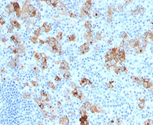
IHC testing of formalin-fixed, paraffin-embedded human Hodgkin's lymphoma stained with CD30 antibody (clone SPM121).
Availability 1-3 business days
Species Reactivity Human
Format Bioreactor concentrate
Host Mouse
Clonality Monoclonal (mouse origin)
Isotype Mouse IgG1, kappa
Clone Name SPM121
Purity Unpurified high titer supernatant
UniProt P28908
Localization Cell surface, cytoplasmic
Applications Immunohistochemistry (FFPE) : 1:50-1:100 for 30 min at RT
Limitations This CD30 antibody is available for research use only.
Review this product on BioCompare and get a $20 Amazon gift card

Related Products

Description

Recognizes a single chain glycoprotein of 105/120kDa, identified as CD30/Ki-1. CD30 is synthesized as a 90kDa precursor, which is processed in the Golgi complex into a membrane-bound phosphorylated mature 105/120kDa glycoprotein. In Hodgkin s disease, CD30/Ki-1 antigen is expressed by mononuclear-Hodgkin and multinucleated Reed-Sternberg cells. It is also expressed by the tumor cells of a majority of anaplastic large cell lymphomas as well as by a varying proportion of activated T and B cells. This mAb distinguishes large cell lymphomas derived from activated lymphoid cells from histiocytic malignancies and lymphomas derived from resting and precursor lymphoid cells or from anaplastic carcinomas. About one third of the Ki-1 positive lymphomas lack the leukocyte common antigen (CD45).

Application Notes

Optimal dilution of the CD30 antibody should be determined by the researcher.

1. Staining of formalin-fixed tissues requires boiling tissue sections in 10mM Tris with 1mM EDTA, pH 9.0, for 10-20 min followed by cooling at RT for 20 min.
2. The prediluted format is supplied in a dropper bottle and is optimized for use in IHC. After epitope retrieval step (if required), drip mAb solution onto the tissue section and incubate at RT for 30 min.

Immunogen

A Co cell line established from a patient with Hodgkin s disease of T-cell lineage was used as the immunogen for the CD30 antibody.

Storage

Store the CD30 antibody at 2-8oC (with azide) or aliquot and store at -20oC or colder (without azide).

Cross
Bulk Quote Request Form
Name*:
Organization*:
Email*:
Phone Number*:
Catalog No.*:
Comments and Specifics(amount, formulation, etc.)*:
Validation code: Captchapackage Image


Can't read the image? click here to refresh.
    *required field

Your bulk quote request has been submitted successfully!

Please contact us if you have any questions.