- Tel: 858.663.9055
- 
									 Email: info@nsjbio.com Email: info@nsjbio.com
- Tel: 858.663.9055
- Email: info@nsjbio.com
 Email: info@nsjbio.com
Email: info@nsjbio.com
								Related Products
| 
 | 
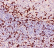
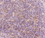
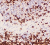
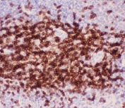
CD3 epsilon is a polypeptide which in humans is encoded by the CD3E gene which resides on chromosome 11. It is mapped to 11q23.3. Together with CD3gamma, -delta and -zeta, and the T-cell receptor alpha/beta and gamma/delta heterodimers, CD3e forms the T cell receptor-CD3 complex. This complex plays an important role in coupling antigen recognition to several intracellular signal-transduction pathways. The genes encoding the e, g and d polypeptides are located in the same cluster on chromosome 11. The e-polypeptide plays an essential role in T-cell development.
The stated application concentrations are suggested starting amounts. Titration of the CD3 epsilon antibody may be required due to differences in protocols and secondary/substrate sensitivity.
Human partial recombinant protein (AA 23-207) was used as the immunogen for this CD3 epsilon antibody.
After reconstitution, the CD3 epsilon antibody can be stored for up to one month at 4oC. For long-term, aliquot and store at -20oC. Avoid repeated freezing and thawing.
 
Your bulk quote request has been submitted successfully!
Please contact us if you have any questions.