• Tel: 858.663.9055
  • SeparatorEmail: info@nsjbio.com
  • Tel: 858.663.9055
  • Email: info@nsjbio.com
Home >> Antibodies >> CD2BP2 Antibody

CD2BP2 Antibody (R35048)

  Catalog No Formulation Size Price (USD)  
Image R35048-100UG 0.5 mg/ml in 1X TBS, pH7.3, with 0.5% BSA (US sourced) and 0.02% sodium azide 100 ug 475
Bulk quote request
Western blot testing of human thymus lysate with CD2BP2 antibody at 0.3ug/ml. Predicted molecular weight: ~38kDa but routinley observed at ~52kDa due to the acidic nature of the protein.
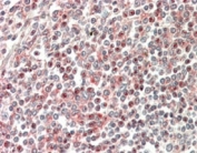
IHC staining of FFPE human spleen with CD2BP2 antibody at 5ug/ml. HIER: steamed with pH6 citrate buffer, AP-staining.
Availability 1-3 business days
Species Reactivity Human
Predicted Reactivity Cow, Dog, Mouse, Rat
Format Antigen affinity purified
Host Goat
Clonality Polyclonal (goat origin)
Isotype Goat Ig
Purity Antigen affinity
Gene ID 10421
Applications Western Blot : 0.3-1ug/ml
Immunohistochemistry (FFPE) : 5-10ug/ml
ELISA (peptide) LOD : 1:32000
Limitations This CD2BP2 antibody is available for research use only.
Review this product on BioCompare and get a $20 Amazon gift card

Description

Additional name(s) for this target protein: CD2 domain binding protein 2

Application Notes

Optimal dilution of the CD2BP2 antibody should be determined by the researcher.

Immunogen

Amino acids PKRKVTFQGVGDE were used as the immunogen for this CD2BP2 antibody.

Storage

Aliquot and store the CD2BP2 antibody at -20oC.

Cross
Bulk Quote Request Form
Name*:
Organization*:
Email*:
Phone Number*:
Catalog No.*:
Comments and Specifics(amount, formulation, etc.)*:
Validation code: Captchapackage Image


Can't read the image? click here to refresh.
    *required field

Your bulk quote request has been submitted successfully!

Please contact us if you have any questions.