• Tel: 858.663.9055
  • SeparatorEmail: info@nsjbio.com
  • Tel: 858.663.9055
  • Email: info@nsjbio.com
Home >> Antibodies >> CD2AP Antibody

CD2AP Antibody [clone 5F8] (RQ4628)

  Catalog No Formulation Size Price (USD)  
Image RQ4628 0.5mg/ml if reconstituted with 0.2ml sterile DI water 100 ug 449
Bulk quote request
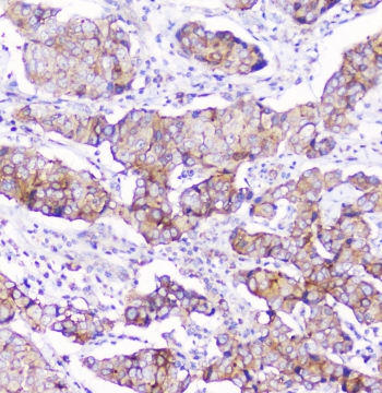
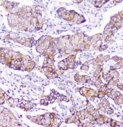
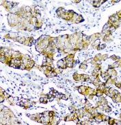
IHC staining of FFPE human breast cancer with CD2AP antibody at 1ug/ml. HIER: boil tissue sections in pH6, 10mM citrate buffer, for 10-20 min followed by cooling at RT for 20 min.
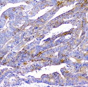
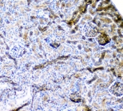
IHC staining of FFPE human colon cancer with CD2AP antibody at 1ug/ml. HIER: boil tissue sections in pH6, 10mM citrate buffer, for 10-20 min followed by cooling at RT for 20 min.
IHC staining of FFPE human colon cancer with CD2AP antibody at 1ug/ml. HIER: boil tissue sections in pH6, 10mM citrate buffer, for 10-20 min followed by cooling at RT for 20 min.
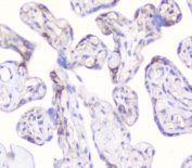
IHC staining of FFPE human placenta with CD2AP antibody at 1ug/ml. HIER: boil tissue sections in pH6, 10mM citrate buffer, for 10-20 min followed by cooling at RT for 20 min.
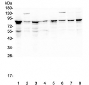
Western blot testing of human 1) K562, 2) A431, 3) 293T, 4) U-2 OS, 5) HL60, 6) MCF7, 7) HeLa and 8) PANC-1 lysate with CD2AP antibody at 0.5ug/ml. Predicted molecular weight: 71-80 kDa.
Flow cytometry testing of human K562 cells with CD2AP antibody at 1ug/10^6 cells (blocked with goat sera); Red=cells alone, Green=isotype control, Blue= CD2AP antibody.
Flow cytometry testing of human U-2 OS cells with CD2AP antibody at 1ug/10^6 cells (blocked with goat sera); Red=cells alone, Green=isotype control, Blue= CD2AP antibody.
Western blot testing of 1) rat liver, 2) rat testis, 3) mouse pancreas, 4) mouse testis and 5) mouse RAW264.7 cell lysate with CD2AP antibody at 0.5ug/ml. Predicted molecular weight: 71-80 kDa.
IHC staining of FFPE human breast cancer with CD2AP antibody at 1ug/ml. HIER: boil tissue sections in pH6, 10mM citrate buffer, for 10-20 min followed by cooling at RT for 20 min.
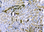
IHC staining of FFPE mouse kidney with CD2AP antibody at 1ug/ml. HIER: boil tissue sections in pH6, 10mM citrate buffer, for 10-20 min followed by cooling at RT for 20 min.
IHC staining of FFPE rat kidney with CD2AP antibody at 1ug/ml. HIER: boil tissue sections in pH6, 10mM citrate buffer, for 10-20 min followed by cooling at RT for 20 min.
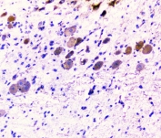
IHC staining of FFPE rat brain with CD2AP antibody at 1ug/ml. HIER: boil tissue sections in pH6, 10mM citrate buffer, for 10-20 min followed by cooling at RT for 20 min.
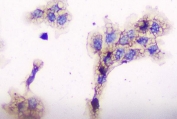
Immunocytochemical staining of FFPE human A431 cells with CD2AP antibody at 1ug/ml. HIER: boil tissue sections in pH6, 10mM citrate buffer, for 10-20 min followed by cooling at RT for 20 min.
Availability 1-3 business days
Species Reactivity Human
Format Purified
Host Mouse
Clonality Monoclonal (mouse origin)
Isotype Mouse IgG1
Clone Name 5F8
Purity Protein G affinity
Buffer Lyophilized from 1X PBS with 2% Trehalose and 0.025% sodium azide
UniProt Q9Y5K6
Localization Cytoplasmic
Applications Western Blot : 0.5-1ug/ml
Immunohistochemistry (FFPE) : 1-2ug/ml
Flow Cytometry : 1-3ug/10^6 cells
Immunocytochemistry (FFPE) : 1-2ug/ml
Review this product on BioCompare and get a $20 Amazon gift card

Related Products

  • Applications : WB, FACS, IHC-P, IF, IP, ELISA
    Reactivity : Human, Mouse, Rat

Description

CD2-associated protein is a protein that in humans is encoded by the CD2AP gene. This gene encodes a scaffolding molecule that regulates the actin cytoskeleton. The protein directly interacts with filamentous actin and a variety of cell membrane proteins through multiple actin binding sites, SH3 domains, and a proline-rich region containing binding sites for SH3 domains. The cytoplasmic protein localizes to membrane ruffles, lipid rafts, and the leading edges of cells. It is implicated in dynamic actin remodeling and membrane trafficking that occurs during receptor endocytosis and cytokinesis. Haploinsufficiency of this gene is implicated in susceptibility to glomerular disease.

Application Notes

Optimal dilution of the CD2AP antibody should be determined by the researcher.

Immunogen

Amino acids K253-K337 from the human protein were used as the immunogen for the CD2AP antibody.

Storage

After reconstitution, the CD2AP antibody can be stored for up to one month at 4oC. For long-term, aliquot and store at -20oC. Avoid repeated freezing and thawing.

Cross
Bulk Quote Request Form
Name*:
Organization*:
Email*:
Phone Number*:
Catalog No.*:
Comments and Specifics(amount, formulation, etc.)*:
Validation code: Captchapackage Image


Can't read the image? click here to refresh.
    *required field

Your bulk quote request has been submitted successfully!

Please contact us if you have any questions.