• Tel: 858.663.9055
  • SeparatorEmail: info@nsjbio.com
  • Tel: 858.663.9055
  • Email: info@nsjbio.com
Home >> Antibodies >> CD27 Antibody for WB / Cross-Species CD27 Western Blot Antibody

CD27 Antibody for WB / Cross-Species CD27 Western Blot Antibody [clone r137B4] (V6038)

  Catalog No Formulation Size Price (USD)  
Image V6038-100UG 0.2 mg/ml in 1X PBS with 0.05% BSA, 0.05% sodium azide 100 ug 559
Image
V6038-20UG 0.2 mg/ml in 1X PBS with 0.05% BSA, 0.05% sodium azide 20 ug 259
Image
V6038SAF-100UG 1 mg/ml in 1X PBS; BSA free, sodium azide free 100 ug 559
Microvalidated Recmousemono
Bulk quote request
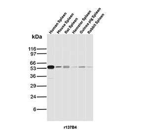
CD27 Antibody for WB. Western blot analysis of CD27 / TNFRSF7 expression across species using Cross-Species CD27 Western Blot Antibody clone r137B4. Lane 1: human spleen lysate, Lane 2: mouse spleen lysate, Lane 3: rat spleen lysate, Lane 4: hamster spleen lysate, Lane 5: guinea pig spleen lysate, Lane 6: rabbit spleen lysate. A band is detected at approximately 55-60 kDa, consistent with glycosylated CD27, noting a lower predicted molecular weight for the core protein. CD27 is a glycosylated receptor, and this higher apparent molecular weight reflects N-linked glycosylation commonly observed for TNFRSF7 in immune tissues. The consistent banding pattern across species supports recognition of conserved CD27 epitopes and cross-species reactivity of clone r137B4.
CD27 Antibody for WB. Western blot analysis of CD27 / TNFRSF7 expression in human samples using Cross-Species CD27 Western Blot Antibody clone r137B4. Lane 1: human spleen lysate, Lane 2: Ramos B-cell lysate. A band is detected at approximately 55-60 kDa, consistent with glycosylated CD27, noting a lower predicted molecular weight for the core protein. CD27 is a glycosylated receptor, and this higher apparent molecular weight reflects N-linked glycosylation commonly observed in immune cells. The comparable banding pattern in spleen tissue and Ramos cells supports specific detection of CD27 and consistent performance of clone r137B4 across tissue and cell line samples.
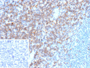
Immunohistochemistry analysis of CD27 Molecule Antibody in FFPE human tonsil tissue. Membranous and cytoplasmic HRP-DAB brown staining is observed in scattered lymphocytes within interfollicular regions and germinal center areas, consistent with CD27 expression on activated and memory B and T lymphocyte populations, while surrounding negative lymphocytes remain unstained. Clone r137B4 demonstrates distinct cell surface localization. The inset shows PBS used in place of the primary antibody as a secondary-only negative control. Heat-induced epitope retrieval was performed in 10mM Tris with 1mM EDTA, pH 9.0, at 95oC for 45 minutes followed by cooling at room temperature for 20 minutes.
SDS-PAGE Analysis of Purified CD27/CD27 molecule antibody (clone r137B4). Confirmation of Purity and Integrity of Antibody.
Species Reactivity Human, Mouse, Rat, Rabbit, Guinea pig
Format Purified
Host Mouse
Clonality Recombinant Mouse Monoclonal
Isotype Mouse IgG1, kappa
Clone Name r137B4
UniProt P26842
Localization Cell membrane
Applications Flow Cytometry : 1-2ug/million cells
Immunohistochemistry (FFPE) : 1-2ug/ml
Western Blot : 2-4ug/ml
Limitations This CD27 Antibody for WB / Cross-Species CD27 Western Blot Antibody is available for research use only.
Review this product on BioCompare and get a $20 Amazon gift card

Related Products

Description

CD27 antibody recognizes CD27 molecule, a type I transmembrane glycoprotein and member of the tumor necrosis factor receptor superfamily encoded by the CD27 gene. CD27 is primarily localized to the plasma membrane of T lymphocytes, memory B cells, and subsets of natural killer cells, where it functions as a co-stimulatory receptor that enhances lymphocyte activation, proliferation, and survival. CD27 Molecule Antibody is developed to support research into adaptive immunity, immune activation, and lymphocyte differentiation.

The CD27 gene is located on chromosome 12p13 and encodes a protein containing extracellular cysteine-rich domains characteristic of TNF receptor family members, a single transmembrane segment, and a cytoplasmic tail that interacts with TRAF adaptor proteins. Binding of CD27 to its ligand CD70 activates downstream signaling pathways including NF-kappaB, promoting T-cell expansion, memory formation, and B-cell maturation. CD27 expression is tightly regulated during immune responses and is widely used as a marker to distinguish naive and memory lymphocyte subsets.

In secondary lymphoid tissues such as tonsil and lymph node, CD27-positive cells are commonly observed within T-cell rich paracortical regions and among subsets of B cells associated with germinal center reactions. CD27 is broadly expressed on naive and central memory T cells and on memory B cells, whereas terminally differentiated effector cells may exhibit reduced expression. Dysregulated CD27 signaling has been associated with chronic infection, autoimmune disorders, and certain lymphoid malignancies. CD27 Molecule Antibody enables evaluation of CD27 distribution and expression levels in both normal and pathological immune contexts.

The CD27-CD70 axis is actively investigated in immuno-oncology, as modulation of co-stimulatory signaling can enhance anti-tumor immune responses. Assessment of CD27 expression in tumor-infiltrating lymphocytes provides insight into immune activation status and microenvironment composition. Clone r137B4 is engineered as a recombinant mouse monoclonal antibody to provide consistent specificity and reproducibility in CD27 detection.

By targeting a central regulator of lymphocyte activation, CD27 Molecule Antibody serves as a dependable reagent for studies of T-cell and B-cell biology, immune regulation, and translational immunotherapy research.

This antibody is part of a broader CD27 antibody collection designed to support diverse immunological research applications.

Application Notes

1. Optimal dilution of the CD27 Antibody for WB / Cross-Species CD27 Western Blot Antibody should be determined by the researcher.

2. This CD27/CD27 molecule antibody is recombinantly produced by expression in CHO cells.

Immunogen

Recombinant human CD27 protein was used as the immunogen for the CD27/CD27 molecule antibody.

Storage

CD27/CD27 molecule antibody with sodium azide - store at 2 to 8oC; antibody without sodium azide - store at -20 to -80oC.

Alternate Names

TNFRSF7 antibody, CD27 western blot antibody, CD27 cross-species antibody for WB, CD27 immune receptor antibody, CD27 protein detection antibody

Cross
Bulk Quote Request Form
Name*:
Organization*:
Email*:
Phone Number*:
Catalog No.*:
Comments and Specifics(amount, formulation, etc.)*:
Validation code: Captchapackage Image


Can't read the image? click here to refresh.
    *required field

Your bulk quote request has been submitted successfully!

Please contact us if you have any questions.