• Tel: 858.663.9055
  • SeparatorEmail: info@nsjbio.com
  • Tel: 858.663.9055
  • Email: info@nsjbio.com
Home >> Antibodies >> CD27 Antibody / Lymphoid Tissue Architecture Marker Antibody

CD27 Antibody / Lymphoid Tissue Architecture Marker Antibody (R32373)

  Catalog No Formulation Size Price (USD)  
Image R32373 0.5mg/ml if reconstituted with 0.2ml sterile DI water 100 ug 449
Bulk quote request
CD27 Antibody for WB. Western blot analysis of CD27 / TNFRSF7 expression in human HeLa cell lysate using CD27 Antibody. Lane 1: HeLa cell lysate. A band is detected at approximately 45–50 kDa, consistent with glycosylated CD27, noting a lower predicted molecular weight of approximately 29 kDa for the core protein. CD27 is a glycosylated receptor, and the higher apparent molecular weight reflects N-linked glycosylation that can influence migration on SDS-PAGE. The observed signal may reflect low-level or context-dependent expression and supports evaluation of CD27 distribution in studies of lymphoid tissue architecture.
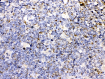
IHC testing of FFPE human tonsil with CD27 antibody. HIER: Boil the paraffin sections in pH 6, 10mM citrate buffer for 20 minutes and allow to cool prior to testing.
CD27 Antibody for FACS. Flow cytometry analysis of CD27 / TNFRSF7 expression in human A549 cells using CD27 Antibody. Cells stained with CD27 antibody (blue) show a right-shifted population compared to isotype control (green) and unstained cells (red), indicating detectable CD27 signal under these conditions. The distribution supports evaluation of CD27 expression and background separation in non-lymphoid cell contexts and complements its use as a lymphoid tissue architecture marker for assessing immune cell localization in flow cytometry studies.
CD27 Antibody for IF. Immunofluorescence analysis of CD27 / TNFRSF7 expression in FFPE human K562 cells using CD27 Antibody (red) and DAPI (blue). Signal is observed at the cell periphery and cytoplasmic regions, consistent with CD27 localization in membrane-associated compartments, while nuclei are counterstained with DAPI (blue). The staining pattern supports evaluation of CD27 distribution in cellular contexts and complements its use as a lymphoid tissue architecture marker for assessing immune cell organization and localization. Heat-induced epitope retrieval was performed in pH 6, 10 mM citrate buffer for 20 minutes followed by cooling prior to antibody incubation.
Availability 1-3 business days
Species Reactivity Human
Format Antigen affinity purified
Host Rabbit
Clonality Polyclonal (rabbit origin)
Isotype Rabbit IgG
Purity Antigen affinity
Buffer Lyophilized from 1X PBS with 2.5% BSA, 0.025% sodium azide
UniProt P26842
Localization Cytoplasmic, membranous
Applications Western Blot : 0.1-0.5ug/ml
IHC (FFPE) : 0.5-1ug/ml
Flow Cytometry : 1-3ug/million cells
Immunofluorescence : 2-4ug/ml
Limitations This CD27 Antibody / Lymphoid Tissue Architecture Marker Antibody is available for research use only.
Review this product on BioCompare and get a $20 Amazon gift card

Related Products

Description

CD27, also known as TNF receptor superfamily member 7 (TNFRSF7), is a cell surface receptor expressed on T lymphocytes, memory B cells, and subsets of natural killer cells, where it contributes to immune activation and differentiation. CD27 Antibody / Lymphoid Tissue Architecture Marker Antibody is uniquely positioned for visualizing immune cell distribution within organized lymphoid tissues, enabling detection of CD27-positive lymphocytes in the context of tissue structure and spatial organization. CD27 antibody reagents are widely used to study lymphoid architecture and the arrangement of immune cell populations within tissues such as lymph node, spleen, and tonsil.

CD27 antibody, also referred to as TNFRSF7 antibody or CD27 lymphoid tissue marker antibody in the literature, is particularly valuable for identifying lymphocyte populations within structured immune environments. Expression of CD27 highlights regions enriched for antigen-experienced and functionally active lymphocytes, supporting analysis of how immune cells are organized within distinct anatomical compartments.

CD27 Antibody / Lymphoid Tissue Architecture Marker Antibody enables visualization of lymphocyte distribution across key structural regions, including follicles, germinal centers, and paracortical zones. This spatial information is essential for understanding how immune cells are positioned within tissues and how this organization supports coordinated immune responses. Detection of CD27 provides a means to map immune cell localization and to evaluate the integrity of lymphoid architecture.

In lymphoid tissues, CD27 expression is associated with functional immune compartments that support activation, differentiation, and memory formation. The distribution of CD27-positive cells reflects the organization of adaptive immune responses within tissue environments and provides insight into how immune activity is spatially regulated. This makes CD27 a valuable marker for studying both normal tissue organization and changes associated with disease.

The rabbit polyclonal antibody format enables recognition of multiple epitopes on CD27, supporting robust detection across heterogeneous tissue samples and enhancing signal in diverse lymphocyte populations. This broad epitope recognition is particularly useful for visualizing immune cell distribution in complex tissue environments where expression levels may vary.

Alterations in lymphoid tissue architecture are associated with a range of pathological conditions, including immune dysregulation and malignancy. Detection of CD27 supports evaluation of these changes by highlighting the distribution and organization of lymphocyte populations within affected tissues. This enables studies of how immune structure and function are altered in disease.

Overall, CD27 Antibody / Lymphoid Tissue Architecture Marker Antibody provides reliable detection of CD27 for studies focused on lymphoid tissue organization, immune cell distribution, and spatial analysis of immune responses, supporting detailed investigation of tissue-level immune architecture.

This antibody is part of a broader CD27 antibody collection designed to support diverse immunological research applications.

Application Notes

Optimal dilution of the CD27 Antibody / Lymphoid Tissue Architecture Marker Antibody should be determined by the researcher.

Immunogen

Amino acids A20-R191 of the human protein were used as the immunogen for the CD27 antibody.

Storage

After reconstitution, the CD27 antibody can be stored for up to one month at 4oC. For long-term, aliquot and store at -20oC. Avoid repeated freezing and thawing.

Alternate Names

TNFRSF7 antibody, CD27 lymphoid tissue marker antibody, CD27 lymphocyte distribution antibody, CD27 immune tissue architecture antibody

Cross
Bulk Quote Request Form
Name*:
Organization*:
Email*:
Phone Number*:
Catalog No.*:
Comments and Specifics(amount, formulation, etc.)*:
Validation code: Captchapackage Image


Can't read the image? click here to refresh.
    *required field

Your bulk quote request has been submitted successfully!

Please contact us if you have any questions.