• Tel: 858.663.9055
  • SeparatorEmail: info@nsjbio.com
  • Tel: 858.663.9055
  • Email: info@nsjbio.com
Home >> Antibodies >> CD27 Antibody / Immune Checkpoint Pathway Antibody

CD27 Antibody / Immune Checkpoint Pathway Antibody [clone LPFS2/8838R] (V4224)

  Catalog No Formulation Size Price (USD)  
Image V4224-100UG 0.2 mg/ml in 1X PBS with 0.1 mg/ml BSA (US sourced), 0.05% sodium azide 100 ug 559
Image
V4224-20UG 0.2 mg/ml in 1X PBS with 0.1 mg/ml BSA (US sourced), 0.05% sodium azide 20 ug 259
Image
V4224SAF-100UG 1 mg/ml in 1X PBS; BSA free, sodium azide free 100 ug 559
Microvalidated Recrabbitmono
Bulk quote request
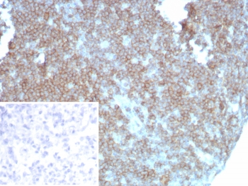
CD27 Antibody for Human LN IHC. Immunohistochemistry analysis of CD27 / TNFRSF7 expression in FFPE human lymph node tissue using CD27 Antibody / Immune Checkpoint Pathway Antibody clone LPFS2/8838R. Prominent membranous HRP-DAB brown staining is observed in lymphocyte populations within follicular and paracortical regions, consistent with CD27 expression on activated and regulatory T and B cell subsets involved in immune signaling, while surrounding stromal elements remain largely negative. The staining pattern highlights immune regulatory compartments and supports evaluation of checkpoint-related signaling within lymphoid tissue architecture. Heat-induced epitope retrieval was performed in pH 9 10 mM Tris with 1 mM EDTA for 20 minutes followed by cooling prior to antibody incubation.
CD27 Antibody for Lymph Tissue IHC. Immunohistochemistry analysis of CD27 / TNFRSF7 expression in FFPE human lymph node tissue using CD27 Antibody / Immune Checkpoint Pathway Antibody clone LPFS2/8838R. Strong membranous HRP-DAB brown staining is observed in lymphocyte populations within follicular and paracortical regions, consistent with CD27 expression on activated and regulatory T and B cell subsets involved in immune signaling, while surrounding stromal elements remain largely negative. The staining pattern highlights immune regulatory compartments and supports evaluation of checkpoint-related signaling within lymphoid tissue architecture. Inset: PBS used in place of primary Ab (secondary Ab negative control). Heat-induced epitope retrieval was performed in pH 9 10 mM Tris with 1 mM EDTA for 20 minutes followed by cooling prior to antibody incubation.
SDS-PAGE analysis of purified, BSA-free CD27 antibody (clone LPFS2/8838R) as confirmation of integrity and purity.
Availability 1-3 business days
Species Reactivity Human
Format Purified
Host Rabbit
Clonality Recombinant Rabbit Monoclonal
Isotype Rabbit IgG, kappa
Clone Name LPFS2/8838R
Purity Protein A/G affinity
UniProt P26842
Localization Cell Surface
Applications Immunohistochemistry (FFPE) : 1-2ug/ml for 30 minutes at RT
Limitations This CD27 Antibody / Immune Checkpoint Pathway Antibody is available for research use only.
Review this product on BioCompare and get a $20 Amazon gift card

Related Products

Description

CD27, also known as TNF receptor superfamily member 7 (TNFRSF7), is a costimulatory receptor expressed on T lymphocytes, memory B cells, and subsets of natural killer cells, where it regulates immune activation, survival, and differentiation. CD27 Antibody / Immune Checkpoint Pathway Antibody (clone LPFS2/8838R) is uniquely positioned for studying CD27 within the context of immune regulation and checkpoint-related signaling pathways, enabling investigation of how CD27 contributes to the balance between immune activation and control. CD27 antibody reagents are increasingly used in research focused on immune checkpoint biology and immunotherapeutic strategies.

CD27 antibody, also referred to as TNFRSF7 antibody or CD27 immune checkpoint antibody in the literature, functions through interaction with CD70 to regulate T cell expansion, cytokine production, and survival. While CD27 is traditionally categorized as a costimulatory receptor, its activity intersects with broader immune regulatory networks that influence immune response magnitude and duration. This positions CD27 within a functional landscape that overlaps with immune checkpoint pathways and makes it relevant for studies of immune modulation.

CD27 Antibody / Immune Checkpoint Pathway Antibody (clone LPFS2/8838R) supports analysis of CD27 expression in contexts where immune regulation is critical, including tumor immunity, chronic infection, and inflammatory conditions. Detection of CD27 provides insight into signaling pathways that influence immune cell activation thresholds and functional responses, contributing to a more complete understanding of immune regulatory mechanisms.

In tumor microenvironments, CD27 expression on lymphocytes reflects active engagement of immune cells and may be associated with functional subsets that contribute to anti-tumor immunity. The CD27-CD70 axis has been explored as a target for immunotherapy, further emphasizing the importance of accurately detecting CD27 in studies of immune regulation and therapeutic response. CD27 expression can therefore serve as an indicator of immune activity within regulatory signaling networks.

In addition to tumor contexts, CD27 plays a role in regulating immune responses during infection and inflammation, where controlled activation is necessary to balance effective immunity with prevention of excessive tissue damage. Antibodies that enable precise detection of CD27 support studies of these regulatory processes and help define how immune signaling pathways are coordinated across different biological conditions.

The recombinant rabbit monoclonal clone LPFS2/8838R antibody is designed to provide consistent and reproducible detection of CD27, supporting reliable analysis of immune regulatory pathways and checkpoint-related signaling. Its performance enables detailed investigation of CD27 expression in both physiological and disease contexts.

Overall, CD27 Antibody / Immune Checkpoint Pathway Antibody (clone LPFS2/8838R) provides robust detection of CD27 for studies focused on immune regulation, checkpoint-related signaling, and the functional modulation of immune responses in health and disease.

This antibody is part of a broader CD27 antibody collection designed to support diverse immunological research applications.

Application Notes

Optimal dilution of the CD27 Antibody / Immune Checkpoint Pathway Antibody should be determined by the researcher.

Immunogen

Recombinant human full-length protein was used as the immunogen for the CD27 antibody.

Storage

Aliquot the CD27 antibody and store frozen at -20oC or colder. Avoid repeated freeze-thaw cycles.

Alternate Names

TNFRSF7 antibody, CD27 immune checkpoint antibody, CD27 immunotherapy target antibody, CD27 immune regulation antibody

Cross
Bulk Quote Request Form
Name*:
Organization*:
Email*:
Phone Number*:
Catalog No.*:
Comments and Specifics(amount, formulation, etc.)*:
Validation code: Captchapackage Image


Can't read the image? click here to refresh.
    *required field

Your bulk quote request has been submitted successfully!

Please contact us if you have any questions.