• Tel: 858.663.9055
  • SeparatorEmail: info@nsjbio.com
  • Tel: 858.663.9055
  • Email: info@nsjbio.com
Home >> Antibodies >> CD27 Antibody / HuProt Proteome-Wide Specificity Validated Antibody

CD27 Antibody / HuProt Proteome-Wide Specificity Validated Antibody [clone LPFS2/4179] (V8726)

  Catalog No Formulation Size Price (USD)  
Image V8726-100UG 0.2 mg/ml in 1X PBS with 0.1 mg/ml BSA (US sourced) and 0.05% sodium azide 100 ug 559
Image
V8726-20UG 0.2 mg/ml in 1X PBS with 0.1 mg/ml BSA (US sourced) and 0.05% sodium azide 20 ug 259
Image
V8726SAF-100UG 1 mg/ml in 1X PBS; BSA free, sodium azide free 100 ug 559
Microvalidated
Bulk quote request
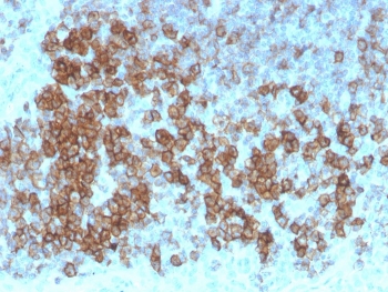
CD27 Antibody Specificity Validated IHC. Immunohistochemistry analysis of CD27 / TNFRSF7 expression in FFPE human tonsil tissue using HuProt Proteome-Wide Specificity Validated CD27 Antibody clone LPFS2/4179. Strong membranous HRP-DAB brown staining is observed in lymphocyte populations within tonsillar germinal centers and interfollicular regions, consistent with CD27 expression on activated and memory T and B cells, while surrounding non-lymphoid elements remain largely negative. The staining pattern supports selective target recognition across complex tissue environments and highlights immune cell compartmentalization within lymphoid tissue. Heat-induced epitope retrieval was performed in pH 9 10 mM Tris with 1 mM EDTA for 20 minutes followed by cooling prior to antibody incubation.
IHC staining of FFPE human tonsil with CD27 antibody (clone LPFS2/4179). HIER: boil tissue sections in pH 9 10mM Tris with 1mM EDTA for 20 min and allow to cool before testing.
CD27 Antibody with HuProt Validation. HuProt proteome-wide specificity analysis of CD27 / TNFRSF7 using HuProt Proteome-Wide Specificity Validated CD27 Antibody clone LPFS2/4179 on an array containing more than 19,000 full-length human proteins. CD27 shows the highest signal intensity with a Z-score of 155.71 and S-score of 148.14, indicating highly selective binding relative to all other proteins on the array. The Z-score reflects signal strength above the array mean, while the S-score represents the separation between the top-ranked target and the next highest signal, supporting strong target specificity and minimal cross-reactivity across the human proteome.
Availability 1-3 business days
Species Reactivity Human
Format Purified
Host Mouse
Clonality Monoclonal (mouse origin)
Isotype Mouse IgG2c, kappa
Clone Name LPFS2/4179
Purity Protein G affinity chromatography
UniProt P26842
Localization Cell surface
Applications Immunohistochemistry (FFPE) : 1-2ug/ml for 30 minutes at RT
Limitations This CD27 Antibody / HuProt Proteome-Wide Specificity Validated Antibody is available for research use only.
Review this product on BioCompare and get a $20 Amazon gift card

Related Products

Description

CD27, also known as TNF receptor superfamily member 7 (TNFRSF7), is a cell surface receptor expressed on T lymphocytes, memory B cells, and subsets of natural killer cells, where it plays a central role in immune activation, differentiation, and long-term immune memory formation. CD27 Antibody / HuProt Proteome-Wide Specificity Validated Antibody (clone LPFS2/4179) is uniquely positioned for applications requiring the highest level of specificity validation, supported by screening against the HuProt human proteome microarray. CD27 antibody reagents are widely used in immunology research, where precise target discrimination is essential for accurate biological interpretation.

CD27 antibody, also referred to as TNFRSF7 antibody or CD27 immune marker antibody in the literature, belongs to the TNF receptor superfamily, a group of proteins with conserved extracellular domains that can present challenges for antibody specificity. Proteome-wide validation using HuProt arrays enables comprehensive assessment of antibody binding across thousands of human proteins simultaneously, providing a high-stringency evaluation of off-target interactions and cross-reactivity.

CD27 Antibody / HuProt Proteome-Wide Specificity Validated Antibody (clone LPFS2/4179) demonstrates selective recognition of CD27 in proteome-wide screening, supporting its use in experiments where minimizing cross-reactivity is critical. Unlike smaller-scale validation approaches, HuProt arrays assess antibody binding across a near-complete representation of the human proteome, making them a powerful tool for identifying even low-level non-specific interactions that may not be detected in standard assays.

In complex biological systems, accurate detection of CD27 requires discrimination from structurally related receptors and co-expressed proteins within immune cells. Proteome-wide validation provides confidence that antibody binding is restricted to CD27, reducing the likelihood of confounding signals in downstream applications such as signaling studies, biomarker analysis, and systems-level investigations.

The mouse monoclonal clone LPFS2/4179 antibody is designed to deliver high specificity and reproducibility, with HuProt validation supporting its performance in applications requiring rigorous target selectivity. This level of validation is particularly important for studies involving complex proteomes, comparative analyses, or experiments where even minor cross-reactivity could impact data interpretation.

Overall, CD27 Antibody / HuProt Proteome-Wide Specificity Validated Antibody (clone LPFS2/4179) provides high-confidence detection of CD27, with proteome-wide validation supporting its use in research applications that demand stringent specificity and minimal off-target binding.

This antibody is part of a broader CD27 antibody collection designed to support diverse immunological research applications.

Application Notes

Optimal dilution of the CD27 Antibody / HuProt Proteome-Wide Specificity Validated Antibody should be determined by the researcher.

Immunogen

A portion of amino acids 28-170 from the human protein was used as the immunogen for the CD27 antibody.

Storage

Store the CD27 antibody at 2-8oC (with azide) or aliquot and store at -20oC or colder (without azide).

Alternate Names

TNFRSF7 antibody, CD27 HuProt validated antibody, CD27 proteome-wide specificity antibody, CD27 immune marker antibody, CD27 monoclonal antibody

Cross
Bulk Quote Request Form
Name*:
Organization*:
Email*:
Phone Number*:
Catalog No.*:
Comments and Specifics(amount, formulation, etc.)*:
Validation code: Captchapackage Image


Can't read the image? click here to refresh.
    *required field

Your bulk quote request has been submitted successfully!

Please contact us if you have any questions.