• Tel: 858.663.9055
  • SeparatorEmail: info@nsjbio.com
  • Tel: 858.663.9055
  • Email: info@nsjbio.com
Home >> Antibodies >> CD27 Antibody / Antigen-Experienced Lymphocyte Marker Antibody

CD27 Antibody / Antigen-Experienced Lymphocyte Marker Antibody [clone LPFS2/4178] (V9436)

  Catalog No Formulation Size Price (USD)  
Image V9436-100UG 0.2 mg/ml in 1X PBS with 0.1 mg/ml BSA (US sourced), 0.05% sodium azide 100 ug 559
Image
V9436-20UG 0.2 mg/ml in 1X PBS with 0.1 mg/ml BSA (US sourced), 0.05% sodium azide 20 ug 259
Image
V9436SAF-100UG 1 mg/ml in 1X PBS; BSA free, sodium azide free 100 ug 559
Microvalidated
Bulk quote request
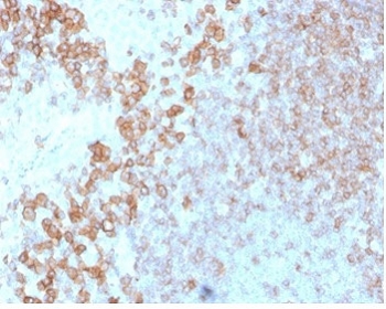
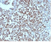
CD27 Antibody for IHC. Immunohistochemistry analysis of CD27 / TNFRSF7 expression in FFPE human tonsil tissue using CD27 Antibody clone LPFS2/4178. Membranous HRP-DAB brown staining is observed in scattered lymphocyte populations within interfollicular and paracortical regions, consistent with CD27 expression on antigen-experienced and activated T and B cells, while adjacent areas show lower staining intensity. This staining pattern is characteristic of an antigen-experienced lymphocyte marker and supports evaluation of immune activation history within tonsillar tissue architecture. Heat-induced epitope retrieval was performed in pH 9 10 mM Tris with 1 mM EDTA for 20 minutes followed by cooling prior to antibody incubation.
IHC staining of FFPE human tonsil tissue with CD27 antibody (clone LPFS2/4178). HIER: boil tissue sections in pH 9 10mM Tris with 1mM EDTA for 20 min and allow to cool before testing.
Analysis of HuProt(TM) microarray containing more than 19,000 full-length human proteins using CD27 antibody (clone LPFS2/4178). These results demonstrate the foremost specificity of the LPFS2/4178 mAb. Z- and S- score: The Z-score represents the strength of a signal that an antibody (in combination with a fluorescently-tagged anti-IgG secondary Ab) produces when binding to a particular protein on the HuProt(TM) array. Z-scores are described in units of standard deviations (SD's) above the mean value of all signals generated on that array. If the targets on the HuProt(TM) are arranged in descending order of the Z-score, the S-score is the difference (also in units of SD's) between the Z-scores. The S-score therefore represents the relative target specificity of an Ab to its intended target.
CD27 Antibody for WB. Western blot analysis of CD27 / TNFRSF7 expression in human tonsil tissue using CD27 Antibody. Lane 1: human tonsil lysate. A band is detected at approximately 50–60 kDa, consistent with glycosylated CD27, noting a lower predicted molecular weight of approximately 29 kDa for the core protein. CD27 is a glycosylated receptor, and the higher apparent molecular weight reflects N-linked glycosylation commonly observed in lymphocyte-rich tissues. The detection pattern is consistent with expression in antigen-experienced lymphocyte populations and supports its use as an antigen-experienced lymphocyte marker in western blot analysis.
SDS-PAGE analysis of purified, BSA-free CD27 antibody (clone LPFS2/4178) as confirmation of integrity and purity.
Availability 1-3 business days
Species Reactivity Human
Format Purified
Host Mouse
Clonality Monoclonal (mouse origin)
Isotype Mouse IgG1, kappa
Clone Name LPFS2/4178
Purity Protein A/G affinity
UniProt P26842
Localization Cell surface
Applications Immunohistochemistry (FFPE) : 1-2ug/ml
Western Blot : 2-4ug/ml
Limitations This CD27 Antibody / Antigen-Experienced Lymphocyte Marker Antibody is available for research use only.
Review this product on BioCompare and get a $20 Amazon gift card

Related Products

Description

CD27, also known as TNF receptor superfamily member 7 (TNFRSF7), is a cell surface receptor expressed on T lymphocytes, memory B cells, and subsets of natural killer cells, where it reflects prior antigen exposure and functional immune activation. CD27 Antibody / Antigen-Experienced Lymphocyte Marker Antibody (clone LPFS2/4178) is uniquely positioned for identifying antigen-experienced lymphocyte populations, enabling detection of CD27 as a marker of immune activation history and functional differentiation. CD27 antibody reagents are widely used in immunology research to distinguish antigen-experienced cells from naive populations and to characterize immune response history.

CD27 antibody, also referred to as TNFRSF7 antibody or CD27 antigen-experienced lymphocyte antibody in the literature, is closely associated with lymphocytes that have undergone activation following antigen encounter. Expression of CD27 reflects a transition from naive to antigen-experienced states, marking cells that have participated in immune responses and acquired functional specialization. This makes CD27 a key marker for evaluating immune system experience and adaptive response history.

CD27 Antibody / Antigen-Experienced Lymphocyte Marker Antibody (clone LPFS2/4178) is particularly valuable for analyzing immune cell populations in both tissue and suspension-based assays, where identification of antigen-experienced lymphocytes is critical. Detection of CD27 supports studies of immune activation, differentiation, and functional memory, providing insight into how immune responses develop and are maintained across different biological contexts.

In lymphoid tissues, CD27 expression is enriched in germinal centers and memory compartments, where antigen-experienced lymphocytes are concentrated. In peripheral blood, CD27-positive cells represent populations that have previously encountered antigen and are capable of responding to subsequent stimulation. This distribution supports the use of CD27 as a marker for assessing immune response history and for distinguishing functional lymphocyte subsets.

This clone also benefits from protein microarray specificity validation, supporting selective detection of CD27 and reducing the likelihood of off-target binding in complex samples. This validation adds confidence when interpreting CD27 expression, particularly in experiments where distinguishing antigen-experienced populations is essential.

The mouse monoclonal clone LPFS2/4178 antibody is designed to provide consistent detection of CD27, enabling reliable identification of antigen-experienced lymphocyte populations across experimental systems. Its performance supports reproducible analysis of immune activation history and lymphocyte differentiation.

Overall, CD27 Antibody / Antigen-Experienced Lymphocyte Marker Antibody (clone LPFS2/4178) provides robust detection of CD27 for studies focused on antigen-experienced lymphocytes, immune activation history, and adaptive immune response development.

This antibody is part of a broader CD27 antibody collection designed to support diverse immunological research applications.

Application Notes

Optimal dilution of the CD27 Antibody / Antigen-Experienced Lymphocyte Marker Antibody should be determined by the researcher.

Immunogen

A portion of amino acids 28-170 was used as the immunogen for the CD27 antibody.

Storage

Aliquot the CD27 antibody and store frozen at -20oC or colder. Avoid repeated freeze-thaw cycles.

Alternate Names

TNFRSF7 antibody, CD27 antigen experienced lymphocyte antibody, CD27 specificity validated antibody, CD27 immune activation history marker antibody

Cross
Bulk Quote Request Form
Name*:
Organization*:
Email*:
Phone Number*:
Catalog No.*:
Comments and Specifics(amount, formulation, etc.)*:
Validation code: Captchapackage Image


Can't read the image? click here to refresh.
    *required field

Your bulk quote request has been submitted successfully!

Please contact us if you have any questions.