• Tel: 858.663.9055
  • SeparatorEmail: info@nsjbio.com
  • Tel: 858.663.9055
  • Email: info@nsjbio.com
Home >> Antibodies >> CD27 Antibody / Protein Microarray Specificity Validated Antibody

CD27 Antibody / Protein Microarray Specificity Validated Antibody [clone LPFS2/4177] (V8725)

  Catalog No Formulation Size Price (USD)  
Image V8725-100UG 0.2 mg/ml in 1X PBS with 0.1 mg/ml BSA (US sourced) and 0.05% sodium azide 100 ug 559
Image
V8725-20UG 0.2 mg/ml in 1X PBS with 0.1 mg/ml BSA (US sourced) and 0.05% sodium azide 20 ug 259
Image
V8725SAF-100UG 1 mg/ml in 1X PBS; BSA free, sodium azide free 100 ug 559
Microvalidated
Bulk quote request
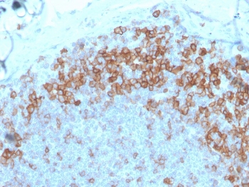
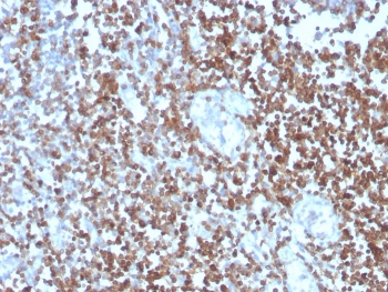
CD27 Antibody for IHC. Immunohistochemistry analysis of CD27 / TNFRSF7 expression in FFPE human tonsil tissue using Protein Microarray Specificity Validated CD27 Antibody clone LPFS2/4177. Strong membranous HRP-DAB brown staining is observed in lymphocyte populations within tonsillar germinal centers and interfollicular regions, consistent with CD27 expression on activated and memory T and B cells, while surrounding non-lymphoid structures remain largely negative. The staining pattern supports selective target recognition and highlights immune cell compartmentalization within lymphoid tissue. Heat-induced epitope retrieval was performed in pH 9 10 mM Tris with 1 mM EDTA for 20 minutes followed by cooling prior to antibody incubation.
IHC staining of FFPE human tonsil with CD27 antibody (clone LPFS2/4177). HIER: boil tissue sections in pH 9 10mM Tris with 1mM EDTA for 20 min and allow to cool before testing.
IHC staining of FFPE human tonsil with CD27 antibody (clone LPFS2/4177). HIER: boil tissue sections in pH 9 10mM Tris with 1mM EDTA for 20 min and allow to cool before testing.
CD27 Antibody Microarray Validation. Protein microarray specificity analysis of CD27 / TNFRSF7 using Protein Microarray Specificity Validated CD27 Antibody clone LPFS2/4177 on a HuProt array containing more than 19,000 full-length human proteins. CD27 shows the highest signal intensity with a Z-score of 155.61 and S-score of 145.21, indicating highly selective binding relative to all other proteins on the array. The Z-score reflects signal strength above the array mean, while the S-score represents the separation between the top-ranked target and the next highest signal, supporting strong target specificity and minimal cross-reactivity.
SDS-PAGE analysis of purified, BSA-free CD27 antibody (clone LPFS2/4177) as confirmation of integrity and purity.
Western blot testing of human Raji and Ramos cell lysate with CD27 antibody. Predicted molecular weight ~29 kDa but may be observed at higher molecular weights due to glycosylation.
Availability 1-3 business days
Species Reactivity Human
Format Purified
Host Mouse
Clonality Monoclonal (mouse origin)
Isotype Mouse IgG1, kappa
Clone Name LPFS2/4177
Purity Protein G affinity chromatography
UniProt P26842
Localization Cell surface
Applications Immunohistochemistry (FFPE) : 1-2ug/ml for 30 min at RT
Western Blot : 2-4ug/ml
Limitations This CD27 Antibody / Protein Microarray Specificity Validated Antibody is available for research use only.
Review this product on BioCompare and get a $20 Amazon gift card

Related Products

Description

CD27, also known as TNF receptor superfamily member 7 (TNFRSF7), is a type I transmembrane receptor expressed on T lymphocytes, memory B cells, and subsets of natural killer cells, where it regulates immune activation, survival, and differentiation. CD27 Antibody / Protein Microarray Specificity Validated Antibody (clone LPFS2/4177) is uniquely positioned for applications requiring well-characterized binding specificity, supported by protein microarray-based validation against a broad panel of recombinant proteins. CD27 antibody reagents are widely used in immunology and cell signaling studies, where accurate target recognition is essential for reliable interpretation of experimental data.

CD27 antibody, also referred to as TNFRSF7 antibody or CD27 immune receptor antibody in the literature, belongs to a class of targets within the TNF receptor superfamily that share structural features and conserved domains. This structural similarity increases the importance of specificity validation, as off-target recognition of related receptors can lead to ambiguous results. Protein microarray validation provides a systematic approach to evaluating antibody binding across diverse protein targets, helping confirm selective recognition of CD27 under controlled conditions.

CD27 Antibody / Protein Microarray Specificity Validated Antibody (clone LPFS2/4177) demonstrates selective binding to CD27 in microarray-based screening, supporting its use in experiments where cross-reactivity must be minimized. Protein microarrays enable parallel interrogation of antibody binding across large protein panels, providing a broad assessment of specificity that extends beyond single-target validation approaches. This makes them particularly useful for identifying potential off-target interactions and confirming antibody selectivity at scale.

In biological samples, CD27 is expressed in immune cell populations with dynamic activation states and undergoes post-translational processing, including glycosylation. These features can complicate detection if antibodies exhibit non-specific binding. Validation using protein microarrays helps ensure that observed signals correspond to CD27 rather than structurally related or co-expressed proteins, improving confidence in downstream analyses.

The mouse monoclonal clone LPFS2/4177 antibody is designed to provide consistent and reproducible detection of CD27, with specificity supported by protein microarray screening. This validation approach is particularly valuable for applications involving complex lysates, multiplexed assays, or exploratory studies where distinguishing true signal from background is critical.

Overall, CD27 Antibody / Protein Microarray Specificity Validated Antibody (clone LPFS2/4177) provides reliable detection of CD27 with demonstrated selectivity across a broad protein panel, supporting its use in research applications that require strong specificity and confidence in target recognition.

This antibody is part of a broader CD27 antibody collection designed to support diverse immunological research applications.

Application Notes

Optimal dilution of the CD27 Antibody / Protein Microarray Specificity Validated Antibody should be determined by the researcher.

Immunogen

A portion of amino acids 28-170 from the human protein was used as the immunogen for the CD27 antibody.

Storage

Store the CD27 antibody at 2-8oC (with azide) or aliquot and store at -20oC or colder (without azide).

Alternate Names

TNFRSF7 antibody, CD27 protein microarray validated antibody, CD27 specificity validated antibody, CD27 immune receptor antibody, CD27 monoclonal antibody

Cross
Bulk Quote Request Form
Name*:
Organization*:
Email*:
Phone Number*:
Catalog No.*:
Comments and Specifics(amount, formulation, etc.)*:
Validation code: Captchapackage Image


Can't read the image? click here to refresh.
    *required field

Your bulk quote request has been submitted successfully!

Please contact us if you have any questions.