• Tel: 858.663.9055
  • SeparatorEmail: info@nsjbio.com
  • Tel: 858.663.9055
  • Email: info@nsjbio.com
Home >> Antibodies >> CD27 Antibody / High Specificity CD27 Antibody

CD27 Antibody / High Specificity CD27 Antibody [clone LPFS2/4176] (V9435)

  Catalog No Formulation Size Price (USD)  
Image V9435-100UG 0.2 mg/ml in 1X PBS with 0.1 mg/ml BSA (US sourced), 0.05% sodium azide 100 ug 559
Image
V9435-20UG 0.2 mg/ml in 1X PBS with 0.1 mg/ml BSA (US sourced), 0.05% sodium azide 20 ug 259
Image
V9435SAF-100UG 1 mg/ml in 1X PBS; BSA free, sodium azide free 100 ug 559
Microvalidated
Bulk quote request
CD27 Antibody Validation. Protein microarray specificity analysis of CD27 / TNFRSF7 using High Specificity CD27 Antibody clone LPFS2/4176 on a HuProt array containing more than 19,000 full-length human proteins. CD27 shows the highest signal intensity with a Z-score of 145.99 and S-score of 114.1, demonstrating strong target enrichment relative to other proteins on the array. The Z-score reflects signal strength above the array mean, while the S-score indicates separation between the top-ranked target and subsequent signals, supporting selective binding with reduced off-target interaction.
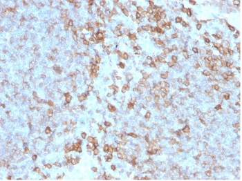
IHC staining of FFPE human tonsil tissue with CD27 antibody (clone LPFS2/4176). HIER: boil tissue sections in pH 9 10mM Tris with 1mM EDTA for 20 min and allow to cool before testing.
SDS-PAGE analysis of purified, BSA-free CD27 antibody (clone LPFS2/4176) as confirmation of integrity and purity.
CD27 Antibody for WB. Western blot analysis of CD27 / TNFRSF7 expression in human B-cell lymphoma cell lines using CD27 Antibody. Lane 1: Raji cell lysate, Lane 2: Ramos cell lysate. A band is detected at approximately 50–60 kDa, consistent with glycosylated CD27, noting a lower predicted molecular weight of approximately 29 kDa for the core protein. Additional lower molecular weight signal may reflect unmodified or partially processed forms of CD27. The presence of CD27 signal in both Raji and Ramos cells aligns with known expression in B-cell lineage populations.
Availability 1-3 business days
Species Reactivity Human
Format Purified
Host Mouse
Clonality Monoclonal (mouse origin)
Isotype Mouse IgG2b, kappa
Clone Name LPFS2/4176
Purity Protein A/G affinity
UniProt P26842
Localization Cell Surface
Applications Immunohistochemistry (FFPE) : 1-2ug/ml
Western Blot : 2-4ug/ml
Limitations This CD27 Antibody / High Specificity CD27 Antibody is available for research use only.
Review this product on BioCompare and get a $20 Amazon gift card

Related Products

Description

CD27, also known as TNF receptor superfamily member 7 (TNFRSF7), is a type I transmembrane receptor expressed on T lymphocytes, memory B cells, and subsets of natural killer cells, where it regulates immune activation, survival, and differentiation. CD27 Antibody / High Specificity CD27 Antibody (clone LPFS2/4176) is uniquely positioned for applications requiring strong target selectivity with controlled cross-reactivity, supported by protein array-based validation demonstrating clear enrichment of CD27 signal relative to other proteins. CD27 antibody reagents are widely used in immunology and cell signaling studies, where specificity directly impacts the accuracy of downstream data interpretation.

CD27 antibody, also referred to as TNFRSF7 antibody or CD27 immune receptor antibody in the literature, belongs to the TNF receptor superfamily, a group of structurally related proteins that share conserved extracellular domains. This structural similarity presents a known challenge for antibody specificity, as closely related receptors can produce overlapping or non-specific signals if not carefully distinguished. Antibodies with demonstrated target selectivity are therefore critical for confidently resolving CD27 expression in complex biological systems.

CD27 Antibody / High Specificity CD27 Antibody (clone LPFS2/4176) demonstrates a dominant signal for CD27 in protein array analysis, with a marked drop in signal intensity across lower-ranked proteins. This distribution supports selective target recognition and indicates minimal off-target binding under the tested conditions. The clear separation between CD27 and secondary signals provides practical assurance of specificity while maintaining robust detection sensitivity, making this antibody well suited for applications where both signal strength and selectivity are required.

In contrast to broad panel or proteome-wide validation approaches, this level of specificity assessment focuses on signal hierarchy and relative enrichment, offering a balanced evaluation of antibody performance. The observed signal profile supports reliable discrimination of CD27 from related proteins within the TNF receptor family, reducing the likelihood of cross-reactive detection in downstream applications.

In biological samples, CD27 is expressed in immune cell populations with dynamic activation states and undergoes post-translational modifications, including glycosylation. These factors can increase sample complexity and elevate the importance of antibody selectivity. High-specificity antibodies help ensure that detected signals correspond to CD27 rather than co-expressed or structurally related proteins, improving confidence in experiments involving immune profiling, signaling analysis, and protein expression studies.

The mouse monoclonal clone LPFS2/XXXX antibody is designed to provide consistent and reproducible detection of CD27, with validation data supporting strong target enrichment and low background signal. This makes it particularly useful for studies involving complex lysates, comparative analyses, or experimental systems where reducing non-specific binding is essential for accurate interpretation.

Overall, CD27 Antibody / High Specificity CD27 Antibody (clone LPFS2/4176) provides reliable detection of CD27 with a well-defined specificity profile, supported by protein array signal separation that demonstrates strong target enrichment and reduced off-target interaction in research applications.

This antibody is part of a broader CD27 antibody collection designed to support diverse immunological research applications.

Application Notes

Optimal dilution of the CD27 Antibody / High Specificity CD27 Antibody should be determined by the researcher.

Immunogen

A portion of amino acids 28-170 was used as the immunogen for the CD27 antibody.

Storage

Aliquot the CD27 antibody and store frozen at -20oC or colder. Avoid repeated freeze-thaw cycles.

Alternate Names

TNFRSF7 antibody, CD27 high specificity antibody, CD27 low cross reactivity antibody, CD27 validated antibody, CD27 monoclonal antibody

Cross
Bulk Quote Request Form
Name*:
Organization*:
Email*:
Phone Number*:
Catalog No.*:
Comments and Specifics(amount, formulation, etc.)*:
Validation code: Captchapackage Image


Can't read the image? click here to refresh.
    *required field

Your bulk quote request has been submitted successfully!

Please contact us if you have any questions.