• Tel: 858.663.9055
  • SeparatorEmail: info@nsjbio.com
  • Tel: 858.663.9055
  • Email: info@nsjbio.com
Home >> Antibodies >> CD23 Antibody Rabbit Polyclonal

CD23 Antibody Rabbit Polyclonal (R31482)

  Catalog No Formulation Size Price (USD)  
Image R31482 0.5mg/ml if reconstituted with 0.2ml sterile DI water 100 ug 449
Bulk quote request
CD23 Antibody Rabbit Polyclonal Mouse Liver WB. Western blot testing of CD23 antibody and mouse liver lysate. Expected molecular weight: 37~45 kDa.
CD23 Antibody Rabbit Polyclonal Human Tonsil Immunohistochemistry. IHC-P: CD23 antibody testing of human tonsil tissue. HIER: steam section in pH6 citrate buffer for 20 min.
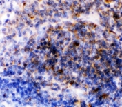
CD23 Antibody Rabbit Polyclonal Mouse Spleen Immunohistochemistry. IHC-P: CD23 antibody testing of mouse spleen tissue. HIER: steam section in pH6 citrate buffer for 20 min.
CD23 Antibody Rabbit Polyclonal Rat Spleen Immunohistochemistry. IHC-P: CD23 antibody testing of rat spleen tissue. HIER: steam section in pH6 citrate buffer for 20 min.
CD23 Antibody Rabbit Polyclonal Human PBMC FACS. Flow cytometry testing of human PBMs with CD23 antibody rabbit polyclonal at 1ug/10^6 cells (blocked with goat sera); Red=cells alone, Green=isotype control, Blue= CD23 antibody.
CD23 Antibody Rabbit Polyclonal Mouse PBMC FACS. Flow cytometry testing of mouse PBMs with CD23 antibody at 1ug/10^6 cells (blocked with goat sera); Red=cells alone, Green=isotype control, Blue= CD23 antibody.
CD23 Antibody Rabbit Polyclonal Mouse Lymph Tissue IF. Immunofluorescence of CD23 antibody in FFPE mouse lymph tissue. The rabbit polyclonal CD23 antibody (green) demonstrates membranous staining of lymphoid cells within follicular areas, consistent with CD23 expression on B cell populations. Nuclei are counterstained with DAPI (blue). Heat-induced epitope retrieval was performed by steaming sections in pH 6 citrate buffer for 20 minutes prior to staining.
CD23 Antibody Rabbit Polyclonal Rat Lymph Tissue IF. Immunofluorescent staining of FFPE rat lymph tissue with CD23 antibody (green) at 1ug/ml and DAPI nuclear stain (blue). HIER: steam section in pH6 citrate buffer for 20 min.
CD23 Antibody Rabbit Polyclonal Rat Spleen and Thymus WB. Western blot testing of CD23 antibody and 1) rat spleen and 2) rat thymus lysate. Expected molecular weight: 37~45 kDa.
CD23 Antibody Rabbit Polyclonal Frozen Mouse Spleen Immunohistochemistry. IHC staining of frozen mouse spleen tissue with CD23 antibody.
Availability 1-3 business days
Species Reactivity Human, Mouse, Rat
Format Antigen affinity purified
Host Rabbit
Clonality Polyclonal (rabbit origin)
Isotype Rabbit IgG
Purity Antigen affinity
Buffer Lyophilized from 1X PBS with 2.5% BSA and 0.025% sodium azide
Gene ID 14128
Localization Cytoplasmic, membranous
Applications Western Blot : 0.5-1ug/ml
Immunocytochemistry (FFPE) : 0.5-1ug/ml
Immunocytochemistry (Frozen) : 0.5-1ug/ml
Immunofluorescence (FFPE) : 1-2ug/ml
Flow Cytometry : 1-3ug/10^6 cells
Limitations This CD23 antibody is available for research use only.
Review this product on BioCompare and get a $20 Amazon gift card

Related Products

Description

CD23 Antibody Rabbit Polyclonal recognizes CD23, also known as Low affinity immunoglobulin epsilon Fc receptor and Fc epsilon receptor II, encoded by the FCER2 gene on chromosome 19p13.3. CD23 is a type II transmembrane glycoprotein belonging to the C-type lectin family that functions as the low affinity receptor for IgE and plays a central role in regulation of IgE mediated immune responses and B cell activation within secondary lymphoid tissues. The protein contains a short cytoplasmic N-terminal region, a single transmembrane domain, and an extracellular C-type lectin-like domain responsible for IgE binding, with predominant membranous localization in B lymphocytes and variable cytoplasmic distribution depending on activation state.

In normal tissues, CD23 expression is most prominent in tonsil, lymph node, and spleen, where it highlights follicular B cells in germinal centers and mantle zones. Immunostaining typically demonstrates strong membranous labeling in B cell rich follicles with minimal staining in T cell predominant interfollicular regions. CD23 is also involved in regulation of IgE synthesis, antigen presentation, and interaction with CD21, contributing to humoral immune responses and allergic inflammation pathways.

As a rabbit polyclonal antibody, this reagent recognizes multiple epitopes on the CD23 protein, which may enhance detection sensitivity across different fixation conditions and sample types. Multi-epitope recognition can support broader antigen detection in heterogeneous tissues and varying experimental contexts. CD23 Antibody Rabbit Polyclonal is suitable for detecting CD23 expression in research applications involving B cell biology, IgE regulation, and lymphoid tissue characterization.

Explore our central CD23 antibody resource page for additional western blot, immunohistochemistry, and microarray specificity validation data supporting studies of B-cell activation, germinal center biology, and IgE receptor signaling pathways.

Application Notes

The stated application concentrations are suggested starting amounts. Titration of the CD23 antibody may be required due to differences in protocols and secondary/substrate sensitivity.

Immunogen

Mouse recombinant partial protein (AA 50-331) was used as the immunogen for this CD23 antibody rabbit polyclonal.

Storage

After reconstitution, the CD23 antibody can be stored for up to one month at 4oC. For long-term, aliquot and store at -20oC. Avoid repeated freezing and thawing.

Cross
Bulk Quote Request Form
Name*:
Organization*:
Email*:
Phone Number*:
Catalog No.*:
Comments and Specifics(amount, formulation, etc.)*:
Validation code: Captchapackage Image


Can't read the image? click here to refresh.
    *required field

Your bulk quote request has been submitted successfully!

Please contact us if you have any questions.