• Tel: 858.663.9055
  • SeparatorEmail: info@nsjbio.com
  • Tel: 858.663.9055
  • Email: info@nsjbio.com
Home >> Antibodies >> CD23 Antibody Rabbit Monoclonal

CD23 Antibody Rabbit Monoclonal [clone FCER2/8510R] (V4609)

  Catalog No Formulation Size Price (USD)  
Image V4609-100UG 0.2 mg/ml in 1X PBS with 0.1 mg/ml BSA (US sourced), 0.05% sodium azide 100 ug 559
Image
V4609-20UG 0.2 mg/ml in 1X PBS with 0.1 mg/ml BSA (US sourced), 0.05% sodium azide 20 ug 259
Image
V4609SAF-100UG 1 mg/ml in 1X PBS; BSA free, sodium azide free 100 ug 559
Microvalidated Recrabbitmono
Bulk quote request
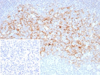
Immunohistochemistry of CD23 Antibody in human tonsil. FFPE human tonsil tissue was stained with CD23 antibody rabbit monoclonal FCER2/8510R. Prominent membranous HRP-DAB brown staining is observed in B lymphocytes within germinal centers and mantle zone regions, consistent with established CD23 expression on mature follicular B cells. The staining pattern clearly outlines follicular architecture, with dense positivity in B cell rich areas and minimal staining in adjacent interfollicular T cell zones. The inset image shows the PBS negative control processed without primary antibody, demonstrating absence of specific staining. Heat induced epitope retrieval was performed by boiling tissue sections in pH 9 Tris-EDTA buffer for 20 minutes followed by cooling prior to antibody incubation.
SDS-PAGE analysis of purified, BSA-free CD23 antibody (clone FCER2/8510R) as confirmation of integrity and purity.
Availability 1-3 business days
Species Reactivity Human
Format Purified
Host Rabbit
Clonality Recombinant Rabbit Monoclonal
Isotype Rabbit IgG, kappa
Clone Name FCER2/8510R
Purity Protein A/G affinity
UniProt P06734
Localization Cell Surface
Applications Immunohistochemistry (FFPE) : 1-2ug/ml for 30 min at RT
Limitations This CD23 antibody is available for research use only.
Review this product on BioCompare and get a $20 Amazon gift card

Related Products

Description

CD23 Antibody Rabbit Monoclonal FCER2/8510R recognizes CD23, a type II transmembrane glycoprotein encoded by the FCER2 gene on chromosome 19p13.3. CD23 is also known as Low affinity immunoglobulin epsilon Fc receptor or Fc epsilon receptor II and is a member of the C-type lectin family. It functions as the low affinity receptor for IgE and plays a central role in regulating humoral immune responses, particularly in B cell mediated immunity.

CD23 is composed of a short N-terminal cytoplasmic domain, a single transmembrane region, and a large extracellular C-type lectin-like domain responsible for IgE binding. In addition to its membrane bound form, CD23 can be cleaved to generate soluble fragments that retain biologic activity and influence immune signaling. Through interactions with IgE and CD21, CD23 participates in antigen presentation, modulation of IgE synthesis, and regulation of B cell activation and differentiation. Subcellular localization is predominantly membranous, often with accompanying cytoplasmic staining depending on cellular activation state.

In normal tissues, CD23 expression is most prominent in secondary lymphoid organs including tonsil, lymph node, and spleen. Within these tissues, CD23 is characteristically expressed by mature follicular B cells in germinal centers and mantle zones. The staining pattern typically highlights follicular architecture, with strong membranous labeling in B cell rich areas and minimal expression in T cell predominant regions. Because of this distribution, CD23 antibody is widely used in research settings to study B cell subsets and germinal center biology.

Aberrant CD23 expression has been associated with allergic disorders, asthma, and certain B cell lymphoproliferative diseases such as chronic lymphocytic leukemia. Assessment of CD23 expression contributes to immunophenotypic characterization in hematologic research. CD23 Antibody rabbit monoclonal FCER2/8510R provides a specific reagent for detecting CD23 in relevant research applications focused on immunology and lymphoid tissue studies.

Explore our central CD23 antibody resource page for additional western blot, immunohistochemistry, and microarray specificity validation data supporting studies of B-cell activation, germinal center biology, and IgE receptor signaling pathways.

Application Notes

Optimal dilution of the CD23 antibody should be determined by the researcher.

Immunogen

A recombinant partial protein sequence (within amino acids 221-321) from the human protein was used as the immunogen for the CD23 antibody rabbit monoclonal FCER2/8510R.

Storage

Aliquot the CD23 antibody and store frozen at -20oC or colder. Avoid repeated freeze-thaw cycles.

Cross
Bulk Quote Request Form
Name*:
Organization*:
Email*:
Phone Number*:
Catalog No.*:
Comments and Specifics(amount, formulation, etc.)*:
Validation code: Captchapackage Image


Can't read the image? click here to refresh.
    *required field

Your bulk quote request has been submitted successfully!

Please contact us if you have any questions.