• Tel: 858.663.9055
  • SeparatorEmail: info@nsjbio.com
  • Tel: 858.663.9055
  • Email: info@nsjbio.com
Home >> Antibodies >> CD23 Antibody Biotin Conjugate

CD23 Antibody Biotin Conjugate [clone FCER2/3592] (V7565BTN)

  Catalog No Formulation Size Price (USD)  
Image V7565BTN 0.1 mg/ml with 0.1 mg/ml BSA (US sourced), 0.05% sodium azide 500 ul 559
Bulk quote request
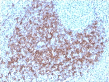
Immunohistochemistry of CD23 Antibody Biotin Conjugate in human tonsil. FFPE human tonsil tissue was stained with biotin-labeled CD23 antibody (clone FCER2/3592). Prominent membranous HRP-DAB brown staining is observed in B lymphocytes within germinal centers and mantle zone regions, consistent with established CD23 expression on mature follicular B cells. The staining pattern highlights follicular architecture, with dense labeling in B cell rich areas and minimal staining in adjacent T cell predominant interfollicular zones. Heat induced epitope retrieval was performed by boiling tissue sections in pH 9 Tris-EDTA buffer for 20 minutes followed by cooling prior to antibody incubation. The biotin conjugate format allows detection using streptavidin based amplification systems.
Analysis of HuProt(TM) microarray containing more than 19,000 full-length human proteins using CD23 antibody (clone FCER2/3592). These results demonstrate the foremost specificity of the FCER2/3592 mAb. Z- and S- score: The Z-score represents the strength of a signal that an antibody (in combination with a fluorescently-tagged anti-IgG secondary Ab) produces when binding to a particular protein on the HuProt(TM) array. Z-scores are described in units of standard deviations (SD's) above the mean value of all signals generated on that array. If the targets on the HuProt(TM) are arranged in descending order of the Z-score, the S-score is the difference (also in units of SD's) between the Z-scores. The S-score therefore represents the relative target specificity of an Ab to its intended target.
SDS-PAGE analysis of purified, BSA-free CD23 antibody (clone FCER2/3592) as confirmation of integrity and purity.
Availability 1-3 business days
Species Reactivity Human
Format Biotin Conjugate
Host Mouse
Clonality Monoclonal (mouse origin)
Isotype Mouse IgG2b, kappa
Clone Name FCER2/3592
Purity Protein G affinity chromatography
UniProt P06734
Localization Cell surface
Applications Immunohistochemistry (FFPE) : 2-4ug/ml for 30 minutes at RT
Limitations This CD23 antibody is available for research use only.
Review this product on BioCompare and get a $20 Amazon gift card

Related Products

Description

CD23 Antibody Biotin Conjugate is a mouse monoclonal antibody directed against CD23, also known as Low affinity immunoglobulin epsilon Fc receptor or Fc epsilon receptor II, encoded by the FCER2 gene on chromosome 19p13.3. CD23 is a type II transmembrane glycoprotein and a member of the C-type lectin family that functions as the low affinity receptor for IgE. It plays a key regulatory role in IgE mediated immune responses and B cell activation. CD23 is primarily expressed on mature B lymphocytes and certain activated immune cell populations within lymphoid tissues.

Structurally, CD23 contains a short cytoplasmic N-terminal region, a single transmembrane segment, and a large extracellular C-type lectin-like domain responsible for IgE binding. CD23 can exist in both membrane bound and soluble forms, the latter generated through proteolytic cleavage. Through interactions with IgE and CD21, CD23 participates in antigen presentation, modulation of IgE synthesis, and regulation of B cell proliferation and differentiation. Subcellular localization is predominantly membranous, often with variable cytoplasmic staining depending on cellular activation state.

In normal tissues, CD23 expression is most prominent in secondary lymphoid organs such as tonsil, lymph node, and spleen. Within these tissues, CD23 is characteristically expressed by follicular B cells in germinal centers and mantle zones, where it contributes to humoral immune regulation. The staining pattern typically highlights follicular architecture, with strong membranous labeling in B cell rich areas and minimal staining in T cell predominant interfollicular regions. Because of this restricted distribution, CD23 antibody is widely used in research settings focused on B cell biology and immune regulation.

This biotin conjugated mouse monoclonal CD23 antibody enables flexible detection using streptavidin based systems in immunohistochemistry, immunocytochemistry, and other research assays requiring amplified signal detection. CD23 Antibody Biotin Conjugate provides a convenient tool for studying CD23 expression in investigations of allergy mechanisms, IgE regulation, and lymphoid tissue biology.

Application Notes

Optimal dilution of the CD23 antibody should be determined by the researcher.

Immunogen

A portion of amino acids 48-321 from the human protein was used as the immunogen for the CD23 antibody biotin conjugate.

Storage

Store the CD23 antibody at 2-8oC (up to one month) or aliquot and store at -20oC (longer term).

Cross
Bulk Quote Request Form
Name*:
Organization*:
Email*:
Phone Number*:
Catalog No.*:
Comments and Specifics(amount, formulation, etc.)*:
Validation code: Captchapackage Image


Can't read the image? click here to refresh.
    *required field

Your bulk quote request has been submitted successfully!

Please contact us if you have any questions.