- Tel: 858.663.9055
- 
									 Email: info@nsjbio.com Email: info@nsjbio.com
- Tel: 858.663.9055
- Email: info@nsjbio.com
 Email: info@nsjbio.com
Email: info@nsjbio.com
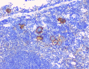
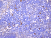
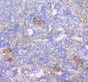
								T-lymphocyte surface antigen Ly-9 is a protein that in humans is encoded by the LY9 gene. This gene is mapped to 17q21.31. LY9 has also recently been designated CD229 (cluster of differentiation 229). LY9 belongs to the SLAM family of immunomodulatory receptors and interacts with the adaptor molecule SAP.
Optimal dilution of the CD229 antibody should be determined by the researcher.
Amino acids YKAQINQRNFEVTTEEEFTLFVYEQLQEPQVTMK were used as the immunogen for the CD229 antibody.
After reconstitution, the CD229 antibody can be stored for up to one month at 4oC. For long-term, aliquot and store at -20oC. Avoid repeated freezing and thawing.
 
Your bulk quote request has been submitted successfully!
Please contact us if you have any questions.