• Tel: 858.663.9055
  • SeparatorEmail: info@nsjbio.com
  • Tel: 858.663.9055
  • Email: info@nsjbio.com
Home >> Antibodies >> Cd226 Antibody / Dnam-1

Cd226 Antibody / Dnam-1 (RQ6373)

  Catalog No Formulation Size Price (USD)  
Image RQ6373 0.5mg/ml if reconstituted with 0.2ml sterile DI water 100 ug 449
Bulk quote request
Flow cytometry testing of rat NRK cells with Cd226 antibody at 1ug/million cells (blocked with goat sera); Red=cells alone, Green=isotype control, Blue= Cd226 antibody.
IHC staining of FFPE rat lung lymphoid tissue with Cd226 antibody. HIER: boil tissue sections in pH8 EDTA for 20 min and allow to cool before testing.
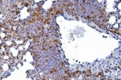
IHC staining of FFPE mouse lung tissue with Cd226 antibody. HIER: boil tissue sections in pH8 EDTA for 20 min and allow to cool before testing.
Western blot test of 1) rat spleen, 2) mouse spleen, 3) mouse thymus and 4) mouse RAW264.7 cell lysate with Cd226 antibody. Expected molecular weight: 35-70 kDa depending on glycosylation level.
Availability 1-3 business days
Species Reactivity Mouse, Rat
Format Purified
Host Rabbit
Clonality Polyclonal (rabbit origin)
Isotype Rabbit IgG
Purity Antigen affinity purified
Buffer Lyophilized from 1X PBS with 2% Trehalose
UniProt Q8K4F0
Applications Western Blot : 0.5-1ug/ml
Immunohistochemistry (FFPE) : 2-5ug/ml
Flow Cytometry : 1-3ug/million cells
Direct ELISA : 0.1-0.5ug/ml
Limitations This Cd226 antibody is available for research use only.
Review this product on BioCompare and get a $20 Amazon gift card

Related Products

  • Applications : WB, FACS, Direct ELISA
    Reactivity : Human, Mouse

Description

DNAM 1, also known as CD226, is a receptor expressed by peripheral blood T lymphocytes that is involved in intercellular adhesion, lymphocyte signaling, cytotoxicity and lymphokine secretion mediated by cytotoxic T lymphocytes. DNAM 1 is broadly expressed on T cells, NK cells, platelets, monocytes and a subset of B cells. DNAM-1 is also expressed by a subset of CD3 positive thymocytes. This antibody is reported to inhibit T- and NK cell mediated cytotoxicity against tumour cell targets and to block TNF alpha and IFN gamma secretion by alloantigen-specific T-cells.

Application Notes

Optimal dilution of the Cd226 antibody should be determined by the researcher.

Immunogen

Recombinant mouse protein (amino acids E31-L333) was used as the immunogen for the Cd226 antibody.

Storage

After reconstitution, the Cd226 antibody can be stored for up to one month at 4oC. For long-term, aliquot and store at -20oC. Avoid repeated freezing and thawing.

Cross
Bulk Quote Request Form
Name*:
Organization*:
Email*:
Phone Number*:
Catalog No.*:
Comments and Specifics(amount, formulation, etc.)*:
Validation code: Captchapackage Image


Can't read the image? click here to refresh.
    *required field

Your bulk quote request has been submitted successfully!

Please contact us if you have any questions.