• Tel: 858.663.9055
  • SeparatorEmail: info@nsjbio.com
  • Tel: 858.663.9055
  • Email: info@nsjbio.com
Home >> Antibodies >> CD22 Antibody / B Cell Lineage Marker Antibody

CD22 Antibody / B Cell Lineage Marker Antibody [clone BLCAM/8113R] (V4621)

  Catalog No Formulation Size Price (USD)  
Image V4621-100UG 0.2 mg/ml in 1X PBS with 0.1 mg/ml BSA (US sourced), 0.05% sodium azide 100 ug 559
Image
V4621-20UG 0.2 mg/ml in 1X PBS with 0.1 mg/ml BSA (US sourced), 0.05% sodium azide 20 ug 259
Image
V4621SAF-100UG 1 mg/ml in 1X PBS; BSA free, sodium azide free 100 ug 559
Microvalidated Recrabbitmono
Bulk quote request
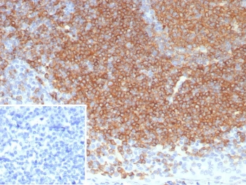
CD22 Antibody Tonsil IHC. Immunohistochemistry analysis of CD22/Siglec-2 expression in FFPE human tonsil tissue using CD22 Antibody / B Cell Lineage Marker Antibody clone BLCAM/8113R. Strong HRP-DAB brown membranous and cytoplasmic staining is observed in dense B lymphocyte populations within germinal centers and mantle zones, clearly delineating B cell-rich compartments, while surrounding non-lymphoid cells remain largely unstained. The staining pattern is consistent with CD22 as a B cell lineage marker and supports its use for immunohistochemistry-based identification of B lymphocytes within lymphoid tissues. Inset: PBS was used in place of the primary antibody as a negative control to assess non-specific secondary antibody binding.
Availability 1-3 business days
Species Reactivity Human
Format Purified
Host Rabbit
Clonality Recombinant Rabbit Monoclonal
Isotype Rabbit IgG, kappa
Clone Name BLCAM/8113R
Purity Protein A/G affinity
UniProt P20273
Localization Cell surface
Applications Immunohistochemistry (FFPE) : 1-2ug/ml for 30 min at RT
Limitations This CD22 Antibody / B Cell Lineage Marker Antibody is available for research use only.
Review this product on BioCompare and get a $20 Amazon gift card

Related Products

Description

CD22, also known as Siglec-2 and B-cell receptor CD22, is a B cell-restricted transmembrane glycoprotein encoded by the CD22 gene that serves as a well-established marker of B cell lineage. CD22 Antibody / B Cell Lineage Marker Antibody (clone BLCAM/8113R) is uniquely positioned for studies focused on identifying and classifying B cell populations within complex biological systems, making it particularly valuable for immunophenotyping, tissue analysis, and immune profiling workflows. CD22 expression is largely confined to mature B lymphocytes, including circulating peripheral B cells and those residing in lymphoid tissues such as lymph node, spleen, and tonsil.

CD22 antibody, also referred to as Siglec-2 antibody or B-cell receptor CD22 antibody in the literature, is widely used to distinguish B cells from other immune cell populations due to its highly restricted expression pattern. This specificity enables clear separation of B lymphocytes from T cells, natural killer cells, and myeloid lineages in both tissue-based and suspension-based systems. As a result, CD22 is frequently incorporated into panels designed to define immune cell composition and characterize lymphoid architecture.

This CD22 antibody is particularly well suited for applications requiring accurate identification of B cell populations within heterogeneous samples. In lymphoid tissues, CD22 expression highlights germinal centers, mantle zones, and other B cell-enriched compartments, providing clear visualization of B cell distribution. In cellular assays, CD22 enables detection of B cell subsets within mixed populations, supporting studies of immune cell frequency and population dynamics.

The recombinant rabbit monoclonal format of clone BLCAM/8113R supports consistent and reproducible detection of CD22 across different experimental systems. The defined epitope recognition contributes to clear signal with low background, which is essential for accurate identification of B cell populations in both qualitative and quantitative analyses. This reliability is particularly important in comparative studies where consistent marker detection is required across samples.

CD22 expression is also maintained in many B cell-derived malignancies, including lymphomas and leukemias, further reinforcing its value as a lineage marker in disease research. Detection of CD22 in these contexts allows researchers to confirm B cell origin of tumor populations and distinguish them from non-B cell malignancies. This is critical for studies focused on tumor classification and immune cell composition within diseased tissues.

In addition to its role as a lineage marker, CD22 contributes to the organization of lymphoid tissues by influencing B cell positioning and interactions with other immune cells. This functional context enhances its value as a marker that not only identifies B cells but also reflects their role within the immune system.

Due to its restricted expression, strong association with B cell identity, and consistent detection across experimental systems, CD22 remains an essential marker for studies of immune cell lineage and lymphoid biology. This CD22 antibody supports accurate identification and analysis of B cell populations, enabling detailed investigation of immune system organization in both normal and pathological contexts.

This antibody is part of the broader CD22 antibody collection for studying B cell markers, immune regulation, and hematologic malignancies.

Application Notes

Optimal dilution of the CD22 Antibody / B Cell Lineage Marker Antibody should be determined by the researcher.

Immunogen

A recombinant partial protein sequence (within amino acids 1-200) from the human protein was used as the immunogen for the CD22 antibody.

Storage

Aliquot the CD22 antibody and store frozen at -20oC or colder. Avoid repeated freeze-thaw cycles.

Alternate Names

Siglec-2 antibody, B-cell receptor CD22 antibody, CD22 lineage marker antibody, B cell identification antibody, CD22 lymphocyte marker antibody

Cross
Bulk Quote Request Form
Name*:
Organization*:
Email*:
Phone Number*:
Catalog No.*:
Comments and Specifics(amount, formulation, etc.)*:
Validation code: Captchapackage Image


Can't read the image? click here to refresh.
    *required field

Your bulk quote request has been submitted successfully!

Please contact us if you have any questions.