- Tel: 858.663.9055
- 
									 Email: info@nsjbio.com Email: info@nsjbio.com
- Tel: 858.663.9055
- Email: info@nsjbio.com
 Email: info@nsjbio.com
Email: info@nsjbio.com
								Related Products
| 
 | 
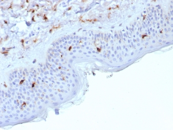
Langerhans cells (LCs) are a subset of immature dendritic cells (DCs) that specifically localize in the epidermis and other mucosal epithelia. Epidermal LCs possess strong immuno-stimulatory capacity and play a central role in the initiation and regulation of immune responses. Langerin (CD207) is a Ca2+-dependent, C-type lectin domain containing, type II transmembrane protein that induces epidermal LCs to differentiate into Birbeck granules (BG). BGs are organelles with superimposing and zippering membranes that influence proper class I type antigen presentation to the circulating T cells. Human spleen, lymph node, thymus, liver, lung and heart express Langerin protein.
Optimal dilution of the CD207 antibody should be determined by the researcher.
A recombinant partial protein sequence (within amino acids 50-250) from the human protein was used as the immunogen for the CD207 antibody.
Aliquot the CD207 antibody and store frozen at -20oC or colder. Avoid repeated freeze-thaw cycles.
 
Your bulk quote request has been submitted successfully!
Please contact us if you have any questions.